icon

Pôrod v máji 2012

avatar
arieska
30. aug 2011

Druhe babo a opat na prvy pokus. Bodaj by aj ine maminky mali tolko stastia 🙂 . Zatial to vie iba manzel a kolegyna v praci. Na zaciatku zmiesane pocity, ale uz sa aj zacinam tesit 🙂

avatar
lenkalela
21. okt 2011

@savarka ani mne nepovedal kolko ma cm ked som bola v 7 tt ,som sa ho musela opytat sama...neboj urcite je vsetko v poriadku ,drzim palceky

avatar
lenkalela
21. okt 2011

@savarka moj manzel so mnou chodi pokazde🙂 sa tesi ako uvidi prcka a ako bude pocut srdiecko🙂

avatar
savarka
21. okt 2011

@lenkalela dakujem, ja som sa ho aj pytala, ze to co vidim na ultrazvuku 4,4 cm ci je maleho velkost, ale strasne mi divne odpovedal, resp. neodpovedal a nejak som uz nenabrala odvahu sa pytat dalej.....viem, truba som ☹

avatar
savarka
21. okt 2011

@lenkalela my sme boli 2x u doktora - potvrdenie tehotenstva a tento tyzden, ked mi dal aj ostatne terminy poradni, moj chlap bol sice so mnou, ale cakal vonku, teraz lutujem, ze som ho nezavolala. Nabuduce uz taku chybu nespravim.......nech si vychutna aj on ten pocit 🙂

avatar
lenkalela
21. okt 2011

@savarka no ved aj keby malo 4.4 tak to je pekne babenko ,neboj vsetko je ok ,aj ja este musim ist o mesiac ,lebo nevidel prckovy mocovy mechur ,ale ze to je ok ,len musi skontrolovat ci sa uz vyvinul ,takze hlavne ziaden strres ,lebo to nerobi dobre malinkemu..ja viem lahko sa to hovori ,je som tiez taka ista🙂)

avatar
lenkalela
21. okt 2011

@savarka no zo zaciatku tam aj tak toho moc nevidno ,ale taky bol spokojny ked pocul to srdiecko prvy krat🙂)))).urcite ho uz zober dnu ked pojde s tebou🙂uvidis ako sa potesi🙂

avatar
savarka
21. okt 2011

@lenkalela tak tvoj sa zrejme tesi ako moj 🙂 , kazdy den mi hladka a bozkava brucho. Urcite ho zoberem, temin mam nastastie az tak navecer, tak bude uz aj doma z roboty

avatar
lenkalela
21. okt 2011

moj sa tesi tak nenapadne ,akoze tvrdy chlap vies🙂 nenapadne ale na internete pozera kociky a izbicky a postielky ,ale nepovie nic;)xixi

avatar
gwenni
21. okt 2011

@helenka333 ďakujem za privýtanie, no poviem ti zo svojej skúsenosti že nikdy nuž nebudete mať vyhraté, hoci sú údajne rizikové prvé tri mesiace, ale stať sa môže kedykoľvek niečo poznám veľa mamičiek čo tak prišli o bábätká a ja sama som zažila že nám synček zomrel 6 dní po pôrode :( :( mal vrodenú vývojovú vadu na črievkach a nedalo sa s tým nič robiť :( nezlučiteľné zo životom :( ......takže od teraz sa už nikdy toho strachu nezbavíte ale jediné čo máme je nádej že to dobre dopadne...ja sa tomu tiež snažím veriť aj po 5 potratoch a jednom krásnom dieťatku v nebíčku, že sa k ním už nikto viac nepridá 🙂

avatar
gwenni
21. okt 2011

ale prajem vám všetkým krásne tehotenstvá, je to niečo prenádherné 🙂 🙂

avatar
lenkalela
21. okt 2011

@gwenni drzim palceky ,toto bude urcite pozitivne 🙂 drz sa a davaj si pozor ,ja sa tiez snazim na to nemysliet ,aj ked stale tam je strach ,ale nemozme sa nicit!

avatar
gwenni
21. okt 2011

@lenkalela presne tak sú v živote veci ktoré nemôžeme ovplyvniť ale zase prečo by malo moje dieťatko kôli môjmu strachu trpieť ...ja sa už tak teším na koniec mája alebo ten prvý júnový deň ...nech už je aj keď sa určite budem báť pôrodu lebo ten môj nebol nič príjemné aj keď to bolo sekciou

avatar
forgiven
21. okt 2011

....tak by som chcela vedieť pohlavie dieťaťa....(zajtra začínam 12tt, 03.11. mám ísť na poradňu)

avatar
arieska
autor
21. okt 2011

@kaekole zatial som bola len na tom vaginalnom sone. dnes mi robil, dnes som v 12+1, potom mi robil pred tyzdnom a potom este v 9+1.
ale dnes mi meral aj NT - ako si mi raz pisala, dokladne malicke prezrel + este mi povedal, ze ak chcem mat 100% istotu, aby som isla do Martina k jednemu specialistovi - MUDr. Frantisek Grochal
ale este sme sa nerozhodli, ci pojdeme alebo nie

avatar
arieska
autor
21. okt 2011

@gwenni tak to je velmi smutne, ze ste prisli o svojho chlapceka. nedalo sa to zistit este pred narodenin? 😖

avatar
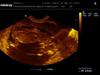
arieska
autor
21. okt 2011

@lenkalela ja som citala, ze do 3 mm je to uplne v poriadku, tak sa nicoho neboj
teraz mam noveho mudr, priznam sa, ze pri prvom som ani nevedela, ze sa nieco take meria 😠
ved vsetko dopadlo ok, to je hlavne, mam zdrave krasne dieta, ale aj tak...moja stara mudr mi nic nehovorila
tu je foto z dnesnej poradne 🙂

avatar
aamanda
21. okt 2011

ako vam setkym zavidim..mate take kraaasne foto zo sona, tolko info od dr....aaaa ja si ece aj za foto 5 eciek platit musim, je skarade a male a nic nevidno!!!!!!a musim sa pytat ci je setko ok!!!!!!! co mam dochadzat niekam inam aby som mala dr co ma bude infoskovat o stave a spravi take cacane foto???? chodi tu nejaka do topolcian k nejakej dr alebo aspon niekde, nie moooc daleho od pn???a da sa vobec pocas tehu prestupit k inemu dr??

avatar
lenkalela
21. okt 2011

@aamanda pekne deti mame🙂))))))))))))))))

avatar
lenkalela
21. okt 2011

@arieska jej dakujem to si ma potesila🙂

avatar
gwenni
21. okt 2011

@arieska nie nedalo, vraj sa to nedá zistiť, lebo že dieťatku v brušku črievka nefungujú a sú tak isto ako aj pľúcka také spľasnuté až keď sa dieťatko narodí tak sa tak nafúknu do normálneho stavu...takže ani sono a ani plodová voda nám nepomôže aby sme vedeli či sa druhé dieťatko narodí zdravé

avatar
gwenni
21. okt 2011

@aamanda môžeš prestúpiť kedy chceš len asi nie skôr ako pol roka od poslednej zmeny doktora myslím ??

avatar
jajuuus
21. okt 2011

@arieska super! teším sa s vami!!! 😉

avatar
arieska
autor
21. okt 2011

@gwenni to je smutne ☹ urcite mas strach, obdivujem ta, ze sa nebojis znovu to podstupit

avatar
arieska
autor
21. okt 2011

@jajuuus dakujem, zlatko. som rada, ze sme sa dnes stretli, dufam, ze dlho nepotrva a budeme sa stretavat v poradni. kontrola dopadla ok?

avatar
jajuuus
21. okt 2011

@arieska aj ja som rada, že sme sa videli 😉 len som mu porozprávala, čo a ako a išla som dom... v piatok znovu na kontrolu... ale odspodu ma pozrie až po prvej mrche...

avatar
leleh
21. okt 2011

ahojte kocky aj ja by som sa k vam rada pridala, termin mam 15.5. Po jednom missed v 10 tt a druhom mikropotrate to konecne vyzera nadejne. @gwenni moja mila velmi sa s teba tesim a dufam ze vsetko uz bude ok.

avatar
gwenni
21. okt 2011

@leleh tak vitaj v klube a ideme si spolu krásne tehuľkovať čo 😀 😀 😀 😀 ???

avatar
leleh
21. okt 2011

@gwenni ano ano idemeee 😀, tesim sa, strach som hodila za hlavu...

avatar
gwenni
21. okt 2011

Inak škoda že sa tu nedajú dať také tikeríky ...ja keď som bola tehotná s Maxom tak som chodila na také iné fórum volalo sa tehotenska kalkulačka ale teraz to tam už nieje a tam sa dalo že ste si na takej tikeríkovskej stránke vyskladali svoj vlastný tikerík s obrázkami a tam sa zadal termín pôrodu a to pekne buď odpočítavalo dni alebo vám pekne ukazovalo že v ktorom tt a dni tehotenstvo ste ...to mi veľmi vyhovovalo tak som sledovala ako tie týždne ubiehajú že som sa ani nenazdala a bola som v polovici a zrazu som už aj rodila 🙂 🙂 🙂
Každá babuľka mala iný tikerík tak už podľa toho som veľa krát videla že kto čo písmenkuje 🙂

avatar
aamanda
21. okt 2011

@lenkalela ved tie nase majove musia byt najkrajsie🙂))))