Veľkosť plodu nezodpovedá týždňu tehotenstva
Ahojte, dnes som mala prvý ultrazvuk, to že som tehotná som sa dozvedela pred 21.2., dr ma objednala na dnes, toho 21.2. som si robila aj clearblue digitalny ktory mi pisal 1-2. Poslednú ms som mala 16.1., no ovuláciu som mala posunutú, viem na základe cervikálneho hlienu no neviem presne ktorý deň bola ovulácia, len viem že to bolo niekedy v týždni 3-7.2. cca. No dnes na ultrazvuku bol gestačný vak, ktorý zodpovedal 5tt + nejaké dni, no veľkosť plodu zodpovedala tak 4tt +nejaké dni, ani som si to v tom strese nezapamätala presne. Vraj je veľmi malý na to, v ktorom týždni by som byť mala a neviem teraz, či ta ovulácia bola posunutá nejak viac, o 10dní idem na ďalší ultrazvuk, kde teda budeme vidieť, či plod rastie, alebo nie.. dosť sa bojím a mám z toho stresy, to čakanie je vždy nekonečné, asi len potrebujem počuť, či to má nádej, alebo radšej mám byť stotožnená s tým, že z toho nič nebude, či niekto mal takúto situáciu a nakoniec to dopadlo dobre.. za všetky rady vopred ďakujem.🥹
@s_338 nemaj stresy.. toto uz nie je v tvojich rukach... v tak malom tt su to stale dohady... o 10 dni uvidis vysledok.. bud tam bude cervik , alebo zial nie... netrap sa tym, toto naozaj uz neovplyvnis... moja mala vo vyssom tt bola vacsia ako mala byt o tyzden, no to su take merania, ze asi tazko to bolo, kedze isla von 38*5 a mala 2800/48.. nezufaj, nestresuj... to babatku nepomaha.. verim ze bude vsetko v poriadku.. velkost babatka a tt sa pocita od poslednej ms a udajnej ovulacie... ktora ale nemusela by presne, mohla si otehu aj v posledny den plodnych dni, to vyrazne meni skutocny tehotensky tyzden... takto na zaciatku je dolezite aby fazula bola tam kde ma byt, potom naznak srdiecka, potom pritomnost srda atd...
Pozri, toto su tak extremne nizke tyzdne a tak extremne male vaky a plody, ze tu sa naozaj neda na to nic povedat a ani to uplne na tie ledva milimetre zmerat. Vela doktorov Ta ani len neobjedna na usg v takom tt. Len tolko, ze treba pockat do nejakeho realneho 7-8 tt aby sa fakt dalo povedat co a ako vyzera
@s_338 ja som mala to iste, jednoducho im nesedelo nic podla tabuliek. Navyse som mala bolesti, tak sme cakali co sa bude diat. A predstav si, vsetko je v poriadku. Plodik dorastol, sice mame tyzden “sklz,” ale zohrava tam aj genetika (s manzelom sme nizki), a prve tehu sme mali to iste. Takze klud, rob veci co ta bavia, nemysli a zamestnavaj hlavu inymi vecami, ktore ta nebudu stresovat zbytocne. A hlavne, nemaj ziadne ocakavamia, tym padom nebudes sklamana 🙂 drzim prsty
@susannnsusan123 vďaka za uistenie, ja mávam tiež aj bolesti tak som taká neistá ešte viac kvoli tomu.. dúfam teda, že to dopadne rovnako ako u teba. ❤️
@s_338 treba verit. To su zaciatky. Viem ze si na vazkach, tak som bola aj ja, ale to prejde. Ani sa nenazdas a uvidis babo na trimestralnom, 🙂 a potom ta naseru, ze nevie povedat co cakate, lebo babo sa bude skryvat 😂😂😂😂 samozrejme toto ti neprajem 😊 ale tak hlavne sa smej, vsetko bude dobre, aj ked to tak mozno nebude vyzerat 🙂
@s_338 ja sa čudujem že tvoja dr to rieši už teraz aký tt a podobne.
Ja som bola u mojej dr hneď po pozit teste, videli sme len gestacny vak. Povedala mi len toľko. Mám prísť o 10 dni a uvidíme či nám rastie. Aj tak bolo. Prišla som o 10 dni a už bolo srdiečko ☺️ keď som sa jej opýtala na tt, odpoved znela načo vám teraz mám hovoriť úplný odhad tt, dôležité je že plod nám rastie ☺️
Čakanie na ďalšiu kontrolu je hrozne ale držím päste nech malinké krásne rastie 🥰🍀
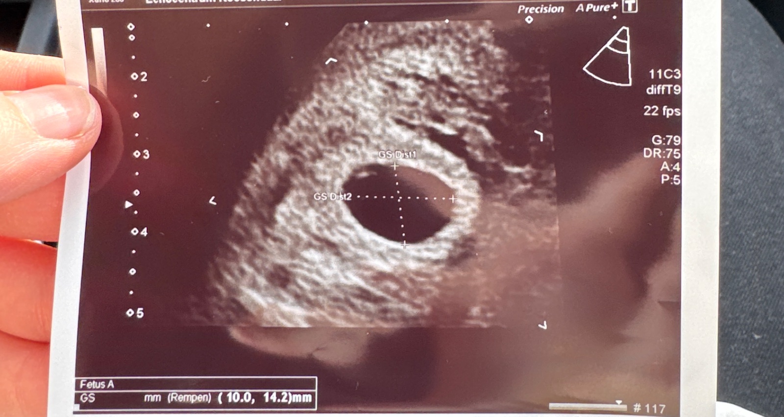
@sasikes no ona ma objednala na ten prvý ultrazvuk vpodstate na základe poslednej ms lebo podľa ms by som aktuálne mala byť cca v 7týždni, no na 100% viem že ovuláciu som mala neskôr. A tým že teda to veľkostne na ten týždeň vôbec nesedí mi to takto povedala, ja som aj bola dosť v strese + do toho som v zahraničí tak to bolo pre mňa ešte viac stresujúce. Ale teda snáď to bude rásť a bude to okej. Vďaka❤️prikladám aj foto.
@s_338 ja som mala posledné ms hrozne rozhádzané. A paradox vtedy som otehotnela 🙈 takze ja nemám ani tušenie kedy bola ovu. Ale od začiatku som týždeň pozadu takze niečo mi naznačuje že asi viem kedy bola ovu 😅 podľa sona a veľkosti som 10tt a podľa ms 11tt ☺️
Kedy máš ďalšiu kontrolou ? ☺️
Ak by to niekomu pomohlo, kto by spätne čítal túto diskusiu tak tu dávam taký update, dnes som bola na kontrole a teda som 7+5 a srdiečko bije, takže všetko okej🥹❤️


Vždy je nádej. Nie všetko ide podľa tabuliek. Ja som napr. presne vedela, kedy bolo dieťa počaté, no lekárom to podľa tabuliek nesedelo. Držím palce, nech sa všetko dobre vyvíja. Nestresuj a mysli pozitívne.