Čakanie po transfere. Absolvovali ste ET?
ahojte, je tu niekto, kto je prave po ET a su pred nim dlhe dni cakania?
@leoriki joj super, potom mi daj vedieť, keď budeš vedieť niečo viac.....si bola aj na IUI? Joj len dúfam, že sa nám to na podarí na 1 krát! tak papa
@mozartka Ahoj, videla som tvoju spravu-boze moj, to mi je luto! A je to strasidelne, iba prist na sono a nenajst druheho drobca... Bez priznakov... Medzi ktorymi tt sa teda stratil? Bol aj mensi od zaciatku, ci na rovnako? Ja som bola naposledy min. tyzden v 10+1 a videli sme oboch, ale bojim sa aj JA zakazdym...
@chevalbleu ☹ je tam aj teraz len nebije srdiecko, piatok som bola na sono, vtedy zistila moja dr. ale bolo tam este malilinku sancu, ze len ona nenajde srdiecko, ale dneska to bolo potvrdene. Ale druha ma 4,1cm a veselo plavalo na sone. Nabuduce idem o tyzden pondelok na kontrolu. A hej od zaciatku bola mensia ako druha.
@mozartka Ach jaj, to je hrozne. Dobra sprava je, ze druhemu sa dari a pekne rastie. Aj ja idem bud. pondelok na sono, take specialna, kde meraju na tekutinu za krkom a zistuju riziko chromozom.poruch. Neviem, ako sa to vola po Slovensku, ides aj ty na take nieco?
@chevalbleu Mna to zajtra caka. Dufam, ze bude vsetko poriadku. Potom drzim palce, daj vediet, ako si dopadla
@meli8412 Dakujem, aj tebe drzim palce, daj vediet zajtra!
@chevalbleu Dakujem. Urcite dam, mozno aj fotku sa mi podari sem dat 🙂
@meli8412 Super, daj! Ako sa teda vola ten test a v ktorom tt sa na SK robi? Tu v Kanade je to sucast 2 krvnych testov takze celkovy vysledok budem vediet az o mesiac...
@meli8412 .asi som to komplikovane napisala...vcera ked som bola kramaroch na pohotovosti, tak mi lekar robil sono a dal mi na hlas aj srdce, tak bolo pocut...v sprave od neho mam napisane 115 bpm.....dnes mi doktorka nic nerobila...len si v jeho papieroch nevsimla, že to tam prilozil...kedze mi na doporucenku na PN napisala vitalna gravidita, plod 3,59 mm bez echa plodu...
@chevalbleu Medzi 16-20tt sa robi ten test, tiez spravia uzv a odber krvi, ja najprv idem na uzv a potom dostanem termin na krv.A neviem ako sa to vola, ale toto som nasla na nete:
Medzi 15. až 20. týždňom sa robí prenatálny screening na Trizomiu 21 - Downov syndrom (Mongolizmus), Trizomiu 18 - Edwardov syndrom, Trizomiu 13 - Patau syndrom, rázštepy neurálnej trubice a brušnej dutiny a iné zriedkavé genetické choroby. Robí sa pomocou tzv. quadruple (alebo triple) screen, kam patri MSAFP (Maternal Serum Alfa-FetoProtein), estriol, hCG a protein inhibin A. Vypočítava sa pomocou počítačového algoritmu založeného na maminom veku, váhe, rase a dĺžke tehotenstva.
@meli8412 To je presne ono! Aj tu sa to vola Quad test, to specialne sono je Nuchal Translucency ultrasound. Tu je 1.cast krvneho testu 9-13tt (ja som bola 10) sono je okolo 12.tt a druha cast krvneho testu je 15-16tt a vtedy sa skombinuju vsetky vysledky a vek matky, presne ako si napisala.
@maculicek1977 no veru je to strasne.Ano toto bolo druhe ket som mala.Nič mi nepovedli nato.V januari 8meho idem zas do centra ze co dalej este mam posledne 2embrya ale to su uz neni blastocysty.Aj my vravela v akom su stadiu ale to si nepamatam dufam ze sa budu dat pouzit.Takze uvidime.A ty kedy ides v januari?Veru musime si prezit strasne veci clovek uz nevladze,ale musime ist dalej
@ema0408 uspesne po sone.malickemu bojovnikovi krasne bilo srdiecko s manzelom sme sa az rozplakali od stastia.neskutocna radost.uz len vydrzat.len neviem preco mi vysadil utrogestan.ze kazdy den o tabletku menej.vacsinou sa berie do 13.tyzdna a mne povedal ze v nedelu si dam poslednu tabletku .este ma caka hematolog ci si pichat dalej fraxik.uvidime.kazdopadne radost velka!😊
@nikus47 strasne sa tesim s vami, to je krasna sprava🙂 ...ja musim vydrzat do piatku...iba lezim, uz ma boli cela chrbtica....ale ja si myslim, že v mojom pripade to nebude asi uspesne, uz ma ani prsia nebolia,šako boleli...no uvidim...a ty si v nedelu ako silno krvacala? A co ti dali na pohotovosti od toho, ked sa smiem spytat?...a este raz gratulujem🙂
@ema0408 Ďakujem pekne. 🙂 neber to podľa príznakov,mne absolútne nič nie je :D ani prsia,ani bolesti,ani na vracanie proste žiadne príznaky ;) tiež som sa bála,či to bude úspešne keď sa takto cítim ale maličké mi dnes dokázalo že bojuje,že je silné,krásne rastie a má sa dobre,tak mu plne dôverujem! 🙂 Na pohotovosti mi nič nedali iba že mám byť v kľude,nestresovať sa,že v prvých týždňoch to nie je nič neobvyklé špinenie alebo slabšie krvácanie. Ja som veľmi nekrvácala,tak málinko a potom mi to prešlo do špinenia a teraz už vôbec nie.Neboj,pozitívne myslenie a veľmi silno držím palce!!! ;)
@meli8412 Ďakujem krásne 🙂 a myslíš že spravím niečo zlé s tým ak ho budem užívať naďalej do toho 12.tt? Akosi by som ho nerada tak skoro vysadila najmä v mojom prípade,ak už mám za sebou potraty keď maličkým prestalo biť srdiečko.Bola som dnes aj u svojho gynekológa ten mi povedal že on by to tiež nechal do 12TT.Poďla usg som dnes 6+2tt.
@nikus47 Tak ano, utros sa moze do toho 12tt, cize 11+6, ale ty si pisala, ze 13tt. A co viem, ked mi predpisali duphaston, tak som ho mohla uzivat do 14+0, potom uz nie.
Som rada, ze bojujete statocne, len tak dalej.
Ja som bola dnes na uzv, malinke rastie, uz ma vyse 9cm, brali mi aj krv na gen. testy, o tyzden mam zavolat.
@meli8412 uz 9cm? super 🙂 Tiez mam Utrogestan 2x4 vaginalne a vcera v správe dr napisal, ze pokracovat /vcera som bola presne 11+0tt/. Na kontrolu idem az buduci pondelok, co budem uz presne 12+0tt. Teraz neviem ci mam zacat pomaly vysadit alebo mam cakat na pondelok vlastne na kontrolu?
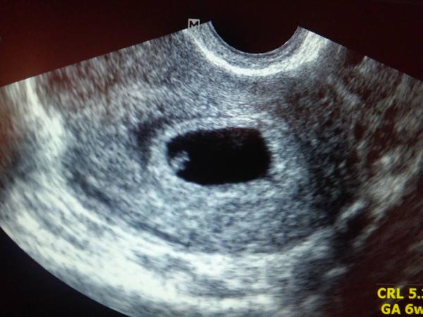
@meli8412 Super,tak to teda riadne rastie 🙂 môj mal dneska na 6+2 5,3mm 🙂 Áno,teraz som si všimla že som napísala 13TT.písala som na mobile zrejme som ťukla vedľa,viem že do 12.tt sa berie 😀 Myslím si,že nespravím nič zlé ak ho budem užívať aj naďalej 😕 Držím palce nech vídu dobré výsledky! My máme len takúto fotku aj to len mobilom sme si odfotili,lebo dr.nemal tlačiareň 😀



@linda10 joj súcitím s tebou, to bolo už tvoje 2 IVF? A čo povedal DR čo sa stalo, prečo to nevyšlo? Máš ešte mrazáčiky? Nebojkaj ten tretí pokus MUSÍ VYJSŤ!!!!!! Vieš ja sa tiež bojím, aby sa to nestalo aj mne idem nato v januári,,,,,,držkaj sa, je to hrozné čo všetko musíme podstúpiť a ešte to aj nevyjde!!!!!