Neurofibromatóza u trojročnej
Ahojte, u mojej skoro 3 ročnej dcérky majú podozrenie práve na túto chorobu ☹ a v nasledujúcich dňoch budeme hospitalizované v nemocnici aby jej urobili vyšetrenia . Je tu niekto, kto absolvoval takéto vyšetrenia s malým dieťaťom? čo presne jej tam budú robiť? a kedy sa vlastne dozvieme výsledky? viem, že sa to posiela na genetiku a na výsledky sa bude čakať skoro dva roky /ak si to neuhradíme zo svojho, na čo momentálne nemáme/. Akým iným spôsobom sa dá zistiť, že ide práve o túto chorobu? ...ach tak veľmi sa bojím 😢 😢 😢
@janina9410 Ahoj, dakujem za odpoved. A Mas tu dg. nejako potvrdenu, alebo je to iba dohad. Na druhej strane pises, ze ta iba pozoruju, takze to asi aj tak nema nejaky zmysel mat to na papieri potvrdene. Pri detskych pacientoch sa spomina nejaka chemo, tak som si myslel, ze keby som to mal oficialne potvrdene, tak by ju mahli dat aj mne. Ja som sice odporca chema, ale keby fungovala, tak pri mnozstve tych nadorov, ktore uz v mozgu mam, by to bolo mozno lepsie ako ozarovanie. Oziarili mi zatial iba tri, no uz sa mi zacali lamat kosti. No z troch oziarenych nadorov sa podla poslednej MRI jeden zvacsil, jeden zmensil a jeden je rovnaky. Nadory su ale neoperovatelne, takze nevedia presne o ake nadory ide, a preto nie je nejaka chemo, ktoru by mi mohli dat.
Mám to potvrdené od 17roku...kozna lekarka ma pozoruje každý rok..nedávno som bola na neurologii, ale zatiaľ nič moc a mám chodievat na očné...o tom čo pises som nepočula, ale počula som že v USa je na to liečba, ale je drahá a v rakúsku vraj experimentalna...nuž ale nemôžem sa dopracovať, kde by som zistila viac info..zrejme ta aj bolieva hlava...a na začiatok skus vyradiť mlieko, vraj to tejto chorobe neprospieva
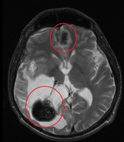
@janina9410 Tak som si to lepsie precital a zistil som, ze ta chemo sa dava pri gliome optickeho nervu. Ja mam tie nadory po celom mozgu a jeden na sluchovom nerve, takze mna sa to netyka. Ja na kozne nechodim a nikdy som ani nechodil. Z tych spominanych priznakov nemam vlastne ziadne okrem tych nadorov. Vsetky ostatne neurologicke problemy su nasledkom operacie a ozarovania, pred operáciou som bol mlady stastny chalan. Po operacii mi ochrnula lava polovica tela a trvalo velmi dlho kym som to neustalou rehabilitáciou ako-tak rozchodil. No aj tak mi zostal ochrnuty clenok, zhorsena jemna motorika, absencia periferneho videnia, zhorseny sluch. Po oziareni tretieho nadoru sa mi zacali lamat kosti a mam zosrobovany bedrovy klb. Ja som si myslel, ze je to nasledok ozarovania, no dr. povedala, ze to byva následok liekov, ktore sa po ozarovani beru. Ja som to vzdy bral tak, ze primarny nador je ten prvy a tie ostatne su matastazy. Iba predvcerom jedna lekarka poznamenala, ze tie nadory by mohli byt pricinou nejakej inej choroby a spomenila prave NF. Tu mozes vidiet dva moje najvacsie nadory a biele miesto je diera po operacii.
@alias007 fuha..to mi je ľúto...niekedy je asi lepšie, keď clovek nevie, že niečo má..a ešte mi pripadá, akoby niektori lekári mali z pacientov pokusných kralikov
@alias007 ahoj, moja dcerka ma tuto diagnozu tiez geneticky potvrdenu a odvtedy som si nacitala vsetko mozne dostupne k tomu. Pri NF je rozdiel medzi typom 1 a 2, NF1 sa prejavuje vacsinou uz v detstve alebo v puberte a typicke su pigmentove skvrnky na tele a neskor rozne kozne utvary. Naproti tomu NF2, ktora je zriedkavejsia, sa prejavuje vacsinou okolo 30tky a su pre nu typicke mozgove nadoby bez koznych problemov. Preto si myslim, ze ked si doteraz nemal ziadne ine problemy, skor mi tvoj pripad sedi na NF2, ktory sa v tejto diskusii asi ani neriesil. Na instagrame je viacero uctov ludi z USA a Australie, ktori maju tento typ NF, skus ich pohladat a dozvies sa kopec uzitocnych info. Liecba zatial nie je ani pre jeden typ NF, na Harvarde ale minuly rok predstavili prelomovu formu genovej terapie, ktora je zatial v stadiu skumania na ludskych bunkach a zvieratach, ci nema nejake neziaduce vedlajsie ucinky. Tato forma genovej terapie je schopna "opravit" bodovu genovu mutaciu pri roznych genetickych ochoreniach a v pripade ze sa nezisti ziadny neziaduci efekt mala by byt podla vyjadrenia mojho kamarata genetika posobiaceho v USA do niekolkych rokov dostupna aj pre pacientov s NF, ak ich diagnoza je zalozena na bodovej mutacii, nie na miktodelacii casti alebo celeho genu.
@janina9410 Zial, doba je taka, ze ak clovek chce prezit, musi sa o seba starat sam. Mnohi z lekarov prejdu studiom iba vdaka tahakom a uplatkom a svoju nevedomost si potom testuju na ludoch. Spoliehaju sa na to, ze vacsina ludi iba bez reci poslucha. Ja sam mam cerveny diplom z ekonomie, tak viem ako to na VS chodi. Ked mi zistili nador v centre myslenia, este sa mi dr. "smial", ze asi som to prehanal s ucenim. Ja som mal vzdy same jednotky a vzdy som bol o krok vpred pred spoluziakmi. Dalsi fakt, ktory nezapada do definicie NF. Na zaciatku som si zistoval nejake veci ohladom NF, no ked som zistil, ze liek neexistuje a liecba spociva iba v eliminacii priznakov, nechal som to tak. Ja uz od 15 "zijem" na onkologii, tak keby ste potrebovali poradit v tejto oblasti, tam som ako doma. Na pravidelne kontroly chodim tam, na neurologiu a odkedy sa mi zlomila noha aj na ortopediu. Lekari nikdy neriesili, preco mam tych nadorov tolko. O NF mozno ani nepoculi, no ak aj poculi, kedze nemam nijake priznaky, tak si nemyslia, ze by to mohol byt moj pripad. Prvy nador ciastocne vybrali a podla rozboru to bolo nieco medzi zhubnym a nezhubnym. Vtedy povedali, ze ci to bol zhubny alebo nezhubny sauvidi podla toho, ci sa mi to vrati alebo nie. Vraj ak sa mi to nevrati, tak bol nezhubny. No vratilo sa to. Kedze sa to neda operovat, teraz pisu ako dg. nador neznameho alebo neurciteho spravania blizsie neurceny.
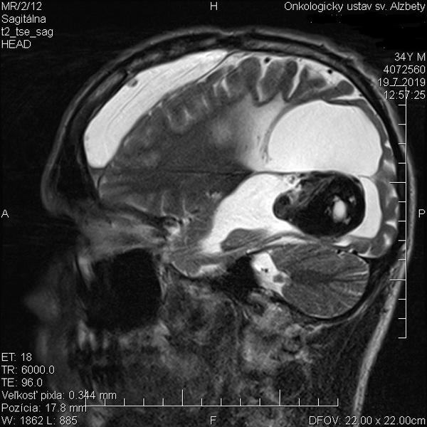
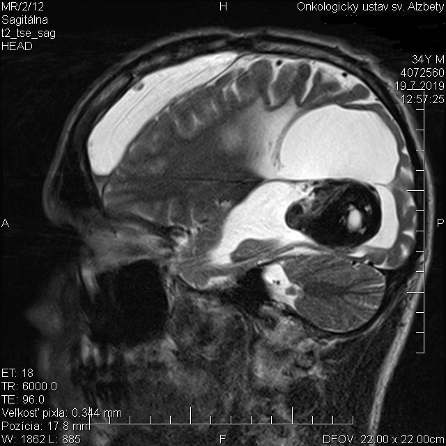
@janina9410 Nemusis hovorit nic. Ved vidis, ze je to vsade okolo nas. Zijeme v jednom nedokonalom svete. Je to nieco strasne, ja sa uz nemozem pozerat na to utrpenie. Keby som mohol, tak by som vsetkych vyliecil. Vzdy hovorim, ze zdravie by malo byt pre vsetkych rovnake, vsetko ostatne uz je na nas. ci je uz niekto milionar alebo bezdomovec. Co sa tyka lekarov, tak z teba mam pocit, ze ty sa ich nebojis a chapes, ze su to obycajni ludia. Ja mam s nimi tolko skusenosti, ze by som mohol napisat knihu. Od oktobra som zaval odpadavat a uz 2x ma v bezvedomi viezla RZP z ulice. Bol som teda za onkológom, ze asi sa nieco deje, tak by mi mali urobit MRI skor a necakat az do jula, kedy mam termin. On mi povedal, ze kym nezvraciam a nevidim dvojmo, tak netreba. Ja som vlastne kontaktoval vsetky popredne kliniky na SK aj v CZ, no vsade mi povedali, ze im je luto, no uz mi nevedia pomoct. Aj ked jedni argumentovali mnozstvom nadorov, druhi zasa pooperacnou dierou, ktora sa po operacii vytvorila a zaliala mozgovym mokom. Vraj, keby to otvorili, tak tekutina by sa vyliala, diera by sa zosypala a mna by to zabilo. Takto to vyzera z boku. Ten nador je zostatok z operacie a biely flak na cele je hematom, ktory sa tiez zvacsuje.
@alias007 pekne napísané..praveze sa už doktorov bojím, čo mi povedia ako ma zas "odfajčia"...máš to ťažké veru, ale v 21storočí aby sa niečo nedalo..bože
Ahoj, prosim neviete, ktora poistovna kryje naklady pri tomto ochoreni? Napriklad na lkecbu v zahranicj. Dakujem pekne
@ciernysokol nechapem celkom ako to myslis. Liecba zatial nie je dostupna ani v zahranici takze tazko sa vyjadrit ktora poistovna ju hradi 🤷♀️
@cica_mica aha. Lebo som sa docitala, ze napr. V usa liecba existuje. Tak neviem teraz.
@ciernysokol nie zatial neexistuje. Skusa sa v USA teraz jeden liek s nazvom selumetinib, ktory ma preukazatelne pozitivne ucinky a zmensuje tzv. plexiformne neurofibromy ktore sa vytvaraju u niektorych pacientov, ale nie je to ziadna oficialna liecba ktora by riesila nejak komplexne pricinu ochorenia. Tu bude mozne riesit jedine genovou terapiou, ktora je aktualne v stadiu vyvoja ale urcite si na nu budeme musiet este par rokov pockat a snad sa pri nej nezistia nejake neziaduce ucinky ako pri predchadzajucej verzii, ktora sice opravila chybu v gene ale svojvolne pokazila iny gen. Tak dufajme ze tento pokus bude uspesnejsi 🙏
@cica_mica dakujem za odpoved. Narazala som na diskusie spred 8 rokov, kde vraveli, ze liecit sa chodi do usa aj do nemecka. Vraveli o lieku, ktory brzdi tvorbu vyrastkov aj tumorov.
No vidíš a bohužiaľ doteraz nieje nič nové. Všetci čakáme že sa niečo nájde, veríme, ale je to na dlhé testovania.
Ahojte, bohužiaľ vzhľadom na COVID zo stretnutia zatiaľ v dohľadnej dobe nič nebude. Skúsim nejaké nové údaje zistiť emailom od MUDr. Mišúnovej čo je aktuálne v liečbe.
Ale je niekto teraz priamo v nemocnici na Kramároch s dieťaťom resp. berie teraz niekto chemoterapiu? Hodili by sa aktualizované údaje, či sa stále dodržiava ten istý 81 týždňový protokol liečby, ako to tam teraz prebieha a podobne.
Ja viem, ale netuším ako to je na každom oddelení. Teraz sme mali ísť na kontrolu s iným problémom na Kramáre, všetko sme ale radšej vyriešili bez návštevy len cez telefón a lieky sme dostali na ďalší mesiac. MRI, CT vraj fungujú ale v obmedzenom systéme.
@peto75 my sme mali v stredu mri formou dennej kliniky... Po MRI nás pustili domov. Pokračujeme v liečbe. Sú tam veľmi prísne opatrenia. Na MRI ci na ct sa púšťa iba dieťa a rodič.. Zvoní sa na zvonček... Co sa týka hospitalizácie.. 2 dni pred hospitalizáciu sú testy na covid.. Keď bude negatívny, hospitalizuju rodič plus dieťa.. Chodí sa len v rúškach (samozrejme aj v oblečení)
@cica_mica akútne riešia... Ale pokiaľ nemusia, pacienta nehospitalizuju..my sme mali v utorok mri... A boli sme formou dennej kliniky. Po MRI nás. Pustili domov
@gulkabombulkova dakujem pekne za info. A okrem toho MRI nic ine s vami neriesili? Ja som myslela ze sa budu konat aj ine vysetrenia, kedze doteraz sme ziadne neabsolvovali a bolo mi povedane ze sa to.zvykne riesit komplexne prave pocas tej hospitalizacie 🤷♀️
@cica_mica my sme mali všetko hotové. A mali sme len kontrolu myslím po 24 týždňoch v liečbe.
Výsledky sme mali z decembra a tie im stačili..




@alias007 ja som dospelý pacient...no a liečenie nič moc..iba ma pozorujú