Pôrod v októbri 2011
Ahojte. Som zvedavá, koľko sa nás tu nazbiera :o)))))))))
@katja23 jo jo ja som nevedela o com pises!!!
@lenuska20 teraz tym ze som pn som dost zavisla na jeho peniazoch tak ze tak!a on mi stale nadava mna uz to nebavi pocuvat stale dokola dnes mi dal vybrat ze bud ostanem zo psom doma alebo pojdem bez psa byvat k nim ale moj pes je na mne zavisli a je to moja laska ako mi moze davat take podmienky???ja som mu na to povedala ze radsej ostanem doma a on ze ok bude chodit na vykendy ako ze chapete to???ja neviem ci som ja sprosta alebo on !!! a ja som mu na to povedala ze to som sa mohla dat aj umelo oplodnit ....proste od vtedy co som tehotna sa len hadame ale ja si nemyslim ze mam chybu!ci??? ☹
@katja23 či nie som na nervy? myslím, že sa z toho kriku naňho niekedy aj na psychiatriu dostanem, lebo on si ma niekedy absolútne nevšimne, ale potom už ked vie, že je zle tak sa strašne líška..ja hovorím, že je závislák...takže tiež máte každý svoj? my tiež..ja sa tiež bojím toho, ako to bude ked už bude drobec, stále mu hovorím, že takto to nepôjde a slubuje, že to bude dobré..no neviem 😖 niekedy som z neho zúfalá 😀 takže ti budú pn vyrátavať z platu 😉
@lea1333 určite nemáš, možno sa s tým ešte nejak nevysporiadal, chlapom niekedy trvá kým im dojde, ako sa chovajú...a myslím, že pes by mu naozaj vadiť nemusel, mal by byť rád, že bude mať teba s drobcom pri sebe...neboj nejako zo zvládnete..
@lea1333 tp uz uplne drbe chlapom , ja neviem co by este nechceli , sa spravaju niekedy ako bohovia a nedotknutelny ...ten moj ma tiez niekdy stavy take ze az ale ja ho zasa viem skludnit a ked mu poviem ze sa skludom mozme rozist ak ma s niecim taky problem tak sa nastve ide zafajcit a potom ze preco tak rozpravam . mojim snom je raz byt aspon den v muzskom mozgu a pochopit ich myslienkove pochody . a nemas chybu , preco ? lebo nechces nechat psa ? ale ak mu do teraz nevadil tak preco zrazu ? a mimochodom je uplne normalne ak su dvaja spolu tak aj sa financie nejako delia , neviem ale zasa mi v tomto vycadzame dobre ak nemam ja tak ma podpori alebo nieco chcem tak aj kupi a tak isto aj opacne si myslim ze je to vo vztahu normalne
@katja23 hej on mi da peniaze bez problemu len proste dnes sa ma to strasne dotkolo co povedal to je vlastne citove vidieranie a to ja radsej budem naozaj doma...sak tak to mi robi aspon pes spolocnost ked on nie je doma!proste je to uplne zleeeeeeeee stale do kolecka tie iste problemy dnes ako mi to povedal tak som mu cele auto zasrala od mc donaldu a on ze si normalnaaaaaaaa???a ja som sa zmohla len na to ze som mu povedala ze je debil a vystupila som si z auta a isla som domov a on mi napise sms ze trosku si to prehnala!!! ☹
@lenuska20 tak teraz co si pisala to ako keby o mne 😀 ten na mna vybliachne ze ja som chora nenormalna ked toto ma vytaca ze na pc ziarlim . Ja neziarlim len mi pride chore aby niekto dosiel domov a hned zapol pc a do dvanastej vnoci nanom bol a vkuse don tukal a vypisoval 😖 a ja som nenormalna chapes ??? ja a nenormalna , v sobotu sme sa koli tomu chytili tak som zasa povedala ak mu je pc prednejsia vsetko jeho vypisovanie so znamimi a hranie tych drbnutych strielaciek ja sa mozem zbalit a odist ! a to vie ze ja s tym nemam problem
napriek tomu ze sa milujeme velmi, hry nam zmenili nas vztah
este ze ma rozum a vie mi to vykompenzovat a hlavne ze viem ako nanho 🙂
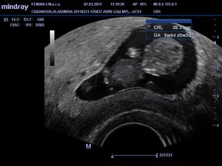
ahojte, ale ste sa rozpisali, nemala som vas ani kedy citat, ale nakoniec som to zvladla...gratulujem tie co mate uz tehu knizku....je mi luto, ze klajosa prisla o miminko....dnes som bola u lekara, vsetko ok, tak sa tesim, malinke sa poriadne hybalo...zakazdym mi da videa a fotky miminka, tak doma mame vecer kino 🙂 ...dnes som podla menzesu 9tt+6 a co ma sokovalo, lekar videl a ja takisto, ze to bude chlapcek, no uvidime ci sa to potvrdi - ma novy ultravuk...o tyzden znova kontrola, vraj vtedy bude najlepsie vidno, lebo neskor je male velke a uz nie je dobre vidno...28.3. idem na vysetrenia, odbery krvi, cize predpokladam, ze dostanem aj tehu knizku...to budem 13tt, skor nerobi ani odbery ani nedava knizku...ale zaklad, ze sme v poriadku...drzkam vam vsetkym palceky, nech sa mate ok a boli ste zdravucke 🙂
@katja23 booože toto si teraz presne ty opísala nás, tiež tu sedí aj do 1 v noci, ale už zlepšil, zozačiatku to bolo do 3! ja mám na to strašné nervy, ale on sa vie zas potom tak vtierať...ja by som ten pc aj von oknom vyhodila, už som mu to neraz povedala, a myslím, že by som toho aj bola schopná...lebo sa mi nezdá normálne ked je 31-ročný chlap závislý na hrách, namiesto toho, aby mohol byť so svojou ženou ked môže 😠
@lea1333 moja ty máš asi tiež božiu trpezlivosť...vidím, že ani jedna z nás to nemá velmi ružové, ale určite by mal byť k tebe jemnejší a zbytočne ťa navyše nestresovať...a keby si sa presťahovala k nemu by ste bývali sami?
@viviem jeej aký krásny drobček, a už ti to povedal, že chlapček? no super, kamoške tak povedal v 12tt...a teším sa, že ste v poriadku 😉
vidim ze tu riesite chlapov ,ach dievcata s chlapmi je tazko ale nie je rodina kde by bolo vsetko na 100% ,proste k zivotu patri aj hadka ale treba sa vediet aj zmierit a raz je jasno a raz zamracne 😉 a snami teraz mavaju hormony a sme take precitlivejsie a vselico nam vadi a predsa chlapi to tak neprezivaju ako mi niekoho narodenie dietata zmeni a niekoho nie proste tak to je 😒
a este nieco vy co budete mat prve dieta s tymi nakupmi to az tak neprehanajte najme co sa tyka veciciek lebo deti velmi rychlo rastu a moc tie veci nevynosia a ak mate niekoho kto Vam moze nieco podarovat alebo poziciat tak to je super 😉
@lea1333 no bola som v soku, ked mi povedal, ze uz vidi nieco a hned nato vyzera to na chlapca a ja som to tiez videla....necakala som to tak skoro, myslela som, ze az niekedy v 20tt mi to povie....inac ani sa nespytal ci chcem vediet, ale tak uvidim ci sa mu to potvrdi, lebo my by sme chceli o trosku viac dievcatko, ale hlavne aby bolo zdravucke...ja som podla menzesu 9tt+6, podla ovulacie 9tt+5...babo zodpoveda datumu ovulacie, velkost akurat
@lenuska20 inac mame pekny vztah , preskakali sme naozaj vela toho spolu a boli aj tazke chvile aj rozchod ale nevieme byt bez seb aale ten pocitac boooooze , ja by som ho tiez najradsej vysmarila von oknom . si predstav oni namotali v robote tolko kolegov na tu hru co hraju lebo cez net a debatuju cez mikrofon tak ja to mam aj zo zvukom 😀 😀 😀 do neskorych hodin co uz niekedy povie ze klud lebo uz penim 😀 😀 😀 a hraju to aj 40 50 nepustia svoje deti k pc .Ja by som tak prefackala tych blbcov co vymysleli hry cez net .... v podstate mi sa chytime len koli pc ja chytam koli tomu ako muzi vravia "samonasieraci sindrom " 😀 😀 zacne tukat a ja peniiiim , hadky fakt len koli tomu pc
@natalii6 no ja mám toho celkom dosť po sestre, takže zas až tak vela toho kupovať nebudem, len niečo aspoň pre moju radosť 🙂 a ja viem, že nikde to nie je ružové, že je to tak striedavo oblačno, a chlapi v podstate tiež nikdy nedospejú 😀
@lea1333 aha, tak ani nie jemu, ale im..hmm tak to nič moc, my tiež bývame s našimi a to je kompromisoov 😖
@katja23 dakujem 🙂 ....verim, ze budu len pozitivne az sa cudujem, lebo pre babatko sme sa rozhodli, kvoli tomu, ze uz by som nemusela mat nikdy, mam diagnozy ako zeny v styridsiatke, tak som stastna, ze sme v pohode...preto chodim kazdy 1-2 tyzdne na kontrolu a musim sa max setrit...tehu knizka nic neriesi, to je pre nas ako taka psychicka podpora 🙂
@viviem myslím, že by to vôbec nevadilo, keby si sa rozplakala, ved to je úplne normálne..ja si tiež myslím, že to závisí od utz, lebo tiež som si zozačiatku myslela, že sa to tak skoro určiť nedá, ale tak zjavne dá 🙂
@katja23 no ved aj u nás sú hlavne kvôli pc, ten môj to tiež hráva s nejakými chalanmi cez net, jeho nová závislosť, predtým sa hrajkal len tak sám...a ked od neho niečo chcem, tak to je :,,počkaj, dohrám´´ 😠 😠
@natalii6 no asi ten pc budeme musiet znasat aby sme sa mali koli comu pohadat 😀 😀 😀
ja myslim ze po segre budem mat dost veci po malom , ma dost neutralnych veci kedze az do chvile porodu sme netusili co to bude ale chc em aspon zopar veci kupit nove ale ja by som povedala ze ja skor pozeram na vecicky na leto a hlavne take na zimu lebo segrin sa narodil v aprili tak ona v podstaet mi nema na zimu ake veci pre male poskytnnut
dnes som v tescu inac vydela chutnu halenku pre dievcatko bielo modru na 6 az 9 nouzas


@jana86 potom sa s nakupovaním rozbehneme a nikto nás nezastaví 😀