Môžem mať rakovinu ďasna?
Zodpovedané30. apr 2020
Dobrý večer,
chcela by som sa poradiť ohľadom môjho problému. Pri horných zuboch /medzi zubami/ sa mi vytvoril pupáčik, resp. vriedok. Je to malinké a jazykom to cítim. Keď sa pozriem do zrkadla, tam nič nevidím.
Párkrát sa mi stalo, že som pri zahryznutí cítila pupák, ktorý zmizol. Po pár mesiacoch sa to znova vrátilo. Len tentokrát som si do toho zahryzla tak, že mi to aj krvácalo. Prešiel štvrtý deň a mám to tam stále.
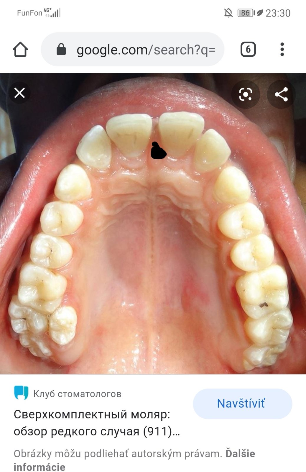
Môjmu zubárovi nechcem ísť kvôli koronavírusu. U nás v meste je veľa prípadov, tak sa bojím vychádzať aj von. Prikladám fotku stiahnutú z internetu, kde som označila čiernou bodkou výskyt, aby ste videli kde sa to nachádza. Skúšala som si to fotiť, ale nešlo mi to.
Môže to byť rakovina?
Ďakujem za odpoveď

Dobrý večer,
miesto, ktoré ste na ilustračnom obrázku vyfarbili, je takzvaná papila incisiva - je to normálne sa vyskytujúci slizničný útvar, ktorý prekrýva výstup nervu na tvrdom podnebí medzi hornými prvými rezákmi. Hoci nie je možné stanoviť diagnózu bez riadneho vyšetrenia v zubolekárskom kresle, najčastejšou príčinou zväčšenia papily je jej poranenie.
Podráždenie tvrdou stravou, ostrými štetinkami zubnej kefky alebo vplyvom tepla (často až popálenie) spôsobí jej opuchnutie a citlivosť, a to aj na dobu približne 7-10 dní. Papilu môže ďalej dráždiť aj bakteriálny povlak alebo zubný kameň na krčku prvých rezákov z vnútornej strany.
Zubný kameň treba odstrániť počas návštevy zubného lekára a následne udržiavať dentálnu hygienu pravidelným čistením medzizubných priestorov zubnou niťou.
Podráždenú papilu treba nechať upokojiť, prípadne môžete použiť ústnu vodu pre zníženie citlivosti. Po odznení pandémie odporúčam kontrolu u zubného lekára.
Želám krásny deň,
MDDr. Alena Záhumenská