icon

Ako riešiť problémy s hrdlom a prehĺtaním?

avatar
kondrs
23. máj 2024

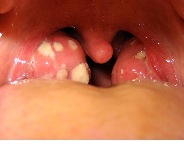
Ahojte vysypali sa mi takto hrdlo ledva prehltam a som stoho nervozny ,teplota ani nic ine mi neni ,dakujem co mi pomoze

Ako riešiť problémy s hrdlom a prehĺtaním?
avatar
maximiliana
23. máj 2024

@minenkak 😂😂

avatar
sheila121
Odpoveď bola odstránená
avatar
tetapetra
23. máj 2024

@kondrs hnisava angina

avatar
minenkak
23. máj 2024

@tetapetra toto je hnisava angína, on má len afty

avatar
tetapetra
23. máj 2024

@minenkak začiatok môže vyzerať aj tak, som presne ten typ, ktorý máva len hnisavé angíny

avatar
kondrs
autor
23. máj 2024

@minenkak 🙆🙆🙆🙆

avatar
kondrs
autor
23. máj 2024

@tetapetra tak uz ma hrdlo zacalo bolet 4 dni dozadu a zrazu toto ,ale replota nic ani kasel. Ani nevim co ,no mozno angina moznonlen tie afty alebonco to je

avatar
minenkak
23. máj 2024

@kondrs máš afty ,kup tantum verde sprej alebo kloktaj slanú vodu a bude horúčka tak hnisava angína a Bkomplex som zabudla

avatar
tetapetra
23. máj 2024

@minenkak no vidíš a ja teploty nemávam 🤷🏻‍♀️
@kondrs kúp glimbax, ak si v takom štádiu,tam by som radšej šla k lekárovi kvôli ATB

avatar
kondrs
autor
23. máj 2024

@minenkak kupil som strepfen spray

avatar
mucuinka
23. máj 2024

@kondrs je aktualne velmi rozsireny streptokok s atypickym priebehom. Zasla by som na vyter. Pre istotu. Je to mrcha