len na základe priloženej fotografie a bez popisu vašich príznakov len veľmi ťažko zistím, aký problém máte na mysli.
Na fotografii nebadám nič, čo by aftu pripomínalo. Ak máte na mysli to začervenanie pravého oblúku mäkkého podnebia.
Môže ísť o začínajúce vírusové ochorenie horných dýchacích ciest, predpokladám, že máte podobne nastreknuté aj hrdlo, ktoré na fotografii nie je vidieť.
Odporúčam teplý čaj s citrónom, v prípade bolesti cmúľanie Strepsils či Neo-Angínu, pri celkových príznakoch ďalej konzultáciu u všeobecného lekára prvého kontaktu.
Dobrý deň,
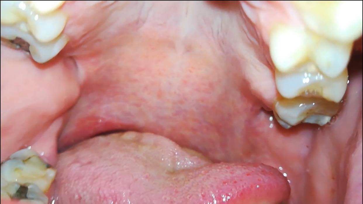
len na základe priloženej fotografie a bez popisu vašich príznakov len veľmi ťažko zistím, aký problém máte na mysli.
Na fotografii nebadám nič, čo by aftu pripomínalo. Ak máte na mysli to začervenanie pravého oblúku mäkkého podnebia.
Môže ísť o začínajúce vírusové ochorenie horných dýchacích ciest, predpokladám, že máte podobne nastreknuté aj hrdlo, ktoré na fotografii nie je vidieť.
Odporúčam teplý čaj s citrónom, v prípade bolesti cmúľanie Strepsils či Neo-Angínu, pri celkových príznakoch ďalej konzultáciu u všeobecného lekára prvého kontaktu.
Želám krásny deň,
MDDr. Alena Záhumenská