Kto sa snaží o bábo od marca 2012?
tentomesiac nam to nevyslo dufam sa to co najskor podari 🙂
@renitri Ahoj!Tak ja som testovala pred 2dňami a nič neukázal,takže skôr ako na Silvestra netestujem. A možno aj prídu do vtedy,Ale zato prsia mi dajú zabrať,tak snáď to vyšlo hoc si veľké nádeje nedávam,vieš ovulku som mala presne 15.12.tak iste preto neukazujú ešte testy keďže až 15dní od ovulky najskôr ukazujú čiže sná´d už 31.12.ukážu alebo možno aj ms príde 30.12.Najpozdejšie podľa minulomesačného meškania by mala ms doraziť najneskôr 10.1.
Ale tak radšej sa snažím nemyslieť na bábo,aby to prišlo samé bez sklamania ak by sa predca nepodarilo teraz,verím,že budúci rok donesie miminko a že ešte v roku 2013 budeme sláviť Vianoce už 4 😉
Som rada,že Ti je fajn 🙂A budeš pracovať až do ma´terskej alebo aj po pôrode po 6mesiacoch?
@horseshoe Ahoj!
No a potom sa nečuduj ako budú očami gúľať,keď po pôrode budeš mať bruško preč a bábo väčšie než tá druhá tehulka vo vašej rodine🙂To tak býva,malé bruško,lebo len bábo priberá a nie maminka a tá druhá tehulka bude bucľoška po pôrode a drobučké miminko bude mať.A ver že je lepšie mať malé bruško ako po pôrode mať nazvyš kg🙂Píšem zo svojej skúsenosti🙂Užívaj si a neber si na srdce čo Ti vravia v rodine🙂
@franica No sme lyziari 🙂 Ale ideme iba na jeden den v nedelu so skibusom z Nitry, takze sa pekne nadychame horskeho vzduchu a doma vyuzijeme 🙂 Este sa mozem aj opit na silvestra posledny krat, lebo potom uz budem tehulka a nebudem moct 🙂
Takze uz aj ty zazivas pomaly nevolnosti? vidis, tak je vsetko ako ma byt 🙂 uz aby bolo toho 7.1 a ukazes nam prvu fotecku zo sona 🙂
ahojte konicky 🙂
a mame po vianociach 😅 ale este sviatkujeme, sice ja v posteli sviatkujem uz dva mesiace, ale teraz je aspon veeela rozpravok 😀
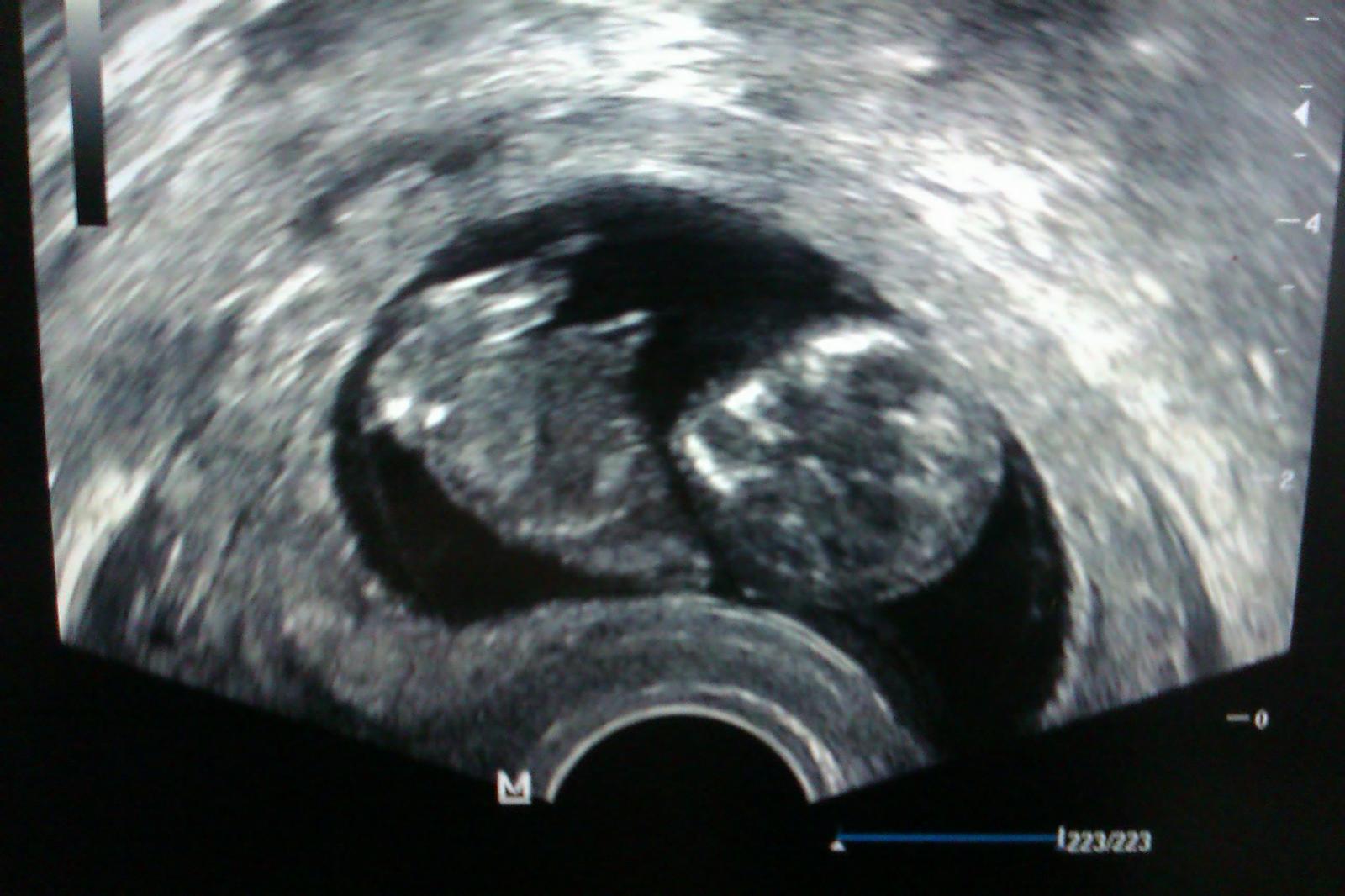
vcera sme boli kuknut babko na sone, si tancovalo jak keby nacvicovalo kreacie na silvestrovsku zabavu, asi nevie, ze budeme spat 🙂 uz ma 6,8cm a meranie NT dopadlo super, iba 1,1cm 😵 a uz aj bublinka ma krajsi tvar 😉
@zora256 nehovorila si nahodou, ze skor ako po 10 dnovom meskani netestujes? 😀 ze sa to neda vydrzat? 😉 😀 drzim palce na silvestra, vtedy mam narodky, tak si prosim darcek v podobe dvojpalickovej fotecky 😉
@franica tak uz prichadzaju nevolnosti? 😅 snad ich budes zvladat predychavat 😉 ja nemozem moc vyhladnut, potom ma uz pred misou nezachrani nic 😅
drobca07 vsetko najlepsie a najkrajsie k meninkam, mate krasny prirastok do rodinky 😵
@janka9900 no ako som aj babám písala, iba veľmi jemné nevoľnosti sú to zatiaľ, ale už cítiť,akurát teraz som sa zobudila 😵 Mňa už ten hlad nechytá, predtým ako som bola každé 2 hod. hladná, ale to sa tiež ešete môže vrátiť 🙂
wooow vám fazuľka dobre rýchlo rastie! Skoro 7 cm....nestíham sa čudovať...tak len pokračujte v posteľnom sviatkovaní, tým nemôžte nič pokaziť 😉
@renitri Ahoj!Nemeriam,lebo mám mykózu včera som si dala canesten tabletu,tak i ten zápal vonkajších rodidiel,iste pridá na teplote,tak mi neostáva len si počkať či ms príde,hoc dúfam,že nie,hoc aj keď príde,mi je teraz jedno,somsi istá,že čoskoro budem tehu ak nei som teraz 😉
@janka9900 Krásne babulko🙂Presne nedá sa vydržať najmä keď ma bradavky hrozne bolia a nehovoriac o zväčšených prsiach:-/ proste aj spánok nanič,ale čo už,a tá mykóza mmi nepridáva na dobrom pocite,hlavné je,že mi je už zdola lepšie po tej tabletke a kréme🙂Ale stále sa cítim na ms...A rada by som Ti tvoje narodeninové želanie splnila,ale to závisí od hora,čo si Pán zaumienil...či mi dodá Hcg a drobčiatko,tam kde má byť a načas,alebo mi tú radosť nespraví... 😔 škoda,že nemám vmoci rozdávať tento zázrak,podľa želania,ale to závisí od vyšších síl...
@zora256 hehe 🙂 no vies ja som taka drobna postava, takze aj teraz v tehu posobim drobne. Vacsina ludi mi tipuje porod v maji a su velmi prekvapeni ked poviem ze na zaciatku marca mam termin. Moj gyndos velkost bruska neriesi ale mam nakazane pribrat 🙂 no vsak ja aj priberam ale postupne. Okrem toho su predo mnou 2 posledne mesiace kedy vraj babo pribera cca.200g tyzdenne - takze tam sa to riadne rozbehne 😀 ja si tazku hlavu z rodiny a okolia nerobim - porovnavanie vzdy bolo a bude a ja to beriem jednym uchom dnu druhym von 😉
ahojte konicky, pekne ste tu popisali 🙂 ako ste sviatkovali? ja som rada, ze to uz mam za sebou, kedze cele sviatky sa niesli v znameni navstev.
@franica neviem sa dockat 7.1. aby som ti nahlas zagratulovala 🙂 uplne chapem tvoje obavy, preto zatial pekne potichucky si davaj na seba pozor, oddychuj a nerozculuj sa. ale vyzera to, i podla toho co pises, ze vsetko je ok 😵
@horseshoe chi-chi, svokra, tak tie reci tiez poznam. moja v 9.mesiaci, ked cakala mojho muza, vraj porylovala celu zahradu. no jasne. 😀 nic, pekne lez, na brusko si vyloz tanier s jedlom a pri telke oddychuj. nech ju aj porazi 😀
som rada, ze vsetkym tehulkam sa dari dobre, @rohlicka uz tehulkuje v novom bytiku 🙂 , a snazilky su plne nadeje co im prinesie novy rok 😵 😵 😵 huraaaa!
@leonetka no veru, s tými návštevami som už aj ja tak bola, že som sa im veľmi tešila dvakrát- ked prišli a ked odišli 🙂 Tento víkend už s mm len oddychujeme, zakázal mi aj telefóny dvíhať, nieže nás niekam zavolajú 😀
A ty ted ako...už si rozhodnutá v januári začať či ešte si počkáš na potvrdenie výsledkov? Už aby si bola v jednej tabuľke a potom v tej druhej 😉
@rohlicka @franica veru, uz je to tady! 😀 konecne i ja sa stavam snazilkou 🙂 realne by sme mali zacat az od februara, ale rozhodli sme sa, ze skusime uz od januara. len tak, bez merania teplot a bez testov. bude to lepsie pre moje psyche, lebo poviem vam, ludia su strasni. nic ine nepocuvam dokola. zavolaju znami, co sme sa rok nevideli a hned prva otazka: ste tehotni? teraz cez sviatky na navstevach to iste. hlavne ocove tety co maju cez 90 rokov tak jedna s alzheimerom sa ma to pytala 3x, ze kde mam babo. druha hlucha hned na uvod a dieta necakate? na moje usecne nie spustila, ved za chvilu si stara, potom uz nebudes moct mat deti, vsak? vsak potom nebudes moct mat deti? no som myslela chvilu, ze ju niecim ovalim. a na to vsetko prisla svagrina so svojim cerstvym babom, ktore sa narodilo par dni predtym ako som prisla ja o to svoje. takze mi bolo fakt suprovo, poviem vam, som rada, ze som uz doma. navstevy tohto druhu dufam minimalne na rok z krku.
@renitri Ahoj! ☹tak mne testovanie na tento rok skončilo 😢 ,ale nevadí určite sa budúci rok podarí a aj testy budú z // 😉 Verím tomu.
@horseshoe To je fajna,a veru posledné dva mesiace bábo najviac priberá 🙂tak si užívaj posledné emsiačiky,už to nemáš ďaleko a na koľkého marca máš termín?
Kto píše snažilkovskú tabuľku? @ataner81 si tu?Prišla mi dnes ms a nečakám na 25.1.2013.
@franica verim, ze uz musis mat vyhovoriek preco nepijes plne zuby 😀 jeden z dovodov preco som december nechala tak ako je. cez vianoce chce svokra vzdy popijat so mnou varene vino, to neviem na co by som sa vyhovorila. ani ze soferujem ani ze beriem antibiotika by asi nezabralo kedze u nich nocujeme 😀 no a na silvestra tu mame bandu kamosov, takze tam neexistuje nepit 😀 a vy ste na silvestra sami doma, ci tiez hrozi nejaka party?
@leonetka ach jaj, tak tiež si to nemala ľahké 😖 Niekedy sa mi zdá, že ľudia nad istý vek fakt nemajú čo stratiť a tak sa aj správajú...ale kašľať ich všetkých, lebo už aj ty si snažilka!!! To je super, už len ten pocit je úplne iný, veľmi sa teším...určite sa zadarí raz dva a ked aj nie hneď, nebude ťa to tak trápiť- aspoň mne to až tak nevadilo, tie 4 mes. čakaniaa boli hrozné, ale ked to aj nevyšlo hneď aj tak som mala pocit, že to nič, lebo skúšame konečne naostro a nabudúce to už bude ono a aj bolo...jupííííí, tak sa neviem dočkať februára, kedy dáš asi prvý test 😉 😉
@leonetka už je po oslavách, takže som to nejako prežila aj s tými vyhováračkami, na Silvestra sa veľmi teším, že budeme doma iba dvaja s mm, našťastie ani jemu sa nechce hýriť, takže v kľude kukneme nejaké komédie a tak a pôjdeme spať, lebo na silvestrovskej akcii by sa to tajilo as najťažšie 😀 😀


@ellis21 hihi zlatá si, no ja už by som tiež chcela byť od toho doktora späť, i ked sa veľmi bojím, ale som presvedčená, že je to dobre 🙂
Ty nemôžeš byť prechladnutá? Alebo máš nejakp skorú ovulku- kľudne sa to môže stať, nemáš doma testy, to by ti viac povedalo 🙂