icon
5 / 223
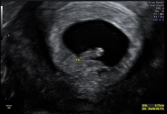
6w4d naša malá fazuľka ♥
avatar

..najkrajšia fazulienka 💗

Odpovedz
18. nov 2015
avatar
acernas
autor

@myrepose dakujem Katulka a malinkej princeznej posielam bočenku ♥

sticker
Odpovedz
18. nov 2015
avatar

..💛

sticker
Odpovedz
18. nov 2015
avatar

Caro prveho ultrazvuku.. ..gratulujem 😊

Odpovedz
18. nov 2015
avatar
acernas
autor

@mon29 jaaaj skvely pocit a vidiet uz cele telicko uz ozajstne mini babatko v ako sa hybe to bola tiez krasa 🙂 neskutocnou radostou ma to naplna 🙂

Odpovedz
18. nov 2015
avatar

@acernas nádherné Silvinka, to robí to malinké ten úžasný pocit pokoja a radosti čo cítiš, vieš ako sa teší na vás vaše malinké?

Odpovedz
18. nov 2015
avatar

..bozee ako by to bolo vcera,co som sa nemohla vynadivat na nasu fazulku.../slzicka upadla/...Silvi uzivaj si toto krasne obdobie

Odpovedz
18. nov 2015
avatar
acernas
autor

@tokina Zuzka užívam plnými dúškami a želám si aby to nikdy neskončilo toto šťastie 😊😊😍😍😍

Odpovedz
18. nov 2015
avatar
acernas
autor

@majama15 najkrajšia kombinácia radosť a šťastie oboch strán aj babiška aj nas 😊😘😘😘

Odpovedz
18. nov 2015
avatar

jeeej gratulujeem 😚

Odpovedz
19. nov 2015
avatar
acernas
autor

@nevesticka21 dakujeme 🙂

sticker
Odpovedz
20. nov 2015
avatar

Nie je nic krajšie .. Ako ked rastie v tebe človiečik od vas ..vase telo vaša krv .. Úžasne moc sa tesim budes skvela mama .. A tiez si myslim ze chlapec .. Najskor ze baba ale dávam to na chlapca cmuk

Odpovedz
20. nov 2015