RTG hrudníka
@joesvk trošku som sa ukľudnil, lebo už sledujem internet a tam je popísané, že by to mala byť bránica, tak som sa zľakol, lebo od istej doby mám divný tlak na hrudi, no môže to byť, tou mojou krivou chrbticou. Veľmi pekne ďakujem.
@luccija ahoj, s rtg snímkom som bol u chirurga, no nepovedal nič, ale naozaj nič len že je tam krivá chrbtica a že mám cvičiť, no neviem čo za cviky mi dokážu napraviť tú krivosť, človek už myslí na najhoršie.
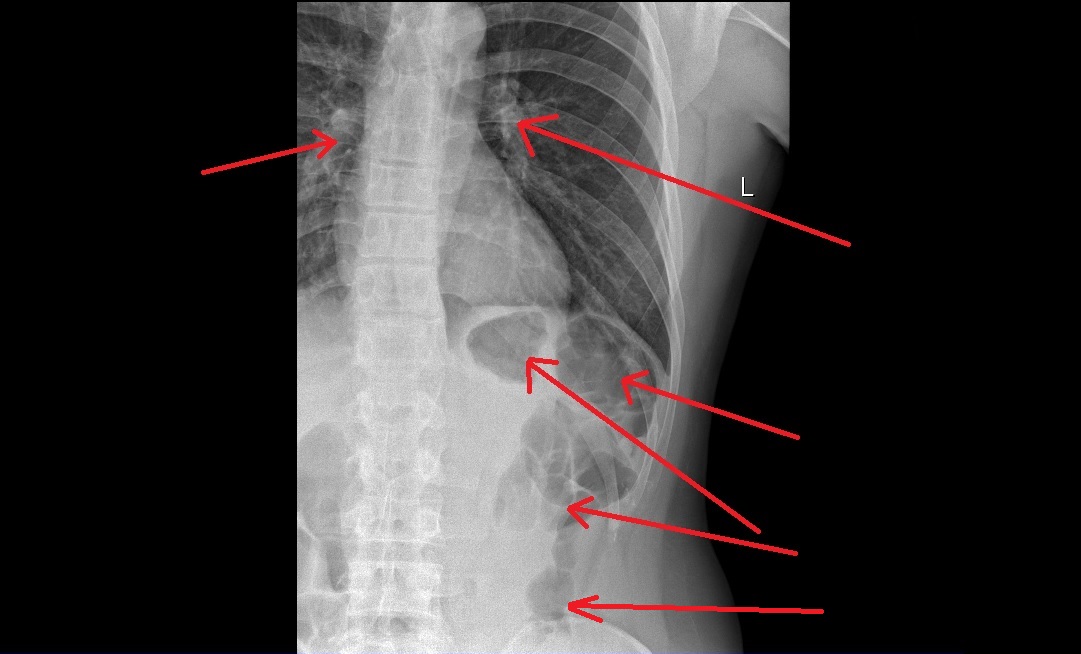
@eduardo123 Haha.. To je hrubé črevo klasický obraz.Tlak na hrudi môže mať milión príčin. Úzkosti, stavy po Covide, fajčenie a zmeny na cievach... Atď...
tie flaky su pluca ak ich je vela je tam zapal. neviem s cim si siel k chirurgovi ale cvicenie ti neburovna chrbticu len nebudes mst bolesti
@kacena4 ďakujem veľmi pekne, už som máličko kľudnejší, takže mi nič ine nezostava, len ísť na krv a podla toho sa nejako toho zápalu zbaviť, Ďakujem
@eduardo123 chod k rehabilitačnému doktorovi ten Ťa vyšetrí a predpíše cvičenia.Pripadne neurológ ten môže poslať na MRI to je lepšie na snímok chrbtice.Skoliozu a lordozu má veľa ľudí nemusíš myslieť na najhorsie ukľudní sa🙂
@zuuzika ahooj, takže môže byť že by boli chytené? Keďže sú tak viditeľné? No tak či onak, potešila si ma, ďakujem krásne


Bubliny sú črevá 😉Toto v pľúcach neviem.