2. drobček na ceste... 🙂
Takže vyzerá to tak, že po pol roku snaženia sa nám to konečne podarilo... 😀
V piatok 30.11. som bola na krvi (hcg) a bolo to negatívne... Tak som to s kamoškami zapila a dobre sa vyplakala...
v pondelok 2.11. sa mi nezdala moja teplota, ale nechala som to tak.
V utorok som čakala mrchu a ona nikde, namiesto nej teplota nad 37... Takže? Test... Čo to vidím? //, ešte jeden:zas //, neverila som.... až teraz, keď mám za sebou asi 5 testov a tá druhá / je fakt tam... 😀
Takže sme sa ťa dočkali!! Vitaj drobček medzi nami. Už teraz ťa nesmierne ľúbime a tešíme sa na teba... 🙂
♥ V pondelok 16.11. som bola na sone - potvrdené tehotenstvo, bolo vidno len gestačný vačok
a žlté teliesko
-už mi býva zle, toto som pri prvom tehu nepoznala, moje nálady mojho muža asi položia a rifle už nezapnem (27.11.)
♥ Štvrtok 3.12. sa ideme pozrieť na srdiečko ♥ (držte nám palce...)
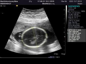
♥ Všetko v poriadku, srdiečko bije, máme 1,6 cm a termín pôrodu sa posunul na 17.7. 🙂
♥ Utorok 8.12. sme boli na krvi
♥ Štvrtok 17.12. si ideme pre knižku a skontrolovať pokladík... 🙂
Tak co cert nechcel 17.12. sme boli u lekara troska skorej,zacali sme krvacat... ten strach nezelam nikomu na svete, bol neskutocny. Verdikt:mocove cesty. Vdaka Boze. Mame cca 2,6 cm a uz sa hybeme... 🙂
♥ Štvrtok 14.1. ideme urobiť kuk do bruška... 🙂 - boli sme, bábo sa krásne hýbalo, počuli sme srdiečko, bolo to krásne...
♥ Štvrtok 28.1. ideme na krv AFP,držte nám palce 🙂
♥ Výsledky sú v poriadku! Hurááá!! 🙂 MS AFP: 20,37 kiu/L:0,86 MoM
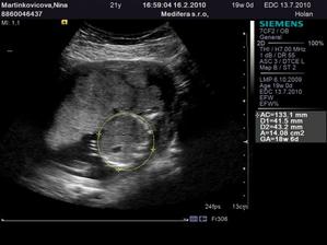
♥ 2.1. sme boli na kontrolnom ultrazvuku, máme 12,5 cm a prekrížené nožičky... 🙂 Sme v poriadku a veľmi sa z toho tešíme... 🙂
♥ 16.2. (utorok) ideme na 4D ultrazvuk!! 🙂 - Boli sme, nádherný zážitok!!! Je to chlapec ako sa patrí, úplne zdravý a krásny!!! 🙂 4D nám lekár ukázal len nožičky a pipíka, lebo tvárička nie je dobre vidieť tak skoro, ale to vôbec nevadí... 🙂
♥ 11.3. (štvrtok) ďalšia poradňa
♥ 12.3. (piatok) ultrazvuk 🙂 (23tt)
♥ 29.3. (pondelok) poradňa, všetko ok, konečne vyliečená mykóza (klop klop klop)
♥ 31.3. (streda) glukózový test (26tt) - všetko v poriadku! 🙂
♥ 8.4. (štvrtok) poradňa, všetko je v poriadku 🙂
♥ 19.4. (pondelok) ultrazvuk - malý má už 1,2 kg, je nádherný!! 🙂
♥ 30.4. (piatok) 4D na výstave... 🙂 Malý sa schoval do placenty,ale pipíka ukázal zas... 🙂 Máme 1,6 kg.. 🙂
♥ 27.5. (štvrtok) boli sme v poradni, všetko je v absolutnom poriadku, len už nemám priberať... ☹ Akokeby som za to mohla... + 18 kg (34tt)
♥ 3.6. (štvrtok) sme videli drobca na utz, je taký veľký už, už sa nám to blíži, máme 2 400 g... 🙂
♥ 17.6. (štvrtok) - poradňa + monitor - všetko je v poriadku... 🙂
♥ 1.7. (štvrtok-ako vždy) - poradňa dopadla dobre, aj monitor, sme na 1,5 cm otvorení, tak veríme,že to do termínu zvládneme... 😀
♥ 6.7. (utorok) - ultrazvuk, máme 3640 g a von sa nám nechce... 🙂
♥ 12.7. (pondelok) - doktor urobil Hamiltonov hmat, vypila som trocha ricinoveho oleja-cakame... 🙂 - dockali sme sa, cca 19:00 zacali kontrakcie



























