#schill #realne_pribehy
Nechajte sa inšpirovať našou pacientkou. Radi budeme aj pri vašom príbehu! Výsledkom bude vaša spokojnosť a sebavedomie.
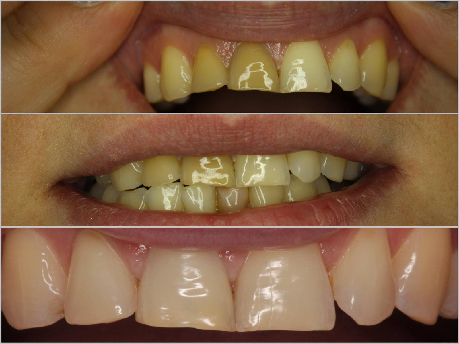
Príbeh: dospelá pacientka (33rokov) k nám prišla s tým, že nebola spokojná s estetikou jej predných zubov. V detstve utrpela úraz zubov, ktoré zjavne odumreli a dlho sa to neriešilo. Po konzultácii a vyšetreni sme zistili že dva zuby vpravo hore (jednotka a dvojka) mali okolo koreňov zápalove nálezy. Korene sa ošetrili koreňovými výplňami a následne vnútorne vybielili. Zápaly sa hoja a estetika je prirodzená a super (wink) Staráme sa o vaše zuby ako o vlastné. Môžete sa na nás spoľahnúť.
Info a objednávka termínu na tel. čísle +421 2 5464 7417
