#schill #realne_pribehy
Nechajte sa inšpirovať našim pacientom Petrom. Radi budeme aj pri vašom príbehu! Výsledkom bude vaša spokojnosť a sebavedomie.
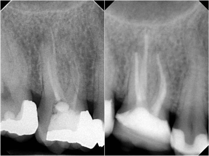
Dnes sa pozrieme na to, ako sa dajú vymeniť neestetické staré amalgány.
Príbeh: náš pacient Peter (34 rokov) k nám prišiel s tým, že nebol spokojný so starými, nevyhovujúcimi amalgánovými plombami. Najskôr sme staré amalgánové výplne odstránili. Pri práci používame tzv. kofferdam (modrá blana), aby sme zabezpečili úplnú izoláciu pracovného poľa (nejdú nám na ošetrované zuby sliny a do úst nejdú prípravky používané na ošetrovanie, čo chráni aj pacienta). Po vymenení 3 výplní sme na poslednom zube prerábali koreňovú výplň a nalepili keramickú onlaye výplň. Výsledok je maximálne estetický. Staráme sa o vaše zuby ako o vlastné. Môžete sa na nás spoľahnúť.
Info a objednávka termínu na tel. čísle +421 2 5464 7417.
#schill #poradna
Za akých podmienok sa implantáty neodporúčajú?
Vhodnosť implantátu posúdi špecialista - zubný chirurg. Všeobecne však nie sú vhodné pri chorobách, ktoré zhoršujú podmienky pre hojenie implantátov (cukrovka, nádorové choroby, paradontóza a iné) a u fajčiarov.
Aká je životnosť zubných implantátov? Preplatí tento úkon zdravotná poisťovňa?
Pri správnej starostlivosti o zubné implantáty a dobre odvedenej práci môžete rátať s ich doživotným používaním a aj preto sú zubné implantáty finančne náročnejšie. Dôležitá je správna starostlivosť a hygiena ako aj pravidelné profesionálne čistenie v ambulancii, raz za šesť mesiacov. Poisťovne tieto zákroky nepreplácajú.
#schill #tyzden_technologii
Na Schill Dental Clinic využívajú najmodernejšie technológie, tu nájdete články o všetkých:
https://www.modrykonik.sk/blog/tinka_14/article/diagnodent-o2j4cj/
https://www.modrykonik.sk/blog/tinka_14/article/mikroskop-mjau92/
https://www.modrykonik.sk/blog/tinka_14/article/ct-bdpe2n/
https://www.modrykonik.sk/blog/tinka_14/article/digitalny-zubny-rontgen-aaczjg/
https://www.modrykonik.sk/blog/tinka_14/article/healozone-tcqyx6/
https://www.modrykonik.sk/blog/tinka_14/article/laser-50o305/
https://www.modrykonik.sk/blog/tinka_14/article/laser-50o305/
https://www.modrykonik.sk/blog/tinka_14/article/cerec-526g5c/
#schill #mesacna_sutaz - Nezabudnite, že celý júl súťažíme o DENTÁLNU HYGIENA V HODNOTE 100 EUR SO SCHILL DENTAL CLINIC... Stačí sledovať skupinu Schill - starostlivosť o zuby https://i.modrykonik.sk/schill_skupina a táto cena môže byť na konci mesiaca vaša 🙂 Stačí sa zapájať do súťaží, komentovať, prispievať a najaktívnejší člen skupiny bude odmenený 🙂

DiagnoDent
DiagnoDent - prekoná aj oko odborníka
Dnes už mnoho ľudí rozumie tomu, že pravidelná stomatologická starostlivosť pod dohľadom kvalifikovaného zubára, prevencia a pravidelné prehliadky u zubára sú dôležité v komplexnej starostlivosti o zdravie a krásu. Pravidelnosť ale i moderné technológie sú kľúčovými v skorej diagnostike poškodenia zubov.
DIAGNOdent - najpresnejšia diagnostika.
S klasickými nástrojmi nie je spravidla možné vyšetriť napr. pukliny zubov atypického tvaru, preto diagnostiku dnes uľahčuje moderný laserový detektor. DIAGNOdent na odhalenie zmien v zubnej štruktúre využíva zdravotne nezávadný laser. Zaznamená ich, upozorní zvukovým signálom, a zobrazí na monitore. váš stomatológ môže lepšie a presnejšie identifikovať problém a potom následne už sa dá situácia riešiť.
Veľkou výhodou v diagnostike zubných kazov DIAGNOdentom je fakt, že pomocou laseru ich odhalí už v počiatočnom štádiu. Zistí to v zmenách vo fluorescencii zubnej štruktúry. Kaz pritom ešte nemusí byť viditeľný. Ľudské oko je schopné spozorovať iba 57 % z toho, čo zachytí DIAGNOdent.

Mikroskop
Vďaka mikroskopickej stomatológii sme o krok ďalej v precíznosti. Mikroskop umožňuje našim lekárom pracovať až s 26 násobným zväčšením a tým ošetrovať s mikroskopickou presnosťou.
Pre ešte presnejšie zákroky a úplnú kontrolu nad ošetrením sme v r. 2010 začali okrem zväčšovacích okuliarov používať aj špičkové stomatologické mikroskopy. Mikroskopická stomatológia je v súčasnosti moderným trendom v dentálnej medicíne a je zárukou vyššej kvality ošetrení.
Aké sú výhody ošetrenia pod mikroskopom pre pacienta?
- vykonaná práca vďaka presnosti vydrží dlhšie
- ošetríme aj tie najmenšie kazy, oprava malého kazu trvá kratšie
- máte istotu dokonalého ošetrenia
- dokážeme vidieť aj ťažko prístupné, inak nebadateľné oblasti a detaily
Kedy mikroskop používame?
Endodoncia
#schill #poradna
Čo sú implantáty?
Je to umelý koreň, ktorý sa umiestni do kosti a drží náhradný zub, alebo mostík. Vyzerá ako skrutka, ktorá sa môže použiť do hornej a dolnej čeľuste. Je vyrábaný z titania, alebo iných materiálov vhodných pre použitie v ľudskom tele. Implantáty sú fixované v kosti, aby poskytli stabilnú základňu pre jeden, alebo viac náhradných zubov nazývaných korunky alebo mostíky. Umožňujú lepšie žuvanie, artikuláciu a vzhľad. Na rozdiel od umelého chrupu, implantáty sú trvalo vsadené a netreba ich na noc vyberať.
#schill #poradna
Čo sa dá robiť s ulomenými, prasknutými alebo opotrebovanými zubmi v prednej časti chrupu?
Ulomené, prasknuté alebo opotrebované zuby je možné opraviť veľmi tenkými, špeciálne zhotovenými keramickými fasetami, ktoré sú na nerozoznanie od vlastného zuba. Druhou možnosťou je oprava pomocou bielej výplňovej živice. Pri rozsiahlejšom poškodení je možná oprava korunkou.

CT
CT - počítačová tomografia. Počítačovú tomografiu používame vtedy, keď je potrebné urobiť detailný trojrozmerný obrázok mäkkých tkanív ďasien a čeľuste (napr. pri navrhovaní optimálneho tvaru implantátov alebo mostíka).
Sme prvým zubným centrom, ktoré má prístroj CT k dispozícií.
Službu poskytujeme nie len našim pacientom, ale i jednorázovo, na požiadanie iného lekára. Naši pacienti za snímkom nemusia nikam chodiť, urobíme im ho priamo v našej ambulancii

Digitálny zubný röntgen
Digitálny zubný röntgen – Vidieť viac, vedieť viac.
Zubári v minulosti používali na röntgenové (RTG) snímky klasický film. Ich vyvolanie bolo prácne a časovo náročné. Problematická bola aj samotná manipulácia so snímkami. Digitálny zubný RTG znamená obrovskú výhodu - na snímok nečakáte - zobrazí sa už o pár sekúnd po nasnímaní na monitore, na ktorom ho možno zväčšovať, či farebne upravovať v prípade ak je potrebné zlepšiť viditeľnosť.
Digitálny systém šošoviek dovoľuje aj zväčšenie dôležitých detailov, čo klasický zubný röntgen neumožňuje. Poskytuje teda presnejšie a detailnejšie informácie pre stomatológa a to pri menšej radiácii. Pacient dostáva výsledný snímok ako výtlačok na filme alebo v elektronickej forme.
Digitálny zubný röntgen znižuje úroveň škodlivej radiácie na minimum v porovnaní s klasickými RTG, ktoré používajú film.
- Naše dentálne centrum poskytuje svoje röntgenologické služby pre širokú verejnosť. Aj pre tých, ktorí nie sú našimi stálymi klientmi.
- Našim pacientom poskytujeme vyhotovenie panoramatickej röntgenovej snímky štandardne ako súčasť vstupnej prehliadky. Získavame tak kompletný prehľad o stave zubov a tvrdých tkanív.
#schill #poradna
Čím možno presvedčiť pacienta, ktorý sa bojí bolesti? Existujú už aj bezbolestné postupy ošetrenia zubov?
V dnešnej dobe sú poznatky na takej vysokej úrovni, že je prakticky možné vykonať skoro každý stomatologický zákrok takmer bezbolestne. Na tento účel sa používajú najmä lokálne anestetiká, aplikované podľa charakteru zákroku sprejom alebo injekciou. Používanie kvalitných diamantových vrtákov znižuje bolestivosť zubov a skracuje dĺžku zákroku.
#afty #schill
Ak ide v skutočnosti o afty najväčší problém je to, že dodnes poriadne nevieme od čoho a prečo vznikajú. Najčastejšie spúšťače áft : diétna chyba, menštruácia, výkyvy v krvnom obraze, psychické napätie
Aby sa netvorili veľmi ovplyvniť nevieme. Treba skúsiť aj interné vyšetrenie hlavne diferenciálny krvný obraz. Môže pomôcť B-komplex každý deň, cmúľanie a vnútorné užitie Vitmínu C (treba kúpiť klasický najmenší Celaskon a tablety rozlámať na polky, lebo telo aj tak viac ako 40 mg naraz nepríjme, gramové tablety sú nezmysel). V období výsevu áft v ústnej dutine vie hojenie urýchliť Solcoseryl, ktorý sa však trochu tažšie v lekárňach zháňa. Aplikuje sa priamo na afty.
#anketa - Ktorú z uvedených technológií, kt. využíva Schill Dental Clinic by ste chceli vyskúšať a prečo? Odmena vo forme srdiečka za odpoveď istá emoticon
1. CEREC®
2. Implantáty
3. Laser
4. HealOzone
5. Digitálny zubný röntgen
6. DiagnoDent
7. CT
8. Mikroskop
#schill #mesacna_sutaz - Nezabudnite, že celý júl súťažíme o DENTÁLNU HYGIENA V HODNOTE 100 EUR SO SCHILL DENTAL CLINIC... Stačí sledovať skupinu Schill - starostlivosť o zuby https://i.modrykonik.sk/schill_skupina a táto cena môže byť na konci mesiaca vaša 🙂 Stačí sa zapájať do súťaží, komentovať, prispievať a najaktívnejší člen skupiny bude odmenený 🙂

HealOzone
HealOzone™ – Viac vzduchu, viac zdravia!
- HealOzone™ je prístroj, ktorý využíva ozón k prevencii, ale i pri samotných zákrokoch.
- Ozón pomáha likvidovať baktérie, ktoré spôsobujú rozpad zubov, ochorenie ďasien a pomáha odstraňovať nepríjemný zápach v ústach. http://www.tivocommunity.com/home/payday-loan-on-a-sunday
- Pri menších zubných kazoch je tak možné sa vyhnúť vŕtaniu, ktorým sa chtiac-nechtiac odstraňujú aj zdravé časti zubov.
- Ošetrenie systémom HealOzone je rýchle a bezbolestné.
- Procedúra trvá 25-40 sekúnd na jeden zub.
- Aplikácia ozónu systémom HealOzone™ vytvára optimálne podmienky pre obnovu zdravých tzv. antiacidových baktérií, ktoré sa prirodzene nachádzajú v našich ústach.
- Ošetrenie HealOzone pomáha predchádzať demineralizácii zubov.
- Ozón takto vlastne podporuje prirodzený „samočistiaci“ systém vo Vašich ústach. Ozón ničí sírové súčasti na bezzápachové a tým umožňuje čerstvejší dych. Pri pravidelnej aplikácií ozónu sa dosiahne zásadná redukcia znovuvytvárania zubného kazu.
#schill #poradna
Čo je možné robiť so starými alebo škaredými výplňami?
Ak je výplň v poriadku, stačí ju len vyleštiť a bude ako predtým. Nevyhovujúce zubné výplne môžu byť nahradené novými materiálmi vo farbe zubov ako je kompozitná výplň (biela zubná výplň) alebo porcelánová inlej. Porcelánové inleje sú najtrvácnejšie, esteticky aj funkčne. U väčších strát časti zubu je možné prekrytie celého zubu korunkou. Korunky sú potrebné u mŕtvych zubov, ktoré sú nimi aj chránené.
#schill #mesacna_sutaz - Nezabudnite, že celý júl súťažíme o DENTÁLNU HYGIENA V HODNOTE 100 EUR SO SCHILL DENTAL CLINIC... Stačí sledovať skupinu Schill - starostlivosť o zuby https://i.modrykonik.sk/schill_skupina a táto cena môže byť na konci mesiaca vaša 🙂 Stačí sa zapájať do súťaží, komentovať, prispievať a najaktívnejší člen skupiny bude odmenený 🙂

Laser
Ak váš zubný lekár používa najmodernejšiu technológiu, predstavuje to výhody pre obe strany. Zubárovi sa pracuje pohodlnejšie a pacientovi to prináša nižšiu bolestivosť a vyššiu kvalitu zákroku (vyššiu estetickú úroveň a vyššiu úspešnosť zákroku). Nástup laserovej technológie do zubnej medicíny znamenal veľký posun vpred. Takouto výhodou je aj tzv. diódová laserová terapia.
KaVo laser je kompaktný diódový laser určený pre veľké množstvo indikácií v orálnej chirurgii, endodoncii alebo pri podpornej liečbe v parodontológii. Je ideálny pre ľahšie zákroky predovšetkým v oblasti mäkkých tkanív v ústnej dutine a tých indikácií, pri ktorých je vhodné použiť laser s nižšou energiou.
Použitie KaVo lasera je pohodlné pre zubára a zabezpečuje vysokú presnosť zákroku v ústnej dutine (pretože laserová energia sa sústreďuje do jedného malého bodu). Jeho použitie predstavuje pre pacienta zníženie krvácavosti pri samotnom stomatologickom výkone, nízku pooperačnú bolestivosť, minimálny opuch a minimalizovanie jaziev. Zároveň diódový laser spôsobuje dekontamináciu ožiarených častí tkaniva a tak predstavuje efektívnu ochranu proti infekciám.
V Schill Dental Clinic používame najmodernejší druh KaVo lasera, ktorý má zvýšený výkon a preto redukuje dobu osvitu tkanív a tým skracuje čas samotnej procedúry. Po ošetrení moderným laserom sa tkanivá uzdravujú rýchlejšie a bez zbytočných komplikácií. Patentované sprejové chladenie vodou umožňuje redukciu tepelných účinkov a nižší pocit bolesti pacienta v priebehu ošetrenia aj po ňom.
KaVo laser poskytuje špičkovú kvalitu pre celý rad ošetrení – je indikovaný napr. pri hnisavých zápaloch, drenáži, drobných nádoroch v ústnej dutine, pri nezhubných nádoroch v ústnej dutine, fistulách, pri chirurgickom odstránení ďasna (gingivektómii), chirurgii mäkkých tkanív (gingivoplastike) a pri liečení herpesu. Účinne funguje aj pri liečení zápalov v okolí implantátov. Používa sa ako pomocný nástroj v parodontológii - samostatne a selektívne rozpozná nánosy zubného kameňa a pomocou vizuálnych a akustických signálov umožní ich úplné odstránenie aj z ťažko dostupných miest.
KaVo laser sa používa aj pri liečení mykóz, pri sterilizácii koreňového kanálika a to sme spomenuli len malú časť z možných indikácií. KaVo laser je pravdepodobne tým najmnohostrannejším nástrojom v ordinácii vášho zubného lekára. Používa sa aj pri kozmetických výkonoch – napr. pri bielení aktivuje bieliaci gél. KaVo laser umožňuje šetrné a účinné zákroky bez komplikovaného a zdĺhavého hojenia. Zmenšuje riziko pooperačných zápalov.
#schill #tyzden_technologii Tento týždeň by som vám rada priblížila moderné technológie, kt.. odborníci zo Schill Dental Clinic využívajú pri svojej každodennej práci - články o jednotlivých technologických vymoženostiach nájdete v mojom blogu 🙂
1. CEREC®
2. Implantáty
3. Laser
4. HealOzone
5. Digitálny zubný röntgen
6. DiagnoDent
7. CT
8. Mikroskop
#schill#mesacna_sutaz - Nezabudnite, že celý júl súťažíme o DENTÁLNU HYGIENA V HODNOTE 100 EUR SO SCHILL DENTAL CLINIC... Stačí sledovať skupinu Schill - starostlivosť o zuby https://i.modrykonik.sk/schill_skupina a táto cena môže byť na konci mesiaca vaša 🙂 Stačí sa zapájať do súťaží, komentovať, prispievať a najaktívnejší člen skupiny bude odmenený 🙂

Implantáty
Implantát je náhradou chýbajúceho koreňa zuba. Predstavuje trvalé, dokonalé funkčné a estetické riešenie. Používa sa vtedy, keď prišlo ku strate celého zubu. Implantát má životnosť niekoľko desiatok rokov.
Ako zistíme, či môžeme zaviesť implantát
CT snímok nám poskytuje 3D obraz kosti. Priamo na klinike klientovi urobíme bez čakania CT snímok a posúdime stav kosti a okolitého tkaniva.
Kedy môžeme implantát aplikovať
Ak je na mieste dostatok kosti, môžeme implantát zaviesť hneď. Pri dobrej kvalite kosti urobíme aj provizórnu korunku - takže klient odíde s novým zubom, ktorý nepôsobí ako náhrada.
Ak chýba kosť pre zavedenie implantátu, vykonáme prípravnú operáciu, kedy implantujeme kostný štep. Po jeho zhojení zavedieme implantát.
Zavádza sa v lokálnej anestézii. Na želanie klienta alebo pri náročných či početných zákrokoch môžeme poskytnúť celkovú anestéziu.
Z akého materiálu je implantát
Najčastejšie sa používajú titanové implantáty.
#schill #realne_pribehy
Nechajte sa inšpirovať našou pacientkou. Radi budeme aj pri vašom príbehu! Výsledkom bude vaša spokojnosť a sebavedomie.
Príbeh: dospelá pacientka (33rokov) k nám prišla s tým, že nebola spokojná s estetikou jej predných zubov. V detstve utrpela úraz zubov, ktoré zjavne odumreli a dlho sa to neriešilo. Po konzultácii a vyšetreni sme zistili že dva zuby vpravo hore (jednotka a dvojka) mali okolo koreňov zápalove nálezy. Korene sa ošetrili koreňovými výplňami a následne vnútorne vybielili. Zápaly sa hoja a estetika je prirodzená a super (wink) Staráme sa o vaše zuby ako o vlastné. Môžete sa na nás spoľahnúť.
Info a objednávka termínu na tel. čísle +421 2 5464 7417
#schill #technologie Digital Smile Design v praxi:
http://www.schill.sk/digital-smile-design
#schill #technologie
DiagnoDent
DiagnoDent - prekoná aj oko odborníka
Dnes už mnoho ľudí rozumie tomu, že pravidelná stomatologická starostlivosť pod dohľadom kvalifikovaného zubára, prevencia a pravidelné prehliadky u zubára sú dôležité v komplexnej starostlivosti o zdravie a krásu. Pravidelnosť ale i moderné technológie sú kľúčovými v skorej diagnostike poškodenia zubov.
DIAGNOdent - najpresnejšia diagnostika.
S klasickými nástrojmi nie je spravidla možné vyšetriť napr. pukliny zubov atypického tvaru, preto diagnostiku dnes uľahčuje moderný laserový detektor. DIAGNOdent na odhalenie zmien v zubnej štruktúre využíva zdravotne nezávadný laser. Zaznamená ich, upozorní zvukovým signálom, a zobrazí na monitore. váš stomatológ môže lepšie a presnejšie identifikovať problém a potom následne už sa dá situácia riešiť.
Veľkou výhodou v diagnostike zubných kazov DIAGNOdentom je fakt, že pomocou laseru ich odhalí už v počiatočnom štádiu. Zistí to v zmenách vo fluorescencii zubnej štruktúry. Kaz pritom ešte nemusí byť viditeľný. Ľudské oko je schopné spozorovať iba 57 % z toho, čo zachytí DIAGNOdent.
Ochorenia ďasien od gingivitídy k parodontitíde
Význam starostlivosti o zuby a ústnu dutinu je nám vštepovaný už od raného detstva. Už ako malé deti sme poučovaní o zubnom kaze a jeho vzniku. Dutina ústna však neznamená iba chrup, ale aj ostatné súčasti, medzi ktoré patria okrem iného aj naše ďasná. A pretože zdravie ďasien a chrupu je úzko previazané, zasluhuje ich zdravotný stav nemenšiu pozornosť a starostlivosť.
Všeobecný pojem pre ochorenie ďasien – Parodontopatia -zahŕňa širokú skupinu postihnutia tkanív závesného aparátu chrupu (parodontu). Tento zdravotný problém postihuje v rôznych formách drvivú väčšinu populácie, a to od ľahkých zápalov ďasien až po ťažkú parodontitídu. V zásade možno tieto postihnutia rozdeliť na nezápalové a zápalové ochorenia ďasien. K nezápalovými ochorením ďasien patria také postihnutia, v ktorých oproti ostatným prípadom nesúvisí poškodenie parodontu s pôsobením zubného povlaku (viď. nižšie). Do tejto skupiny môžeme radiť najrôznejšie poškodenia mechanického či chemického charakteru, vplyvmi hormonálnych zmien, užívaných liekov, či zmeny v dôsledku priebehu iných ochorení. V popredí nášho záujmu bude však stáť najmä skupina zápalových paradontopatií a to v prvom rade menovite tzv gingivitída, ktorá postihuje až 80 % populácie. Zuby sú uchytené v kosti čeľuste pomocou závesného aparátu - parodontu (ozubice). Ten je tvorený úponom ďasna (gingiva) na krčok, povrchom koreňa zuba, povrchom kosti zubného lôžka a väzmi, ktoré spájajú zubný cement s kosťou.
GINGIVITÍDA – ZÁPAL ĎASIEN
Gingivitída predstavuje jedno z najčastejších ľudských ochorení. Výrazne prevažujúcou formou je tzv. povlakom indukovaná gingivitída. Zápal ďasien vyvolaný inou príčinou sa vyskytuje výrazne menej často napríklad na základe niektorých bakteriálnych, vírusových či kvasinkových infekcií (syfilis, kvapavka, HIV, herpes), v závislosti na alergiách, a i. Ak sa zameriame na stredoeurópsku oblasť, môžeme až u 90 % obyvateľov zistiť výskyt chronickej povlakom indukovanej gingivitídy, ktorú možno tak právom označiť za najčastejšie sa vyskytujúci zápal ľudského tela.
CHRONICKÁ POVLAKOM INDUKOVANÁ GINGIVITÍDA
Vyššie už bolo naznačené, že za rozvojom zápalov ďasien stojí najmä pôsobenie zubného povlaku - mäkkého povlaku uchytávajúceho sa na zuboch a ďasnách.
#schill #poradna
Čo je gingivitída?
Je to zápal ďasien. Často býva vyvolaný plakom (bledožltým zubným povlakom, ktorý je tvorený baktériami) alebo zubným kameňom (tvrdší zvápenatený povrch na zuboch). Baktérie uvoľňujú toxické látky, ktoré dráždia ďasná. Tie sa stávajú citlivé až bolestivé a napuchnuté, zapálené (červené) a náchylné ku krvácaniu. Jedinou prevenciou je správna a pravidelná hygiena. Ak zistíte akýkoľvek príznak gingivitídy, je potrebné navštíviť zubného lekára. V prípade zanedbania varovných príznakov tento proces postupuje hlbšie. Postupne vedie ku kývaniu zubov až k ich strate. Tomuto stavu hovoríme parodontitída.
#schill #mesacna_sutaz - Nezabudnite, že celý júl súťažíme o DENTÁLNU HYGIENA V HODNOTE 100 EUR SO SCHILL DENTAL CLINIC... Stačí sledovať skupinu Schill - starostlivosť o zuby https://i.modrykonik.sk/schill_skupina a táto cena môže byť na konci mesiaca vaša 🙂 Stačí sa zapájať do súťaží, komentovať, prispievať a najaktívnejší člen skupiny bude odmenený 🙂
#schill #poradna
Kedy by mali deti prísť na prvú zubnú prehliadku?
Dieťa by prvýkrát do zubnej ambulancie malo prísť len na pohovor, nie vtedy, keď sa už o slovo hlási bolesť. Je to približne v čase, keď má všetky dočasné zuby (20 zubov) už prerezané. Ak má však rodič pochybnosti alebo otázky, je dobré prísť čo najskôr. Naši odborníci naučia deti a rodičov správnu techniku čistenia zubov a prediskutujú s nimi správnu výživu na podporu dentálneho zdravia. Deti sa pokúsime získať “na svoju stranu”, aby chodili do zubnej ambulancie radi a bez strachu. Každé dieťa dostane aj pri opakovanej návšteve malú pozornosť.
#schill #mesacna _sutaz - Nezabudnite, že celý júl súťažíme o DENTÁLNU HYGIENA V HODNOTE 100 EUR SO SCHILL DENTAL CLINIC... Stačí sledovať skupinu Schill - starostlivosť o zuby https://i.modrykonik.sk/schill_skupina a táto cena môže byť na konci mesiaca vaša emoticon Stačí sa zapájať do súťaží, komentovať, prispievať a najaktívnejší člen skupiny bude odmenený emoticon
























