Je suché lôžko po trhaní zuba normálne?
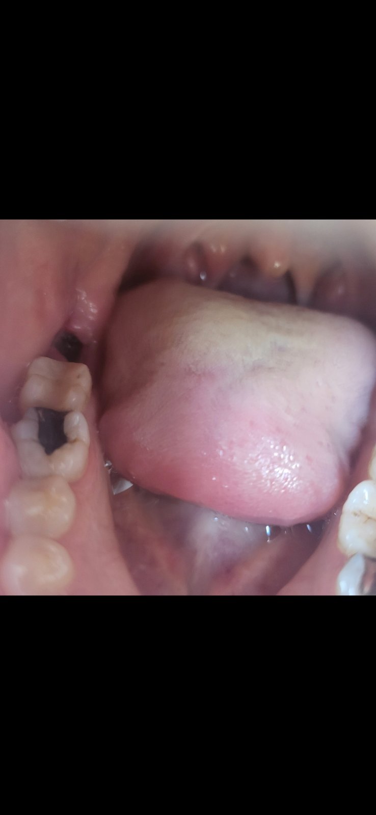
Ahojte ,som 5 deň po trhani osmicky .Najprv sa mi zdalo že tam mám fibrin ,teraz ho už moc nevidím. Neviem či mam suche lôžko alebo len ta zrazenina klesla nižšie.Je toto normálny stav? Teploty nemam ani opuchy len ešte ma to boli ,nič strašné. A trochu aj sanka a čeľusť
Ale zas aj ju presilujem co stále sa pozerám do úst.Davam si lieky od bolesti 2 za deň.Ale nie je to až taká hrozna bolesť.
@anonym_autor mas tam zrazeninu, je to ok, suche lozko by bola hola kost a taka bolest, ze by si letela na pohotovost.
Moj po tahani mal bolesti aj 3t, ja nic.
@anonym_autor mas tam zrazeninu, je to ok, suche lozko by bola hola kost a taka bolest, ze by si letela na pohotovost.
Moj po tahani mal bolesti aj 3t, ja nic.
@euka210 ďakujem,bola som u zubára a on že nevie ci mám suche lôžko.Že tam moc nevidno tak neviem .Dal mi ATB lebo šklbe mi sanku a čeľusť.


Keby mas suche lozko tak ta bolest je silna