Kto vie zhodnotiť tento zubný RTG?
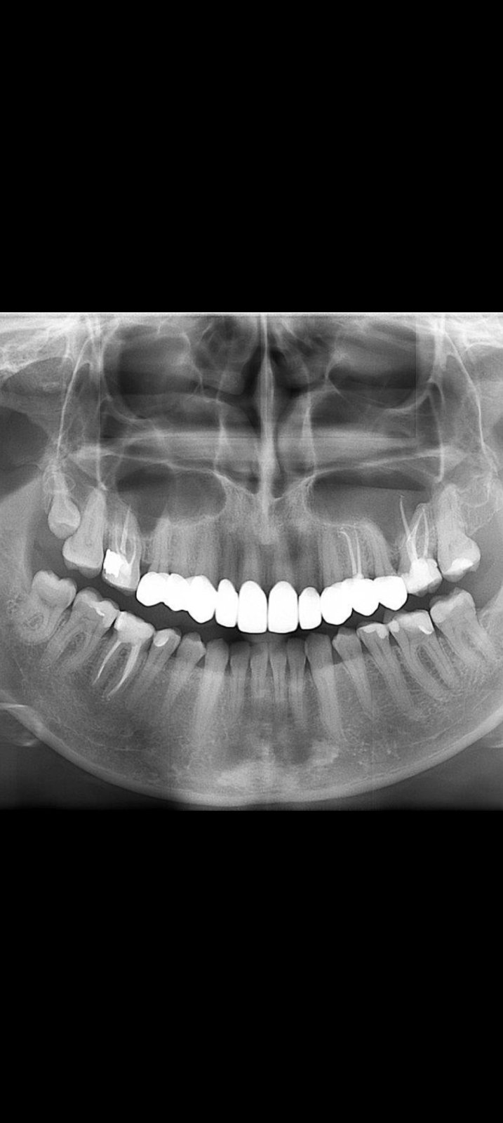
@abx lepšie, z vášho pohľadu ako keď sa pozeráte na rtg, hore vľavo začnem osmička von, vyzerá ze robí pro lem sedmicke alebo začne lebo už na tej sedmičke zozadu vyzerá ze sa začína robiť kaz lebo sa to zle čistí, šestka ten mŕtvy zub na tej strane nemá doplnené kanaliky podľa tohto ale nevyzerá zápal a keď nerobí problém je to v poriadku, trebalo by rtg len na ňu ale nevyzerá, na druhej strane hore sedmička ma asi kaz smerom k šestke, dole na tej istej strane tiež sedmička vyzerá na kaz smerom k šestke, päťka na tej strane tiež, na opačnej strane tiež päťka a aj šestka a osmička vyzerá ze ma kaz. Na to by ale lepšie bolo spraviť zahryzove snímky, lebo to môže byť len tieň a na hodnotenie kazov sú lepšie. Mostík vyzerá dobre. Zvyšné mŕtve zuby tiež sú pekne zaplnené a nevyzerá ze by bol okolo nich zápal. Ak sa doplnia tie rtg a budú v poriadku je to super. Na pár miestach vyzerá byt kameň ale dentalna hygiena to spraví. Ak ešte nebola



Nedá sa zväčšiť ak by bol v komentári šiel by ale čo vidím tak ta osmička hore moze ostat ak nerobí problém, na opačnej strane šestka ma okraj okolo korenou tmavší ale to sa ťažko pozera na tak malom na väčšom by bolo lepšie vidno, môže to byť len tien, dole na tej strane rtg je to strana pravá, na šestke tiež niečo vyzerá ale nie je to 100%, na druhej strane šestka vyzera ze ma zápal okolo koreňov, sedmička ma asi kaz a osmička ak nerobí problém nechať tak. Trebalo by zahryzove snímky a na tie mŕtve aj rtg kde je celý zub aby sa to pozrelo. Mostík vyzerá fajn podľa tohto len ako je ten mŕtvy by to chcelo lepší rtg
Ale naozaj je mala ta fotka a tým ze sa nedá zväčšiť sa to aj ťažšie posudzuje