Neznáma bolestivá vec v ústach
12. apr 2022
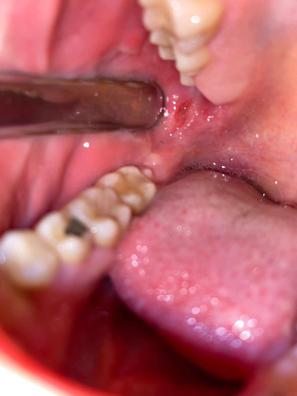
Ahojte prosím o radu o čo by mohlo ísť? Už asi 3 dni mám v ústach takúto vec a zhoršuje sa to a strašne to boli nemôžem prehĺtať jesť piť proste nič. Najskôr to začalo iba bolesťou pri prehĺtaní potom som čítala akoby mi zub rezal kozu osmičku mám vonku už niekoľko rokov no on včera som spravila takáto diera a zväčšuje sa mohla sa nejak pohnúť osmička a takto mi tam rezať líce alebo je to afta alebo moze ísť aj o niečo vážnejšie. Za všetky rady ďakujem.


To je afta. Mam takú "dieru" na jazyku a teda nič moc.