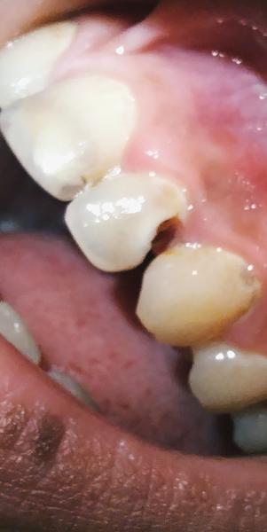
Odštrbený zub
zdravím, mali ste takto odstrbeny zub? Velmi ma boli. Ale vytrhnúť ho nechcem dat. Co myslite. Co bude robit zubár. Bojím sa velmi..

@vulka Prestala som chodiť. Ako sa.mi malí narodil.
To nie je odstrbene, je tam kaz. Chod k zubarovi a dohodnete sa co s nim
@viestta Ano je tam kaz ale chyba mi kúsok zo zubu. Vidno to na fotke.
@karmenka123 chyba, lebo kazu sa hovori aj diera v zube. Zubar ti to zaplata.
@karmenka123 keď si sama necháš takto znicit zuby asi už nebudeš rozhodovať o tom,čo s nimi,ako ich zachrániť ci nezachrániť. Veď to idú kazy a možno odlomenia ci strbiny jeden za druhym🙈.
@lukbe 😭😭😭 napomáhate mi. Aj ked chcem citat pozitívne správy.. V tychto bolestiach..😭
@karmenka123 tu pomoze jedine zubár. Uz pre polrokom bolo asi neskoro.To predsa každý vie. Nemáš 5 rokov.
@karmenka123 no... vyzera to na hlboky kaz aj vzhladom na tu bolest... neviem ci tu nebude uz pozrebne aj cistenie kanalikov....
@karmenka123 aj ja sa bojim zubarov, napriek tomu k nim chodim.
kaz ako svet, preto to boli, mozno sa to bude dat zaplombovat. necakaj dlho, aby sa to nezhorsilo a zub ti neodumrel.
@karmenka123 ako ti mame pomoct? Chlacholit ta, ze to rana sa to zahoji? No nezahoji. Pekne rano musis nabehnut medzi bolestive pripady, drzim palce. Zuby si nemozes takto nechat zanedbat.
@karmenka123 tam je tych kazov viac a okrem toho nedostatocna hygiena. Tento zub sa pri velkom stasti mozno podari osetrit endodonticky. Takze cim skor tam pojdes, tym mas sancu zachranit aspon nieco. A bez srandy, odporucam zacat co najskor, pokial nechces prist o vsetky predne zuby a skoncit s protezou.
Tym, ze si nebola na preventivke, si cele osetrenie budes hradit sama. Keby si ma tie prehliadky chodila, osetrovali by sa zuby postupne a o dost menej by to stalo. Toto, co robis je hodne tak 5 rocneho dietata, fakt nechapem, ako chces byt vzorom a starat sa.o zuby vlastneho dietata. Okrem ineho zbehni do drogerie, kup si poriadnu kefku, jednozvazkovu kefku a medzizubne kefky a popracuj na hygiene, lebo tie zuby sa budu kazit nadalej. Sorry za uprimnost, ale nebudem chodit okolo horucej kase.
Podľa toho čo autorka píše nebude mať ani preventívku, buď jej hlboko do peňaženky
@karmenka123 kaz ako svet taketo otrasne zuby nena ani moja dcera nemaš 5 rokov treba chodiť každy rok na preventivku
Pfuu ale ty máš dievča čo zub to kaz , takýmto tempom prídeš postupne o zuby. Utekaj kým sa dá k zubárovi nech to dá aspoň postupne naporiadok. Chápem že nie každý môže vyťahovať stovky alebo tisícky z kapse ale môžeš sa so zubárom dohodnúť aby ste robili každý mesiac niečo na postupno.
Keď ťa to velmi bolí a máš citlivy na teplo alebo chlad tak máš chytený nerv už. zub pomali odumiera treba vybrať nerv a vyplniť kanáliky dá ti injekciu nebudes nič citít možno trošku také pichanie... ver mi že keď nepôjdes bude to o dosť horšie.. ja som s tym nešiel a dostal som hnisavý zápal pri koreni a už sa mi to rozsirovalo aj na vedlajší zub... museli mi to vytrhnut už ani injekcia nezabrala poriadne lebo som tam mal hnis... nastastie to vytrhla za 5 sekund cca nestihol som ani zakričať..

@karmenka123 Máš tam kaz ako svet? Nechodíš na preventívky?