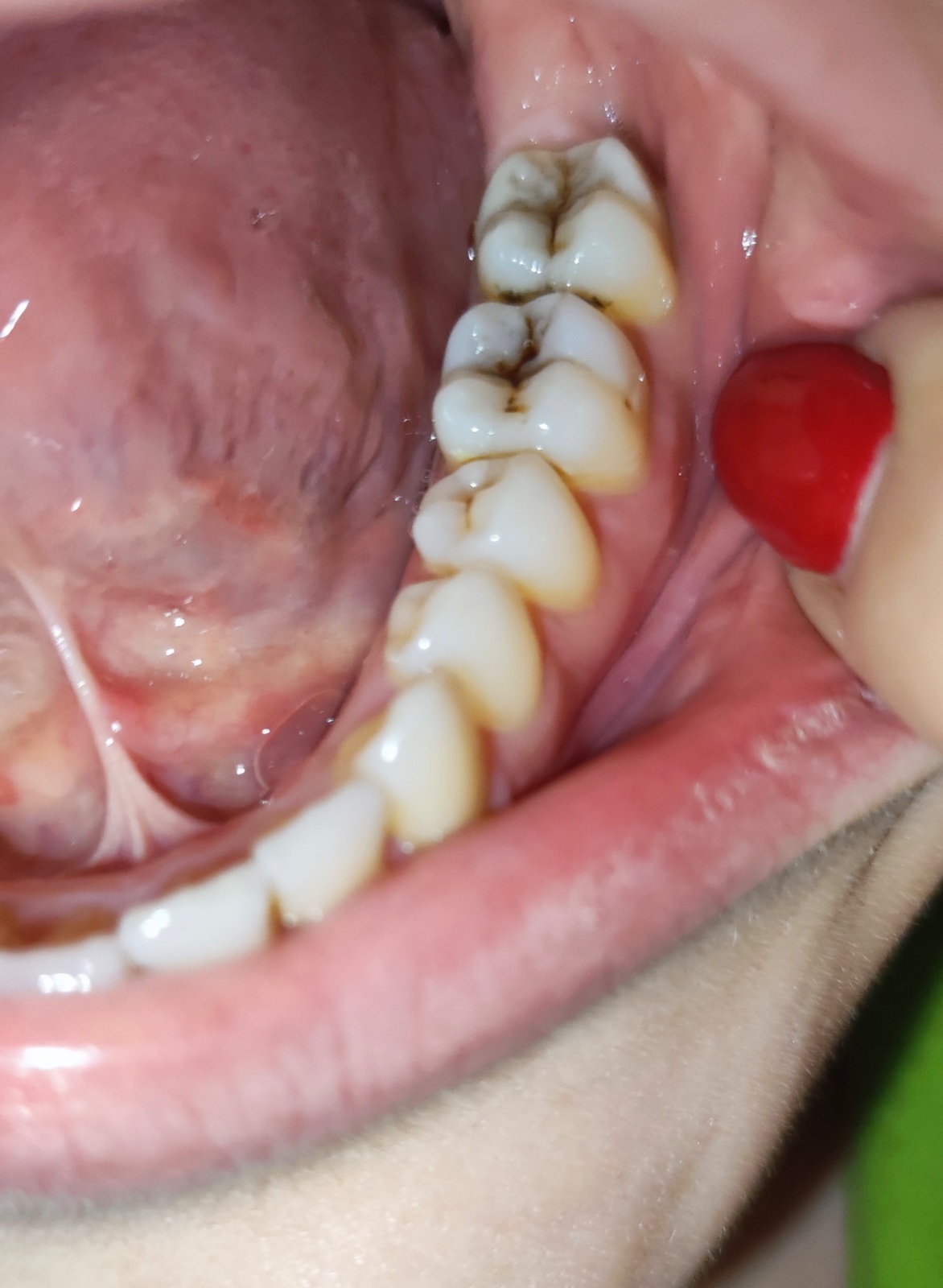
Jedná sa o kaz alebo plak?
Baby ahojte bola som u novej zubárky pretože pôvodná šla do dôchodku a posledné roky mi ani poriadne neopravovala zuby už bola dosť mimo a teda k veci… ja som si sama všimla na spodných stoličkách že mám na žuvacich plochách zubov čierne čiarky v tých ryhách a bola som si na 100% istá že sa jedná o kazy ktore mi opraví a teda nová zubárka mi povedala že vraj to je len plak? To je ako možné? Stretli ste sa s niečim takym? Dam vam aj foto. Prosim tie ktore s niecim takym mate skusenost dajte mi vediet prosim , nerada by som si to zanedbala.
Ked ti zubarka povedala ze to kazy nie su, tak nie su. Take ryhy su bezne, tiez ich mam.
Nase deti mavaju take cierne povlaky, ze to robia bakterie, co sa zivia krvou z dasien, ked sa im prerezavaju zubky. Staci aj malinko krvi, ze to nevidim. Cisti im to nejakou speci pastou v ramci dentalnej hygieny. Ved to Ti ma vycistit.
Čierne ryhy v zuboch som ešte nevidela, mne to tiež príde skôr ako kazy 😳 a tiež by som sa čudovala ...
Ja mam tiez taku tmavu ryhu na jednom zube a nemam tam kaz. Ale je to malinke a medzizubnom priestore.
Snad sa zubarka vyzna, ked tvrdi, ze to nie su kazy 💁
Ale najdolezitejsie su rentgeny. Iba tak moze vidiet, ci je zub skutocne zdravy.
Ano niektoré nie moc profi zubarky tvrdia že to nie sú kazy ale väčšinou sú, veď vidíš, mas to aj v medzizubných priestoroch.
Môjmu mužovi tiež tak jedna stále tvrdila že to nema kazy, ale mal to v medzizubných priestoroch horných predných zubov. Niekoľko x si to chcel dať opraviť a stále že nie, že to nie je kaz. Išiel inde, samozrejme že to kazy boli a za ten čas čo mu ich jeho Zubarka nechcela opraviť aj pekne narástli. Už ma 4 korunky v predu urobené lebo keby si to dával plombovat tak je ako dalmantínec 🙈
So synom som šla k zubárovi, keď som zistila že toto ma na všetkých stoličkách, tiež som sa zľakla že sú to kazy, ale neboli... nič mu s tým nerobil, ani to nijako nepokračuje.
Môže to byť pigment. Ja to mám ale na boku zubov múdrosti. Zbehni radšej na dentalku. Mám pocit,že ti zubári preventivky flakaju. Ja som tomu svojmu tiež musela povedať (vďaka dentalke) že už to nie je len pigment ale už je to kaz. Odpoveď bola:áno? Absolútne si nič nevšimol


robili ti RTG- bitewingy?