Mám zápal ďasien?
Zodpovedané15. sep 2021
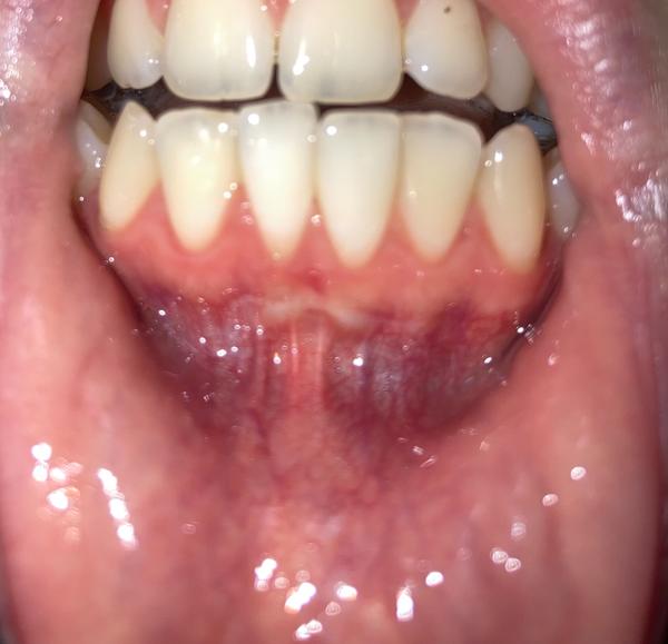
Dobrý deň,
chcela by som sa poradiť ohľadom môjho problému. Pred pár rokmi som bola na odstránenie uzdičky.
Je ružová farba z tohto zákroku?
Mám zápal ďasien?
Nemám bolesti a ani krvácanie.
Ďakujem

Dobrý deň,
chcela by som sa poradiť ohľadom môjho problému. Pred pár rokmi som bola na odstránenie uzdičky.
Je ružová farba z tohto zákroku?
Mám zápal ďasien?
Nemám bolesti a ani krvácanie.
Ďakujem

Dobrý deň,
myslím si, že nemáte zápal ďasien. Ak by išlo o zápal ďasien, tak by sa to prejavilo ako paradontóza, ďasná by krvácali.
Pekný zvyšok dňa želám.
MUDr. Milada Madleňáková