Príspevky pre registrovaných používateľov sa ti nezobrazujú.
A od dnes ešte 100 dní a máme drobčeka tu !
Jééj ešte 112 dní ,dnes ladím s číslom nášho domu 🙂))
Ešte 130 dní ! 🙂
... ďalšia poradňa za mnou ,všetko v poriadku o dva týždne morfologický ultrazvuk ..
Dnešná konzultácia na genetike dopadla super ,na žiadne amnio ísť nemusím !!! ♥
..včerajšia poradňa v pohode ,výsledky PAPP-A 4,85 ,ešte ma čaká 26.7. jeden odber a potom na genetiku ...
..zajtra poradňa 🙂 ...
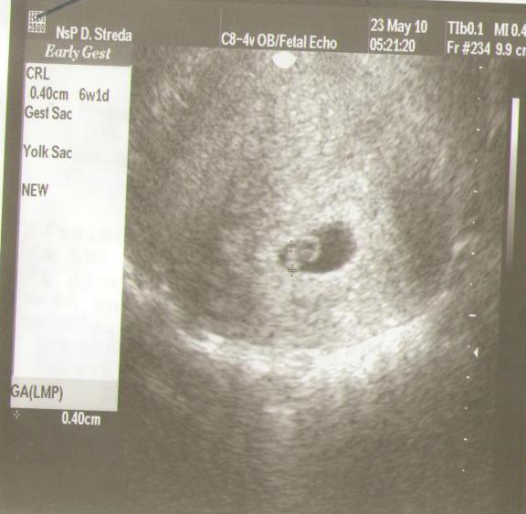
Dnes som bola na tom NT a všetko vyzerá v norme ,ešte to porovnajú s odberom krvi a potom to budem vedieť presne ...drobček rastie ,srdiečko bije ,hýbe sa jedna radosť ,tak sa teším ! 🙂
♥♥♥ BUDEME MAŤ CHLAPČEKA !!! ♥♥♥
Predošlá
Strana
z2
























































































