Aké červené nebolestivé výrastky mám na sliznici hrdla?
Zodpovedané11. sep 2021
Dobrý deň,
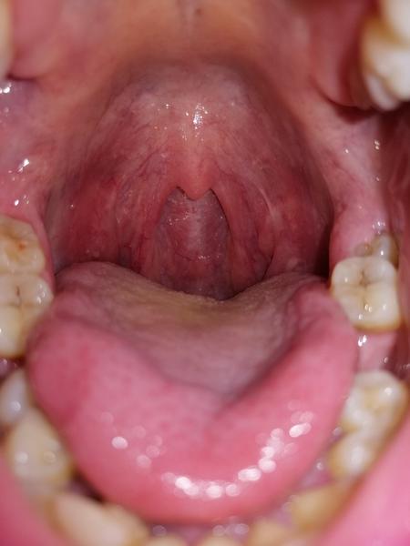
chcela by som sa poradiť ohľadom môjho problému. Už roky mám červené nebolestivé výrastky - kopčeky na sliznici hrdla. Žijem v UK a tu sa doktora nič nepýtam, lebo to nemá zmysel.
O aký problém môže ísť?
Ďakujem

Dobrý deň,
myslím si, že tie výrastky, ktoré tam vidíte, tak sú mandle. Nie u každého pacienta sú mandle úplne viditeľné.
Dúfam, že myslím, tie isté výrastky ako Vy, avšak patológiu v hrdle nenachádzam.
Pekný zvyšok dňa želám.
MUDr. Milada Madleňáková