Je možné vidieť plod za týždeň?
Ahojte, viete mi poradiť?
Na prvej kontrole u gynekológa som bola na začiatku 5 týždňa. Videl maly gestacny vak. Prišla som skoro na kontrolu kvôli spineniu. Nezdalo sa mu že vidí len vak. Poslala ma domov a o týždeň kontrola zas. To bol rozmedzie podľa poslednej menštruácie 6-7. Videl opäť len vak ale zväčšený. Teraz idem zas na kontrolu s týždňovým rozostupom. Povedal že keď neuvidí nič zas že mi stanoví diagnózu zamlcany potrat alebo mimomaternicové tehotenstvo. Je možné že teraz za ten týždeň tam už uvidíme niečo ? Za taký krátky čas môže narásť už tak že uvidí malý plodik? Ďakujem
ano je to mozne - kazdopadne nechapem, preco ti chce dat diagnozu mimomaternicove tehotenstvo, ked gestacny vak je evidentne v maternici 🤷♀️ silno drzim paste!
@petamich aj ja som nevedela a potom som sa dočítala vraj môže byť plod aj mimo vaku neviem či je to pravda . Vak bol zrejme kde ma byť.
Ja som tak mala 6-7 týždeň videla plodovy vak v 10 TT potvrdili mimomaternicové, hohuzial mi ukázala ako mu pekne bije srdiečko a ten obraz má odvtedy "prenasleduje" držím palce aby to dopadlo lepšie a plod sa ukázal tam kde má byť a dobre to dopadlo🍀
och tak to som teda netusila, ze take cosi existuje
kazdopadne verim, ze toto nebude tvoj pripad a vsetko bude ako ma 🍀
to mi nepasuje, plod ma by vo vaku. ako by mohol byt inde.
ved on sa priamo s tym vakom vyvija. z jednej bunky sa urobi vak a aj rastie v nom plod, je v spojeni s vakom.
Ano aj tyzdnovy rozostup v takomto stadiu moze vela ukazat, tj ked videl len gestacny vak (je dobre ze sa zvacsuje) na dalsi tyzden ak su tvoje vypocty spravne, by uz malo byt vidiet aj plod v nom 🙂
@selena_luna a plod sa v com vyvija mimo maternice? ved plod vznika prave z tych obalov toho vaku. ako moze bez toho oblalu byt mimo maternice a v maternici obal, ked sa to vyvvyja prave z toho.?
nemam o tomto moc vedomosti, preto sa zamyslam.
pseudogest. vak sa vyskytuje, ale casto nei pri mimomaternicovom tehu,a le pri beznom tehu. je to porucha vyvoja. jendoducho plod tam nie je ziadny, nevyvinie sa vobec.
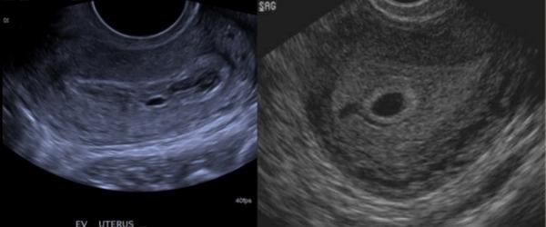
@majamat Ahoj. Pri zdravom tehotenstve je gestacny vak s hyperechogennym lemom("svieti")=choriove struktury, je ulozeny excentricky a ma pravidelny tvar. Pri mimomaternicovom sa moze vyskytnut pseudogestacny vak,ten naopak ten svetly vyrazny len nema,lebo sa nejedna o pravy vak,ide iba o akusi pseudodutinku s tekutinou. Prikladam foto. Prva GEU,druha zdrava incip.gravidita
/gynekolog
@sabinka022 Ďakujem to moje sono vyzeralo presne ako ten druhý obrázok tak budem veriť že to bude v poriadku
Ahojte gestacny vak narástol z5.4 na6.5 ale nič v ňom nie je. Vzali mi krv a zajtra majú volať za výsledky. Vraj keď bude hcg hodnota okolo 4-5 týždňa mám čakať kým sa same spustí spojenie a ktvacania a vycistim sa a keď bude hodnota hcg na daný týždeň podľa menštruácie7-8 tak pôjdem do nemocnice na laparoskopiu vraj nie je vôbec šanca že by bola takto posunutá ovulácia..
Mrzi ma to velmi. Kedze ani po 2 tyzdnoch nie su vo vaku embryonalne struktury, tak to bude anembryola, teda plod odumrel velmi skoro, musel byt geneticky vyrazne poskodeny. To je strasna vec nahody, 20 percent tehotenstiev takto moze koncit, neda sa to nijako ovplyvnit, proste geneticka loteria.
Alebo je to mimomaternicove.
Drzim ti palce, verim ze coskoro sa budes tesit zo zdraveho duhoveho babatka.
@selena_luna ďakujem. Dúfam že to prejde samé a nebude treba žiadny zákrok . Ďakujem za povzbudenie
A kedy si mala poslednu menstruaciu? Ono keby aj podla PM by si bola nejaky 8.tyzden a dajme tomu ze by ovulacia nastala neskor,tak uz by tam nieco malo byt vidiet. Pravdepodobne bud anembryomola alebo mimomaternicove,ako pise selena. Daj vediet,ako ti vyslo HCG.
@sabinka022 15.9. Začala posledná ms.zajtra mi budú volať
@sabinka022 ahoj ,hcg hodnota bola 3663 . Dnes osm v nemocnici a cakam. Som tu už od rána a nikto mi nič nepovedal..
Ahoj,pri takomto vysokom HCG uz musi byt vidiet aj plod. Urcite ti este spravia kontrolny ultrazvuk a uvidis.
@sabinka022 práve som sa z neho vrátila. Opäť videli len gestacny vak. Zajtra mi vezmu zase HCG
ahoj ,tak dnes som šla domov. Hcg stúplo na 5019. Zatiaľ nevideli nič viac ako gestacny vak. Avšak dr v nemocnici povedala že niečo sa rysuje a že nie je všetko stratené. V pondelok mám ísť k svojej gynekologicke na sono a nový odber krvi. Mám veľký strach zároveň nádej.. dúfam že bude všetko okej 💛
@sabinka022 no a to sono mi robili dlho ,pozerala kade tade a videla 1ml vody v bruchu čo povedala že je uplne ok ,a že na pseudovak je ten vak už veľký. Okolo1.cm
to vyzera slubne. drzim palce
@majamat ďakujem. Stále na to myslím ,je ťažké vypnúť. Mám doma ešte dcérku takže dúfam že neskončim v nemocnici zas. ❤️🙏Myslíte na nás ❤️ ďakujem a uricte sa ozvem
❤
Drzim palce 🍀
@sabinka022 ďakujem dievčatá. Ozvem sa♥️
Drzim palce vyzera to slubne ♡
@7tinka7 ďakujem kiež by
Moja gynekologicka mi najrpv vzala všetku nádej tak dúfam že sa mýlila a bude všetko dobré 🙏♥️
Ahoj ako si dopadla ♡ ?




Ja som tak bola na začiatku. Podla ms som mala byť 6tt ale podla velkosti vaku som bola 4tt. O týždeň som bola znova a vak narástol stale nebolo nič vidieť potom som bola o dva týždne a už bol vidieť aj plod podľa veľkosti bol rozdiel už iba týždeň a teraz keď som bola naposledy tak velkosť sedí presne podla MS 🤭 som 12 tt.vždy som tam išla s takou malou dušičkou čo mi povie a keď mi teraz povedal že to sedi presne tak som skoro odpadla od šťastia. Neboj treba myslieť pozitívne všetko bude ok ♥️