Sú zirkónové korunky v odtieni B2 príliš žlté?
Ahojte dávam si robiť zirkonove korunky mostík, ale neviem ci som sa dobre rozhodla pre farbu odtien B2 ,nebudú moc žlté?
Chcela som prirodzene.
Ďakujem
ja mam bielene zuby a odtien A2, ale to som bola priamo u technika, kde mi merali nejakym pristrojom farbu zubov
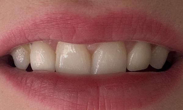
@monika77kol podľa mňa sú. Mňa nahovárajú na B2 lebo som si dávala robiť 4 predné zuby. Sú o čosi belšie ako moje zuby ale vôbec to nie je vidieť. Keď sa ismejem aj tak vidno hlavne tie predné zuby a pôsobia belšie 😅 Dala som si B1
Určite keď si dávaš mostík zvoľ B1. Ja som si dávala len tie 4 predné a vôbec to nevadilo, že ostatné sú o kúsok viac žlté lebo mám "výhodu", že mám moje zuby malinké a tie ostatné pri úsmeve nie sú skoro vidieť 😅
farbu zubov si nevolis ako ty chces, dorabaju sa podla farby ostatnych zubov vies si predstavit v ustat 1)3 krasne vybielenych zirkonovych + 2/3 svojich prirodzenych (zltkastych)????
@kacena4 ja to tak mám a vôbec to nie je vidieť. Očné zuby má každý aj tak o čosi viac žlté ako ostatné. Mne to chceli robiť podľa očných pričom je to hlúposť lebo tie má človek najviac žlté. A ostatné mám belšie. Takže by som mala predné zuby žltkaste B2 pritom moje zuby sú vo farbe medzi B1 a B2.. Nemôžeš sa riadiť len nejakými pravidlami, ale pozerať ako to vyzerá v praxi. Ale asi nemáš skúsenosť s korunkami
@kacena4 inak odtieň B1 nie su biele zuby aké si ty predstavuješ. To je belasty odtieň z tej prirodzenej palety. Od toho sú ešte belšie A 1, stále z tých prirodzených. Potom je paleta tých extra bielych odtieňov
Autorka, pokiaľ si podobný prípad ako ja odporúčam B1. Predpokladám, že nemáš svoje zuby žlté, keď uvazujes nad B1. Ja som mala svoje zuby, ktoré som si dala zbrusit niečo medzi B1 a B2. Chceli mi dať B2 kvôli ocnakom, ale určite som si nechcela dávať korunky viac žlté ako boli moje pôvodne zuby. Môj problém bol, že boli krivé.




Ako ti na toto odpovieme? Veď treba vidieť ostatné zuby a podľa nich prisposobit farbu.