Vyberanie materiálu a skrutiek z kostí
Dobrý deň skúsenosti s vyberaním materiálu,srobov z kostí? Operacia a potom hojenie ako ste to preživali .... zvažujem či vybrať alebo nechať
@arexka vyberali mi z čeľustí 22srobov ,týždeň marodka ,v prste mám jedenásť srobov a štyri platničky ,ostávajú ,dali mi na vyber ,tak som nechcela ďalšiu operáciu
@minenkaa aj mne dávajú na výber jeden doktor bol zato vybrať kvôli veku a tomu že pri dlhšej chodzi mi začne platnička tlačiť na koleno a boli ma skôr sa mi zdalo že v zime to bolo viac ..dnes som bola už teda dohodnúť operaciu a tam iny doktor že by to tam možno aj nechal že na mojom mieste že zas mi to narežu v mieste jazvy a narušia tkaniva a niekedy sa to ani nejak nezlepší že keď tam už bolo zranenie neviem sama čo robiť som s toho na nervy 🙁bojim sa operácie hrozne ale aj toho že mi tam ta platnička bude vadiť keď nastupim do prace ešte som na materskej
@minenkaa aj mne dávajú na výber jeden doktor bol zato vybrať kvôli veku a tomu že pri dlhšej chodzi mi začne platnička tlačiť na koleno a boli ma skôr sa mi zdalo že v zime to bolo viac ..dnes som bola už teda dohodnúť operaciu a tam iny doktor že by to tam možno aj nechal že na mojom mieste že zas mi to narežu v mieste jazvy a narušia tkaniva a niekedy sa to ani nejak nezlepší že keď tam už bolo zranenie neviem sama čo robiť som s toho na nervy 🙁bojim sa operácie hrozne ale aj toho že mi tam ta platnička bude vadiť keď nastupim do prace ešte som na materskej
@arexka no to ti nepomôžem mne nezavádzia nič ,mne doktorka povedala,že ak zavadzia ,tak v tom prípade to treba vybrať
Operacia bude rýchla a zasite sa zahojí
Aky zmysel ma vybratie? Vsetky tie materialy ta hravo preziju. Pokial ta to neobmedzuje je blbost to vyberat
Aky zmysel ma vybratie? Vsetky tie materialy ta hravo preziju. Pokial ta to neobmedzuje je blbost to vyberat
@anonym_a80ec7 ano po prvej operácii som si vravela že nikdy viacej že to tam necham navždy ale teraz ..vaham lebo ma boli koleno z toho keď dlho chodim ta platnička tlačí naň preto zvažujem vybratie viem že to tam môže byť navždy len sa bojim aby mi to neskôr nerobilo vetšie problemy .
Záleží na tom, kde sa to nachádza. Ak to neprekáža, je lepšie to u dospelého človeka nechať tak, pretože kosti sa už nehoja tak ako v mladosti.
Záleží na tom, kde sa to nachádza. Ak to neprekáža, je lepšie to u dospelého človeka nechať tak, pretože kosti sa už nehoja tak ako v mladosti.
@dagmara17 neviem ako sa hoja kostí v 34 povedali mi že to mam zahojene čo je spravny vek na vybratie,? Nevybratie? Neviem čo robiť 😔
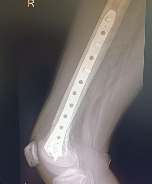
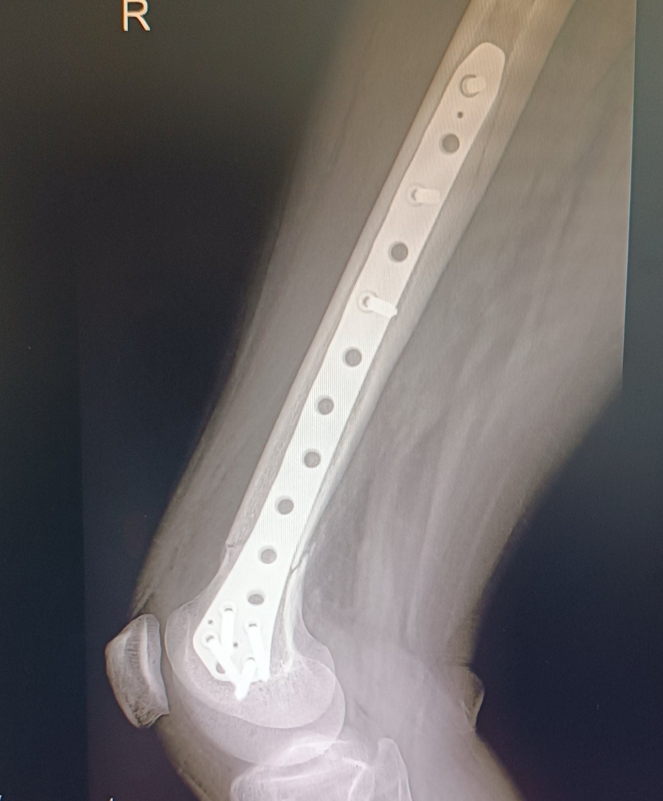
Ahoj, ja som mala 3-tú zlomeninu členka pred 2 rokmi, vybrali mi drát, ale nechali mi tam platničku a 9 šróbov, lebo mi lekár nespojil ešte kúsok rozštiepenej kosti. Strašne ma platnička oškriera, ako by som mala tú oblasť v okovách. Nechcú mi to vybrať, aby sa mi neskôr tá kosť nezlomila. Ale vybratie platničky je vraj už malina oproti celkovej operácii. Aj drát mi vybrali do 10 minút a poobede som išla domov. Malacky
Ahoj, ja som mala 3-tú zlomeninu členka pred 2 rokmi, vybrali mi drát, ale nechali mi tam platničku a 9 šróbov, lebo mi lekár nespojil ešte kúsok rozštiepenej kosti. Strašne ma platnička oškriera, ako by som mala tú oblasť v okovách. Nechcú mi to vybrať, aby sa mi neskôr tá kosť nezlomila. Ale vybratie platničky je vraj už malina oproti celkovej operácii. Aj drát mi vybrali do 10 minút a poobede som išla domov. Malacky
@poriadie ahoj no vravia že vyberanie už nieje taka operacia ako ta prvá že to je 10% oproti prvej čo som mala ale to ťažko si to ja viem predstaviť ja mam v hlave len to všetko čo som zažila prvy krat a akože mne to príde že lahsie to je skôr pre chirurgov že to len odšrobuju vyberu zašiju ale pre mňa? Musia mi to opäť rozrezat v mieste jazvy ,isto sa zobudim z bolestami asi zo začiatku aj barle ja neviem hrozne veľa nazorov je na to jeden mi povie tak druhy onak a ja som s toho už magor pokiaľ to ozaj človek nezažije nevie .. členok je zas ine vraveli mi aj na rehabilitácii že tam to dosť vadí ľuďom..mnr sa zda že ako sa oteplilo ani neviem že platničku a šroby mam úplne ma nič neboli nevadi mi stale rozmýšľam či operaciu nezrušim len zas už som sa tak do toho pustila objednala ja neviem😞
Ak máš všetko v poriadku a zrastené, tak si to určite daj vybrať. Po vybratí nie sú bolesti, ani barle. Zo začiatku trocha nohu šetriť, kým sa jazva nezahojí, cca 2 týždne, ale inak sa toho neboj. Ja som po vybratí drátu nemala žiadne bolesti, ani barle a na druhý den som už bola v práci. Aj som chodila tak opatrnejšie kvôli tej rane. Fakt sa nemáš čoho báť. Keby som ja mala všetko v poriadku, ani neváham. Mna tam práve tá platnička tlačí dosť, tak ja by som sa jej potrebovala zbaviť. Držím palce, a kde ti to budú robiť?
Ak máš všetko v poriadku a zrastené, tak si to určite daj vybrať. Po vybratí nie sú bolesti, ani barle. Zo začiatku trocha nohu šetriť, kým sa jazva nezahojí, cca 2 týždne, ale inak sa toho neboj. Ja som po vybratí drátu nemala žiadne bolesti, ani barle a na druhý den som už bola v práci. Aj som chodila tak opatrnejšie kvôli tej rane. Fakt sa nemáš čoho báť. Keby som ja mala všetko v poriadku, ani neváham. Mna tam práve tá platnička tlačí dosť, tak ja by som sa jej potrebovala zbaviť. Držím palce, a kde ti to budú robiť?
@poriadie v Trenčíne je tu aj dobry mily primar bol ochotný mi aj povysvetlovat o tom vybrati keď som mu napisala mail je taky ľudský,vravia že to už je jednoduchsia operacia no tak pôjdem do toho? Mám ju mať teraz 30 .aprila ...25 aprila mam narodky 36 rokov no bude to pre mňa hrozný stres hlavne keď už budem pred operačkou viem že vtedy by som najradšej ušla keby mam ako keď som tam ležala zo zlomenou nohou na posteli a bola som na rade 😀🙂 ale asi každý sa boji operácie...toto sa mi dobre číta také povzbudive spravy že to už není taky horor ..vtedy som nohu nemohla odlepiť od postele zdvihnúť bola slaba koleno som nemohla ohnúť to až na rehabilitácii mi nasilu ohybali postupne aby som vedela aspom fungovať doma sadnúť si do auta ta stehenna ,ja mám práveže barle prichystane že si ich berem do nemocnice 😀 nejak tomu nechcem veriť že po operacii sa budem môcť na nohu postaviť ale vraveli mi tam že áno že aj všetko budem schopna doma robiť okolo deti a tak no ozaj ak teda na to pôjdem budem zvedava či to ozaj tak bude oni všetko chceli hneď aj po prvej operacii a mne to trvalo dlhšie
Neboj, určite to je jednoduchšie ako prvá operácia. Ja by som už žiadny stres nemala, lebo som zažila vyberanie drátu a keby sa dalo, dala by som si vybrať platničku určite. Buď v ten istý den, alebo na druhý pojdeš domov, opatrne budeš chodiť, kým sa ti to nezahojí, žiadne barle. Držím Ti palce, určite to dáš. Ja som mala najväčší stres z barlí, lebo som nemohla nič robiť, ani sa nikde pohnúť.
Neboj, určite to je jednoduchšie ako prvá operácia. Ja by som už žiadny stres nemala, lebo som zažila vyberanie drátu a keby sa dalo, dala by som si vybrať platničku určite. Buď v ten istý den, alebo na druhý pojdeš domov, opatrne budeš chodiť, kým sa ti to nezahojí, žiadne barle. Držím Ti palce, určite to dáš. Ja som mala najväčší stres z barlí, lebo som nemohla nič robiť, ani sa nikde pohnúť.
@poriadie a ako to myslíš že žiadna bolesť nebola po operacii? Veď ta rana boli nie? Kadial to vyberu daju asi lieky od bolesti dufam ..no neviem čo tie barle či ich brat zo sebou či nechať doma ja sa bojím že bude ta noha a kosť tiež ešte taka oslabena tam ostanu po šroboch dierky ešte kym sa zrastu
Neboj, určite to je jednoduchšie ako prvá operácia. Ja by som už žiadny stres nemala, lebo som zažila vyberanie drátu a keby sa dalo, dala by som si vybrať platničku určite. Buď v ten istý den, alebo na druhý pojdeš domov, opatrne budeš chodiť, kým sa ti to nezahojí, žiadne barle. Držím Ti palce, určite to dáš. Ja som mala najväčší stres z barlí, lebo som nemohla nič robiť, ani sa nikde pohnúť.
@poriadie a môžem sa spýtať ešte cela si bola uspata alebo len čiastočne? Ten fraxiparine sa potom ešte picha do brucha aj bandažuju sa nohy? ..mne ešte aj buď deň alebo po vychadza menštruácia tak cele zle som im volala a ževraj to neni prekažka že si asi budem môcť nechať aj svoje pradlo alebo aj dat si tampon mi to pride divne tampon tam dohovie koľko hodin budem uspata cele zle ešte s tymto tam mat starosť neviem ako po operacii prejdem na wc snáď dobre 😔



@arexka vyberali mi z čeľustí 22srobov ,týždeň marodka ,v prste mám jedenásť srobov a štyri platničky ,ostávajú ,dali mi na vyber ,tak som nechcela ďalšiu operáciu