Ide o cystu na podnebí?
Zodpovedané6. júl 2020
Dobrý deň,
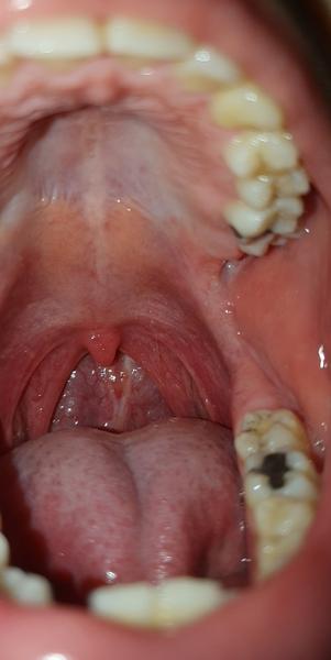
mám 19 rokov a chcel by som sa poradiť ohľadom môjho problému. Už viac ako mesiac ma trápi škriabanie v hrdle. Krvné testy aj výter na baktérie boli v poriadku. Okrem toho som si všimol aj malý výrastok na podnebí (vľavo na foto) spolu s akýmsi vrásením medzi tvrdým a mäkkým podnebím, ktoré som si doteraz nevšimol. Tento výrastok však mám už asi 4 mesiace.
Mám sa obávať nádoru, alebo ide iba o nejakú cystu?
Na prstoch mám už dlhšie bradavice, tak by ma zaujímalo, či môže prípadne ísť o ústne HPV. Keď vytvorím tlak na podnebie, cítim miernu bolesť.
Vopred ďakujem za zhodnotenie vážnosti/akútnosti problému

Dobrý deň,
na základe priloženej fotografie nebadám prítomnosť cysty ani slizničných prejavov HPV, ale stanovenie diagnózy si vyžaduje komplexné vyšetrenie v zubolekárskom kresle, preto v prípade pozorovania akýchkoľvek zmien na sliznici ústnej dutiny, ktoré pretrvávajú dlhšiu dobu, odporúčam navštíviť zubného lekára, prípadne sa nechať odoslať za špecialistom - parodontológom, stomatochirurgom alebo ušno-nosno-krčným lekárom.
Dôležitá je v tomto prípade najmä anamnéza (fajčenie, konzumáciu alkoholu a rizikové sexuálne správanie), nakoľko HPV vírusu existuje asi 100 podtypov s rôznymi prejavmi v ľudskom tele aj rôznou cestou šírenia.
Podtypy HPV 2 a 4, ktoré spôsobuje kožné bradavice na rukách či chodidlách (odborne verruca vulgaris/plantaris), sa vám nemusia prejaviť aj na slizniciach úst.
Ústne prejavy (napr. podtypy HPV 6, 11) sú zväčša belavé drsnejšie vystúpenia, niekedy s typickým karfiolovým tvarom na úzkej báze, často sa vyskytujú z vnútornej strany pier, na sliznici líc, na jazyku - je potrebné vyšetriť celú ústnu dutinu.
Nebezpečný je podtyp 16, ktorý môže viesť ku vzniku leukoplakie alebo karcinómu, ale s kožným prejavom na rukách či chodidlách nemá nič spoločné.
Želám krásny deň,
MDDr. Alena Záhumenská