Hanbím sa ísť k zubárovi. Je to veľmi zlé?
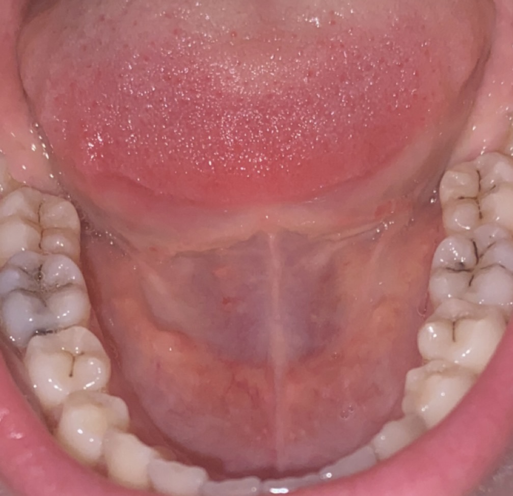
Nevyzerá to až tak zle. To čierne, čo ty asi považuješ za kazy, môže byť aj povlak.Choď kľudne k zubárovi. Ale keďže si nemala prehliadku minulý rok,niektoré zákroky budeš hradiť bez spoluúčasti poisťovne.
Ja som mala niečo podobné (11r som nebola u zubára) a moja dr povedala že na to, že som tam nebola tak dlho tak mám krásne zuby ..im je to jedno. Mňa ale mrzí, že som nebola skôr a pravidelne. mohla som to mať preplatene 🤐
@mamickalisticka a keď pôjdem na prehliadku a budúci rok mi to budú robiť tak by mi to mohla preplatiť poisťovňa?
@uzivatel55 ty sa hanbis, a kde mas plomby? ja uz mam kazdu stolicku opecatenu a to sa o zuby staram. nehovorim ze tam nemas kaz. ale cudujem sa ze nevidim plomby. 😂
@uzivatel55 časť ti preplatí poisťovňa, ale tento rok musíš mať preventivku spravenu. A nič hrozné tam nevidím, máš tam všetky zuby🙂 , ver, že sú oveľa horšie prípady
@bublinka1426 presne , žiadne plomby, ja už mám len pár kusov a tie samá plomba, a to chodím pravidelne.
@bublinka1426 noo, mne už menili aj tie menené blomby, nechcú držať, to je aký level😂
@mamickalisticka to už mi niekto hovoril, že toľko rokov nebol u zubára, a zuby všetky svoje a pekné, na čo ja chodím roky zubárovi vlastne🤦🤔😄
@miamia04 :D aj mne uz aj zub trhali lebo po tolkom plombovani mi totalne odumrel...ani vymena a vypln kanalikov nepomohla, zacal sa lamat. takze 250euro slo prec do kosa.

@uzivatel55
Náhodou máte krásny chrup, ťažko určiť iba podľa foto , ale to čierne by mali byť iba pigmenty, to sa krásne odstráni na dent.hygiene 🙂
Myslím , že tam bude jeden medzizubný kaz..
Z vašej strany v pravo dole medzi 45, 46
Konkrétne 45 distálne 🙂
Možno áno , možno nie to vám už potvrdí dr 🙂
Ale nemáte sa začo hanbiť 🙂
Krásne rovné , bezplombove zúbky 🙂
@uzivatel55 neboj,je super,že ide po takej dlhej dobe 🙂 a dr.sa len poteší,pre neho sú to peniaze


Zubar je doktor ako kazdy iny, ma riesit zdravotne problemy, nie strkat "previnilcov" do klietky hanby, takze neviem preco stresujes...