Mamky sa stretávajú s kadejakými zvláštnosťami, ktoré sa možno hanbia alebo nemajú príležitosť opýtať svojho zubného lekára. Aj na to je tu pre vás skupina Čisté zuby sa nekazia. Na vaše otázky na nástenke či tie anonymné mne do pošty pravidelne odpovedá výborný zubný lekár. So svojimi skúsenosťami sa tam delia aj ostatné mamičky. A okrem toho, že sa u nás dá niečo nové dozvedieť, pravidelne (a často) súťažíme o kvalitné produkty značky CURAPROX, ktoré sa zídu do každej rodinky. 🎁
Pridajte sa k nám: https://www.modrykonik.sk/group/9719/ #curaprox
my sme to tiez teraz riesili ... zubarka povedala, ze mozeme skusit vykyvat, ale ze pravdepodobne same nevypadnu a aj tak bolo, v utorok sme boli trhat 😝 a ked som videla ten koren, tak chapem preco sa nedal vykyvat ... myslela som si, ze mliecne zuby nemaju korene, ale bolo mi vysvetlene, ze korene maju, ale ked zo spodu rastie novy zub, tak sa ten koren resorbuje ... ale ked nic zo spodu netlaci, tak koren ostava ... druhy zub bude pravdepodobne cakat to iste, aj ked teraz uz dcera vie, co ju caka a je motivovana si viac kyvat (a uz tam ma aj viac miesta, ked je jeden von) ...
@keena Potom daj vedieť 🙂
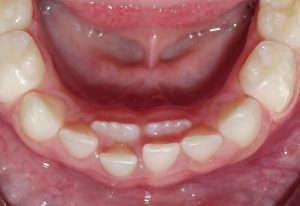
Takze info baby. Vcera ho dcerke vytrhol. Povedal nam presne to iste co @pifina pise. Vraj bud nas posle za chirurgom alebo moze on. Takze sme sa rozhodli pre nasho zubara. Dal jej inekciu a vytiahol. Mala bola statocna. Prikldam foto. Ten v kruzku je ten neplesnik. Koren oproti predoslim o dost velky.


akurat riesim tento problem, maly 6r ma presne takto vyrastene trvale zubky a mliecaky stale nevypadli...☹ zubar vravel, ze s tym nic robit nebude....ma niekto skusenosti?