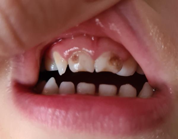
ide o typický kaz raného veku. Vzniká, ak na nedostatočne umytých zúbkoch je prítomný povlak, v ňom baktérie a týmto sa v noci často dodáva cukor v podobe mlieka. Toto mlieko baktérie spracujú, vylúčia kyseliny a vzniká kaz.
Typicky postihuje predné horné zuby a od vrodenej vady/štiepenia skloviny/deficitu vitamínov/chyby v tehotenstve/liekov sa odlíši tým, že dolné zuby sú ako perličky (ako je to aj vo vašom prípade).
Maminky majú často pocit, že zuby už takto vyšli - oni ale rástli dajme tomu 3 mesiace, obaľovali sa povlakom a keď sa dieťatko v noci veľa kŕmilo, tak ako zúbky rástli, hneď sa kazili. Zúbky treba samozrejme ošetriť.
S úctou, MDDr. Veronika Bačová Macáková Zubný lekár Stomatologické centrum RODINKA www.stomatorodinka.sk
Dobrý deň,
ide o typický kaz raného veku. Vzniká, ak na nedostatočne umytých zúbkoch je prítomný povlak, v ňom baktérie a týmto sa v noci často dodáva cukor v podobe mlieka. Toto mlieko baktérie spracujú, vylúčia kyseliny a vzniká kaz.
Typicky postihuje predné horné zuby a od vrodenej vady/štiepenia skloviny/deficitu vitamínov/chyby v tehotenstve/liekov sa odlíši tým, že dolné zuby sú ako perličky (ako je to aj vo vašom prípade).
Maminky majú často pocit, že zuby už takto vyšli - oni ale rástli dajme tomu 3 mesiace, obaľovali sa povlakom a keď sa dieťatko v noci veľa kŕmilo, tak ako zúbky rástli, hneď sa kazili. Zúbky treba samozrejme ošetriť.
S úctou,
MDDr. Veronika Bačová Macáková
Zubný lekár
Stomatologické centrum RODINKA
www.stomatorodinka.sk