Čo znamená čierny flak na röntgenovom snímku?
22. máj 2025
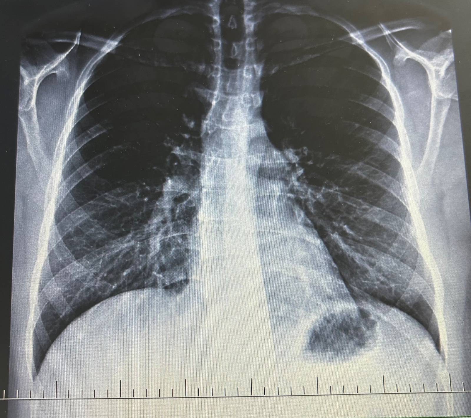
Dobry deň, chcem sa spytat je tu niekto kto sa stretol z ciernym dobre ohranicenym flakom na rtg snimke a vyzna sa do rtg snimky? čo to znamena može to byt nadorove? lebo plucny lekar napisal do spravy že bez nalezu ale njaky nalez tam predsa je podla snimku
@taktotedanie
@dienes22 ano vzduchova bublina
Na co si vytvaras zbytocne stresy.
@taktotedanie ja som vzdy stressman
@dienes22
@taktotedanie ja som vzdy stressman
@dienes22 ale lekar ti popisal rtg takze naozaj toto bolo zbytocne
Keby to bol nádor tak to by bol naozaj slepý radiológ, keby napíše že bez nálezu 🙈


Nador bude biely, cierny je vzduch, tazko povedat, co si videla