Chcem sa spytat, co (z vasho pohladu) najvaznejsie robili vasim cca 3.5rocnym detom ako zakrok u zubara.hladam odozvu take horsie pripady ako velky kaz..moj ma strasne pokazene stolicky.boli sme u zubara pred pol rokom a netrufal si nic robit,ze pockame rok az bude vacsi.travala som ale na kontrole skorsej a ideme v stredu.ale uz budem trvat na tom aby to hned zacal riesit lebo sa tie kazy rozsirili po celej ploche stoliciek.mam z toho hrozny stres.ma stve ze som nesla k inym mala som dvoch inych dohodnutych na prekonzultlovanie ale tomuto chodime ja aj muz a pracuje dobre,kazdy iny do telefonu sa na 3r dieta vtedy netrufal extra, a maly mi chce ist oba k tomuto inemu ze nie,sa k nemu fixol,tak ale bojim sa ako to bude opravovat ci sa s tym nieco da urobit este vobec.
Moj ked mal 3 roky, tak mal tiez 3 kazy a nechcel mu to zubar robit. Povedala som, ze je este maly, na to, aby bol o chvilku bez zubov alebo s bolestivymi zubkami. Dal injekciu, vyvrtal, dal vlozku a maly bol spokojny. Jedna vlozka vsak vypadla, lebo tam bol uz velky kaz, tak ho v 4 rokoch vytrhol. Netreba sa bat, ak maly bude spolupracovat, treba to urobit. Ak nie tento zubar, treba pohladat noveho
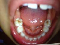
A sucasnost.
V principe snad mi tu nebudete pisat ako moze mat tak pokazene zuby..ci neumyvame alebo tak.umyva si od mala ale prvy zub mal ako 3m a v roku mal vsetky.prvu sladkost lizatko a bombon jedól v 2.5roku a hned sa to zvrtlo, zub oskaredel v priebehu troch dni pred nasimi ocami. Povod ku kazivosti ma geneticky moj muz ma zuby ako 70r dedko priserne kazive velka rychlost.ja mam zuby ukazkove bez problemov.nevedeli sme po kom podedil uz vieme..
nasmu ked mal 3,5roka vrtala a plombovala stolicku.Ale mal mensi kaz.Chvilu plakal,ale potom v pohode.Dal si fialovu plombu 😀 ide hlavne o to aky pristup bude mat zubar.Nas presne vedel co ho caka a zubarku mame uzasnu
Treba ist inemu zubarovi ak si tento netrufa, v bratislave je aj speci klinika detskej stomatologie. Zuby treba ostrit je jedno kolko ma rokov.
a jasne ze sa zuby daju spravit kazdemu, len nie kazdy zubar ma na to skusenosti,... na klinike ustnej, celustovej a tvarovej chirurgie maju zakroky ze osetruju zuby dokonca mentalne postihnutym a neosetritenym pacientom (uspia ich). Preco by nejaky dobry zubar nezvladol 3,5rocne dieta?
Urcite by som si sla po nazor inemu zubarovi, zubky treba zachranit,
Moj je pripraveny v podstate aj pred pol rokom krasne spolupracoval nicoho sa nebal drzal ukazal zuby neviem co sa zubar pakoval..zijeme vo fr a je to dobry zubar celkovo su tu dost schopni tak neviem precp zvolil takyto pristup. Maly je v skolke ukazkove dieta poslucha na slovo isto vydrzi co bude treba.naviac tu viac ako 20min zubar nerobi vzdy ked tak na viac stretnuti.tak dufam ze uz skusi s tym nieco urobit aj ked sa hrozne bojim ze to uz nevyvrta ze uz je to hlboke
A teda este dodam ze kamaratkinej dcere v bratislave v narkoze opravovali vsetky mliecne stolicky, vsetky boli pokazene. Predne uz nezachranili. Ale zachranili zubky aby mohla dalej fungovat kym bude mat trvaly chrup (jedenie, rozpravanie,...). A ano tiez cistilinstale zubky, aj na prehliadky chodili, prislo to nahle p, od prveho kazu po dobu ked sa pokazili zubky vsetky preslo naozaj malo casu....
@scopby25 no ono na tych fotkach je vidno odstup pol roka.ze sa to dost zhorsilo a ma stve ze sa to neriesilo vtedy ze som dala na jeho radu ze pockame.
@martina9999 v slabej narkoze by mu to vedeli urcite urobit, znama je zubarka a bezne ma 3rocnych pacientov s kazmi a robi to pod takym trosku oblbovakom
neda sa mi nepridat, kedze aj ja stale riesim zuby...mojej malej 4 r. robila zubarka, ktora nam bola odporucana...robila jej zubok takym spôsobom, ze prva navsteva ok, zoznamovacka, dalsia navsteva pri vrtani mala tak vrestala a kopala , az sa mi dogrcala, dalsia navsteva dopadla tak, ze ja som drzala ruky, tatino nohy a sestricka hlavu a zubarka vrtala, no mala aj tak vrestala, kopala a nedalo sa urobit nic, zmenila som zubarku, zaplatila som malej oblbovak, aj tak nepomohlo, vrestala, neobsedela, kopala a zaplatila som 80 eur za maly zubok, ktory aj tak pre nespolupracu dlho nevydrzal, plomba vypadla, ked som isla k mojej zubarke, vzdy som malu zobrala so sebou, aby videla co vsetko sa robi, co sa ako robi, ake nastroje sa pouzivaju...ako mamina lezi a v pohode vsetko zvladne, len aby bola mala OK, vzdy aj darcerk dostala, aj mi mohla fukat do ust vzduch, aj zubarke pomahala akoze cistit mi zuby a stirekat vodu na ne...len aby mala videla a pochopila, ze zubarka je dobra teta... po cca 2 mesiacoch, malu zacal zubok boliet, asi po troch dnoch som ju zobrala k mojej zubarke a mala sedela akoby som ju prilepila, ani necekla, bola rada, ze jej niekto pomoze, uz aj poznala zubarku, zubarka jej vsetko pekne vysvetlila, ukazala...odvtedy uz chodíme iba k mojej, boli sme este 2X a kontrola aj osetrenie prebehlo uplne v poriadku, veru, pristup zubarky a aj sympatie robia svoje, prva zubarka bola starsia pani a podla malej surova, druha bola aj na moj vkus velmi prisna a moja zubarka cca 38 rokov, ozaj prijemna kocka a hlavne velmi ludska
ak môžem, dám aj radu, čo nám veľmi pomohlo pri čistení...skús kúpiť farbiace tablety od curaproxu, sú fialové, balenie má tuším 8 alebo 10 ks, stojí do 5 eur, ja tabletku malej krájam na polovicu - na zafarbenie stačí, čiže jednu má na dva kráť, tabletku treba pocmúľať, je príjemná akoby čučoriedková chuť, starý povlak zafarbí zúbky na červeno a aktuálny povlak na fialovo, taktiež aj ústa aj sliny sú fialové a deti to baví, je to niečo iné...ako si čistia zúbky, farba ide pekne dole a aj ty vidíš pri kontrole, či sú zúbky dostatočne umyté, alebo ešte treba dočistiť, či už pri dasienku alebo stoličky...alebo niekde medzi...voľným okom všade povlak nevidíš, tabletky odhalia všetko...a čistenie je zábava
@misskate1 najprv pocmúľaš tabletku, kukneš do zrkadla a tešíš sa, že vidíš zafarbený povlak na zuboch, či už dnešný ( povlak fialový ) alebo dnešný aj včerajší ( červená aj fialová farba na zuboch ) - podľa farby vieš ako si si predtým umyla zuby a potom si klasicky umyješ zuby ako si umývaš stále, vypláchneš vodou a kuk do zrkadla a vidíš, ako si si umyla, ak sú biele, tak super, alebo ešte vidíš zostatok farby tak zober kefku a dočisti, je to dobrá pomôcka aj pre dospelákov, tiež zistia, či majú dobrú techniku umývania zubov
Mojej dcére cca v tom veku robili medzizubný kaz na stoličkách, zvládla to sama. Inak tvoj strach je oprávnený, kaz na mliečnych zuboch postupuje naozaj rýchlo. Ja by som sa orientovala na detských zubárov, pretože zubár môže byť akokoľvek skvelý, no keď to nevie s deťmi, či nemá potrebné vybavenie, môže mu spôsobiť traumu na celý život.
@martina9999 my sme v uk a mojej v narkoze asi dva zubky trhali a opravovali a potom jej aj davali korunky.
3 rocnej plombovali stolicku. Odvtedy jej to robili viac krat, tie “detske” plomby nie su take trvacne a na tych istyh miestach sa jej znovu robili kazy. Zmenili sme zubarky a ta jej robi uz trvacnejsie “dospelacke” plomby s injekciou. Stolicky musia vydrzat do 10 tich rokov asi, kym vyrastu trvale. Navyse sa od pokazeneho zuba mozu pokazit dalsie zuby. Ma 6 rokov teraz.
Malemu v 2,25 roku plombovali dve stolicky v sedacii. Dietatko sa oblbne sirupcekom, zabalili do deky a drzala som ho, sestricka drzala hlavu. Zakrok si vdaka sirupceku nepamata. Boli sme potom na preventivke a pekne si nechal pozriet zubky, vycistit rotacnou kefkou a vyplachol (2,5 rocny).
Ako som videla, ako sa im tie kazy zhorsuju rychlo, navyse, ani ked sa to zaplombuje, nie je to istota, ze mas pokoj navzdy. Starsej robili rentgen a pod starymi plombami ma kazy, takze ideme vymienat dalsie plomby za dospelacke.
My sme vyrazne museli zlepsit hygienu, kefka rovne stetinky je zaklad (nie prilis makka), jednozvazkova na docistenie okolo dasienok, medzizubna kefocka (uz aj malemu medzi stolickami), sablicka a starsia aj ustna voda. Potieram po vycisteni touto pastou.
Nove kazy sa im uz nerobia.
@maryetta ťažko pausalizovat. Ak zub boli, znamená to ze je už zapálený nerv. Treba ho najskôr vyliečiť. Pri nespolupracujucom dieťati je liečenie náročné, nie ze by sa nedalo, dá a vždy je lepšie popracovať na zachovaní zubov, ale ak je kaz príliš hlboký je lepšie vytrhnut. V dnešnej dobe je veľa možností. Dá sa nasadiť medzerník aby sa zuby neposuvali.
@marcelatje ano, preto sms zubarku menili, mne sa od zaciatku nieco proste nezdalo, ako to ma urobene a ze sa to kazi na tych istych zuboch. Zaroven urcite aj zalezi ako dieta spolupracuje, ci drzi otvorene usta ako ma, aby tam nebola vlhkost a tak...


Prilozim aj fotky jedna je pred pol rokom kde nas zubar odlozil ze aj rok pockame...a druha je aktualna.na tej dnesnej fotke v lavo sa mu jeden roh z tej stolocly uz ulomil.