Grafy bazálnej teploty
Baby, nová téma o grafoch BT, ovulačných testoch, tehotenských testoch a hľadaní duchov je tu 🙂
Ak meriate bazálnu teplotu a zapisujete si hodnoty do grafov, ste na správnom mieste. Poradíme, pomôžeme, podporíme.
Grafy si môžete vytvárať na nasledovných stránkach:
www.fertilityfriend.com
www.womenzone.cz
www.wunschkinder.net
Všetko o meraní BT a jednotlivých programoch na vytváranie grafov nájdete tu: http://merenibt.xf.cz/index2.html
Dobré rady a pomoc ohľadom ovulácie, plodnosti i tehotenstva je na stránke http://www.fertility.sk/
Tak vitajte 🙂
@ersp tak hádam to bude ok. Treba byť ready, keby bolo treba že hneď 😂
@bambulka711 to chceme, len pruser je ze v stredu ideme na kratku dovcu a mame spolocnu izbu z nasimi do nedele 😀😀 takze to bude zaujimave😀😀😀 ale chcela by som tak ze v sobotu poistit prirodzene a v pondelok uvidime 😀
@ersp hodíte rýchlovku v kúpeľni 🙈😂
@bambulka711 spolocna kupelna pre x chatiek 😀😀😀
@ersp hold, tak do lesa dievča 😂
@bambulka711 no budeme musiet daco vymysliet 😀 na tych par minut sa dade zasijeme 😀😀
Ahojte dnes som bola v car lebo už 14 dni spinim a na testoch stále nejaký ten duch čo ma však šokovalo dr povedala že som po ovulácii čo je dosť na hovno keďže sme sex nemali :D tak snáď ten ďalší cyklus 🙂
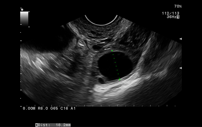
@kristinkaris no ak si videla na sone folikul a máš takéto testy, tak šup na to 🙂 folikul je hladký a jasne ohraničený "kruh" na sone, prasknutý je vidieť tak ťažšie, vyzerá ako taká hviezdička.
@bambulka711 áno presne taký som videla ohraničený a ona hneď ako tam dala tu bakuľu tak z fleku že už je po ovu :D ma napadol ak praskol v noci alebo nadránom 🙄 uvidíme skúsime a aspoň nebudem mať kramy na dovolenke keď prišla skôr ovu :D
@kristinkaris takto vyzerá neprasknutý folikul. Prasknutý je taký zošuverený a v strede má niečo ako hviezdičku. Neviem to lepšie popísať 🙂
Tie testy si robila dnes? Ak áno, určite je to ideálny čas. Máš ovulku moc rýchlo po teste pozitívnom?
@bambulka711 áno dnes ..presne tak vyzeral podľa mňa … no väčšinou mávam 2 dni pred ovu pozitívne testy
@kristinkaris tak potom nie je o čom a spravte si pekný večer. Prasknutý folikul vyzerá inak, to by si spoznala. Držím palčeky ✊✊✊
@bambulka711 dúfam že stíhame 🍀
@bambulka711 a ty ako ? Už si po ovu ?
@kristinkaris určite stíhate. Ja áno, tuším som už 7dpo. Mala som 2 alebo 3 folikuly, tak uvidíme, či motyka nevystrelí 🙂
@bambulka711 fiiiha tak to už každú chvíľu môžeš aj testovať 😁 a bola si na iui?
@kristinkaris chcela som ísť, ale kvôli počtu folikulov nám ho neodporučili a v podstate ani nechceli spraviť, tak sme skúsili prirodzene. Testovať má zmysel u mňa až tak 14 dpo, mne sa gonasi dlho drží. Budúci mesiac keď tak ešte skúsime IUI a potom ten ďalší IVF.
Ahojte dievčatá,
Chcela som sa spýtať, či ste sa s niečím takým už stretli 🙂
Tento cyklus som mala ísť prvýkrát na odsledovanie folikul a či ovulacia prebieha.
Vyšetrenie som si dala na 10DC keďže ovulaciu mávam od 13-14 DC. Avšak ráno o 8:30 na 10DC doktorka už videla žlté teliesko. Poplakala som si, že sme to zas nestihli lebo sme sa snažili len na 9DC večer. Tak som si povedala, že si odsledujem bazalnu teplotu či teda ovulacia prebehla aj tak skoro či tam naozaj vajíčko bolo.
No avšak podľa grafu mi vychádza ovulacia úplne iný deň, keďže tam bolo žlté teliesko, ktoré už produkuje progesteron nemala byt už zvýšená teplota 10DC?
Poovulačne teploty mám 36,6-36,9•C.
Prikladám aj grafik.
Som si istá, že sme to nestihli, ale toto mi vŕta hlavou.
Ďakujem vopred za vaše názory 🥰
@kristinkaris nezmerala aspon ten folikul dr? Ako pise bambulka, prasknjty je uz taky nesumerny, u mna vyzeral ako taky splosteny 😀😀
@simonka3333 myslím, že ste to stihli. Podľa mňa ti praskol medzi 9DC a 10DC, preto si nárast teploty zaznamenala až na 12DC. Každá ten nárast máme trošku inak. Vajíčko je schopné oplodnenia ešte 12-24 hodín po uvoľnení, takže nič nie je stratené 🙂
@bambulka711 aha no tak možno práve teraz motyka vystreli ☺️
@ersp tiež som sa čudovala že ho nezmerala celkovo to sono urobila tak divne akoby sa strašne niekde ponáhľala a vyzerala že ju s tým otravujem že som zase tam … to bolo také kukla pravý vajecnik a hneď už je po ovulácii vôbec sa naň riadne nepozrela ale tak možno to už majú v oku hneď :D a endometrium ma 12mm čo už je dosť vysoké podľa mňa
Už mi ostáva len dúfať že praskol rano a vajko je schopné 12 hodín oplodnenia :D
@kristinkaris podľa mňa ti nevenovala pozornosť a ešte nebol prasknutý. Mne v CAR robila fakt dôkladné sono oproti môjmu lekárovi. Ten tiež bol tento mesiac taký otrávený zo mňa, že som zase tam. Ale ja si z toho nič nerobím. Tvorím protilátky a musíme si dávať pozor a zbytočne sa bez ochrany nesnažiť 🤷
@bambulka711 no môj gynekológ ma 70 rokov ale je to kapacita a on teda keď robí sono tak riadne poctivo o tejto doktorke som si myslela že tiež je v pohode no ale po dnešku neviem čo si mám myslieť zvláštne že ho ani len nezmerala lebo to bol jasný kruh
@kristinkaris mne sa tak tiež raz stalo, keď ma vyšetrovala lekárova dcéra (asi vrámci školskej praxe), že nevedela ani zmerať folikul a vlastne som sa vtedy nedozvedela, aký je veľký. Ale čo už, tento mesiac to už je na osude a uvidíme ďalšie, čo prinesú 🙂
@kristinkaris endometrium je take poovulacne alebo ovulacne
@ersp nuž je to vo hviezdach :D
@bambulka711 @andyka105 Ďakujem☺️. Dúfam, že aj nám sa čoskoro podarí, lebo už som to “nedarenie” raz zažila, trvalo to síce len pol roka, ale bol to riadny nápor na psychiku…




@bambulka711 10 dc budem v pondelok