Snažilky od júla do Vianoc 2015
Gratulujeme vsetkym super babam,ktorym to v juli vyslo.. Ostatne nezufame a ideme dalej.. 😀 Rada uvidim vsetky aj v tejto skupine 😉
@puffu ahoj, my sme tento cyklus isli pekne obden tak som zvedava ci z toho nieco bude ale mojkali sme sa nie ze musime ale chceme, tento cyklus sme slova "baby, dieta, babo, drobec,..." Vypustili z nasho slovnika 🙂 a mojkali sa z lasky lebo tak bola aj chut a my sme tiez taky ze nevydrzime bez seba 🙂
@fergiea ja si normalne uživam že niesom tehotna, žiadna zodpovednosť za dalši život, žiadne obmedzovanie, konečne mam aj chuť do všetkeho. Ako babätko si nadalej prajem ale až o rok najbližšie a už žiadne obmedzovanie a strachovanie. Budem fungovať ako keby som nebola tehotna ale teraz sa potrebujem dostať do formy, chcem začať cvičiť aktivne a neriešiť čo môžem a čo nie 🙂 Takže psychicky som na tom veľmi dobre len telo potrebuje nabrať stratene mineraly a rovnovahu 🙂
ahojte, my sme teraz pocas plodnych dni snazilkovali 4krat, tak snad to vyjde..MUSI...
Maly mi chodi do skolky, hrozne zle to znasa, place, nechce sa obliekat...dnes.zostal.doma, lebo ochorel, takze si odvykne a v pondelok.mozeme zacat odznovu...dokonca zle.spi, nocne mory mava...rozmyslam, ci si ho.nenecham doma do januara...
ja dnes ocikam premierovy ovu test 🙂 som len v 7 dc ale mam uz hlien tak som zvedava aky bude ...
@juliett99 ja cakam ovulku v nedelu, pondelok..ale akosi mi vysiel dost silno test tak uvidime, no verim ze aspon este zajtra a pozajtra nebude pozitivny.. 😀 si viem predstavit kebyze je tomas doma tak hypnotizujem tu druhu ciarku aby bola cim skor pozitivna.. 😀 ale teraz nech len pekne krasne na neho pocka..a dufam ze aj tvoja ovulka pocka na tvojho muzika... 😉
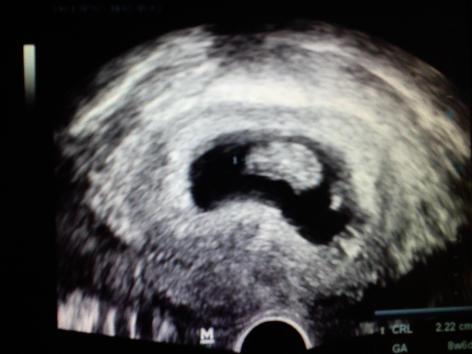
Ahojte, tak sa ozyvam po dlhsej dobe...ked mi lekar oznamil ze na ultrazvuku je to moc mini a ze nevie ci to je mimomaternice alebo sa nevie ci sa bude spravne vyvyjat...som bola uplne nestastna z toho prestala som sem nakukat ..ale dnes som bola u lekara na ultrazvuk a takato krasna fazulka sa objavila je otocena chrbatikom, srdiecko krasne bilo a ma uz 2,22cm. Este nemam tehu knizku az 29.9.idem na odbery a kontrolny ultrazvuk tak ak bude vsetko ok dostanem uz aj knizocku. Povedal ze sa mozem zacat tesit 🙂 Drzim vam vsetkym silno palceky aby ste o chvilku davali foto ultrazvukov 🙂 a drze nam prosim silno palce nech je vsetko ok stale sa bojim ale trosku sa od dnes aj tesim 🙂
@margaretkaoliver krasna fotka 🙂 gratulujem a vela stastie zelam 🙂
Ahojte,nam to opat nevyslo a to som sa tesila,ze sme ovu uplne trefne vystihli. Ja sa odtial na urcity cas vzdialujem..idem sa dat dokopy zdravotne, budem sa snazit aj schudnut..aj tak som mala depku zo seba,ze sa uz budem hanbit postavit pri sestricke na vahu...to som si verila,ze nam to vyjde na prvykrat...Pustim sa do atestacky a potom, ked budem mat plnu hlavu, mozno to potom vyjde..drzim vam vsetkym vytrvalym silno prsty
komu vdacim za srdiecko?
@juliett99 Ja si myslim, ze 14 bol silnejsi:( ale treba to urcite vyskusat...nikdy nevies🙂
@margaretkaoliver gratulujem držkajte sa
@juliett99 podla mna bol silnejsi 14dc ale tak hladina lh stupa a klesa, podla mna su obe negativne takze nic nie je stratene... 😉 je jedno ci je intenzivnejsi ten zo vcera alebo z dnes, ani jeden nie je rovnako silny ako kontrolna ciarka takze este tomu kusocek chyba...ja som dnes mala asi rovnaky ako mas dnes tak to naozaj u nas vyzera s ovulkou skoro v rovnake dni... 😀 uvidis ze s tehu bacilami to dame urcite 😉 😀
ahojte babenky otázka nemala niektorá z Vas v uplnom zaciatku tehotenstva možno že ste o tom ani nevedeli že bude bábo vnutornu teplotu a stale studene nohy a ruky mna už ide potrafit neviem co to je diky




@janikm ja som tiez neni na bylinkove caje..zo zaciatku som to tiez ledva vypila a potom som si tak zvykla ze uz mi bolo divne ked som si ho nedala 😀