CURAPROX Lovers <3
Úsmev! Máš zuby? Si tu správne, skupinka Čisté zuby sa nekazia je aj pre TEBA https://www.modrykonik.sk/group/9719/
Vitaj v našej skupine, ktorá vznikla v spolupráci so švajčiarskou značkou CURAPROX. Pridaním sa zapojíš do nášho spoločného boja za zdravší chrup Sloveniek a Slovákov. Ako už iste vieš, starostlivosť o chrup detí sa začína u rodičov. Naše návyky deti kopírujú. A my nie sme také bohaté, aby sme si mohli dovoliť sa o zuby nestarať.
Okrem toho, že sa snažíme si v skupine vzájomne radiť a pomáhať, pravidelne na TEBA čakajú zaujímavé súťaže o praktické darčeky, takže nepremeškaj šancu a sleduj, čo sa u nás deje. Budem rada, ak sa s nami podelíš o svoje vlastné skúsenosti s produktami CURAPROX, ale aj s tajnými zlepšovákmi. Ako prežiť obdobie, keď sa postupne zapĺňa štrbavý úsmev nášho dieťaťa? (rady pre deti aj ich nevyspatých rodičov, prosím!) Ako si čistíš medzizubné priestory, keď nemáš po ruke medzizubku alebo niť? Ak máš svoje odskúšané tipy a triky – sem s nimi! Zasypem ťa srdiečkami <3
U nás dostaneš nielen radu, ale aj odborný názor. Ak máš problém alebo otázku súvisiacu s chrupom, neváhaj a zaves ho do skupiny. Podnety pravidelne zbieram a konzultujem so zubnými lekármi, aby všetci (podľa možnosti) dostali fundované odpovede.
Som rada, že si sa zapojila k tým, ktorým na zuboch záleží. Budeme ich totiž potrebovať celý život.
Tvoja stále usmiata ambasádorka,
Lenka ☺
@stellasweet ahoj, podľa zubného lekára, s ktorým spolupracujem dieťatko pastu nepotrebuje, kým ju nevie samo vypluvat. Reálnu prácu pri umývaní zubov robí mechanicky pohyb kefky, práve ten odstraňuje povlak. Neskôr, V čase vývoja skloviny na trvalých zubkoch sa ale odporúča aj pasta s primeranym obsahom fluoridu, ktorý sklovinu posilňuje. Na trhu sú rôzne, Curaprox predáva napríklad take balenie 7 ks s rôznymi príchuťami a na prírodnej báze. Takze ak to má dieťa motivovať k čisteniu, prečo nie 🙂
@lenocka1984 Dakujem Ti za odpoved. Presne to ma zaujimalo, ci nie je potrebny fluorid. Teraz mu davam uplne symbolicky taky zubny gel prirodny bez fluoridu pre mliecne zubky... Teda on si len osuchne kefku o tu pastu.
No cistenie zubkov je asi poslednych 8 mesiacov u nas strasny boj.... Neviem co sposobilo tu zmenu. Na cistenie bol od prveho zubku zvyknuty... A potom taka zmena. Skusam to vselijako po dobrom, zartovne, hravo.... Nakoniec vzdy to skonci s placom a nasilu vycistim aspon kolko to ide. Snad ho to prejde... Lebo som z toho dost na prasky🙄
@stellasweet skús sa inšpirovať u nás v skupine, pod tagom #motivacia a #prve_zubky je kopec rad, ktore tá možno inšpirujú. My sa snažíme umývať si zuby pred dcérkou a potom to po nás prirodzene opakuje. Ale na každé dieťa asi platí niečo iné. Veľa šťastia ;)
@lenocka1984 Anoo, pozerala som sa uz. Ja si umyvam bezne zuby v obyvacke aj ze proste chodim po dome. Vidi to... Tiez v kupelke je pri nas, ked si aj obaja cistime s muzom naraz. On si kefkou sam beha po zubkoch, ale uz mna nepusti, nech mu ich ocistim poriadne. Aj kefku ma nech si na nu dociahne, tak sam si ju vezme a umyva si. Len teda moze len on a nikto iny🙂
@lenocka1984 A dakujem za rady. Vzdy si velmi rada citam Tvoje prispevky👍
@stellasweet hihi tak to máš doma huncutika, ale keď nechce plakať u zubára, musí mamke dôverovať 🙂 ľahko sa to hovorí, každá mamka má doma svoj boj. Ďakujem ti za povzbudenie, robím to rada ❤️
@lenocka1984 Aaaaaa ja dakujem. Tolko som ich nemala ani dokopy doteraz❤️.
Dobry den..... Cela rodinka mame curaprox kefky su vynikajuce..... No ja mam otazocku som po nasadeni keramickej korunky aka pasta je najvhodnejsia alebo ustna voda..... Mam aj medzizubne kefky.... Staci ranna a vecerna hygiena alebo po kazdom jedle? Dakujem
Keby Nam niekto chcel darovať,mame otvorenú náruč 🙂
@zdenkakarolina u nás v skupinke sa rozdáva veľmi často ;)
@helena1501 zistím od nášho zubára, s ktorým vramci skupiny spolupracujem, či je nejaká speci starostlivosť odporúčaná
Dobry den, prosim Vas moje dieta ma 4 roky, ma neustále afty, nikto nam nevie povedat z odborných lekárov, ze z akého dovodu, zuby čistíme rano, vecer, kefka extra soft, pasta z Aloe, viete mi poradiť nieco co by nam pomohlo? Lebo som zúfalá a uz mam pocit, ze je to kvoli čisteniu ústnej dutiny...
@chanel12345 opýtam sa zubného lekára, ozvem sa s odpoveďou onedlho
@chanel12345 odpoved od zubára: žial na afty nie je cielená liečba :(( je to kombinácia imunity a dráždivých faktorov - môžete skúsiť a odsledovať výsledok - vysadiť zubnú pastu, čistiť nadalej poctivo mäkkou kefkou, všímať si, kde vznikajú, či je to na tom istom mieste alebo nie (ak áno, či to nieje tým, že dieťa si to miesto nahryzáva ako zlozvyk), poradiť sa s pediatrom o doplnku Bkomplexu, popr. poradiť sa s imunologom, či nie je oslabená imunita.
@stellasweet bolo aj u nas...uz som bola na nervy a kopa kazov zrazu...ale tie ochutene detske pasty naozaj zabrali. Drobec sa tesil kazdy den na inu prichut
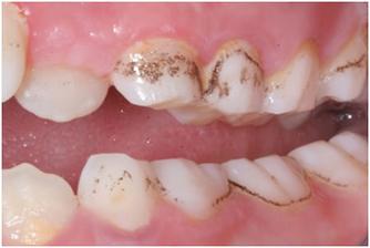
@lenocks1984 mozem prosim sa opytat na nazor poradcu lekara? Maly ma tri roky a pred 2tyzdnami sme boli u zubara a nasiel mu dva kazy na kazdej spodnej stolicke.aj nam ich ukazoval pod svetlom a lampou take bodky. A pozrite fotku teraz.uplna cernota aj vrchna stolicka.zcernanie nastalo 48h po navsteve lekara ked sme zmenili pastu.pouzivala som iba bez fluoru a po navsteve lekarovi an jeho radu som kupila s fluorom.uz som aj zmenila znacku ale pribudla ta horna stolicka cierna.to je vsetko kaz? Odhalil to ten fluor v paste? Alebo alergia? Malemu vysli zuby skoro vsetky mal v 2roku.sladke zacal jest az pred 3mesiacmi..cistit si necha cistime 3x denne.len muz ma velmi zle zuby..tak sme sli radsej na prevntivku a bum.len teda taketo cierne zrazu nechapem co sposobilo.zubar este nam hovoril ze rok to pocka nebude opravovat..ale coskoro ideme k inemu. Ale az o 3tyzdne s tak mi neda ci sa neda poradit co sa to deje malemu.dakujem
@martina9999 opýtam sa
















































































































































































































































Ahoj, a aku pastu pre deti do 3 r?