vpravo je v prieduške zmnožená bronchovaskulárna kresba, ktorá by sa vzhľadom k pozitívnemu klinickému obrazu a ťažkostiam dala hodnotiť ako bronchopneumonia vpravo.
To nie je úplne zápal pľúc, je to kombinovaný zápal priedušky a takým možným prechodom do zápalu pľúc.
Prajem pekný zvyšok dňa. MUDr. Denisa Jaššová Instagram: @pediatricka_denjas
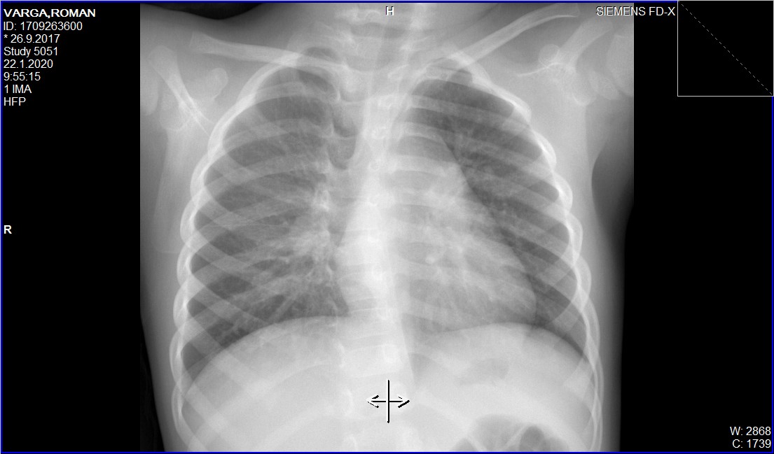
Dobrý deň,
vpravo je v prieduške zmnožená bronchovaskulárna kresba, ktorá by sa vzhľadom k pozitívnemu klinickému obrazu a ťažkostiam dala hodnotiť ako bronchopneumonia vpravo.
To nie je úplne zápal pľúc, je to kombinovaný zápal priedušky a takým možným prechodom do zápalu pľúc.
Prajem pekný zvyšok dňa.
MUDr. Denisa Jaššová
Instagram: @pediatricka_denjas