Aké sú normálne NT hodnoty v tehotenstve?
kto vie ake su normalne NT hodnoty (meranie hrubky sije ultrazvukom) v 13 - 14?
Dobrý deň dievčatá. Môžem sa spýtať koľko cca stojí NT screening v 11-13tt
@dadaa1234 mne to napr doktor nerobil-neviem preco,ked som chcela tak som mohla ist k niekomu inemu ako nadstandard ale co pisali baby zo terminoviek tak im to robili lekari.. 90% lekarov to robi.moj mi povedal ze ked sa mu nieco nebude pozdavat z krvi tak ma posle potom na genetiku...
ahojte cakam dvojicky som na zaciatku 12 tt a vraj jedno babatko ma na zatylku viac tekutiny ako by malo mat, vraj je to zatial hranicna hodnota (neviem vsak kolko, nepovedali mi) a buduci tyzden sa vysetrenie zopakuje a uvidi sa ci sa jedna o nejaku vadu. mam velky strach to cakanie bude hrozne, mali ste to niektora?
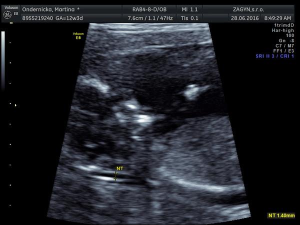
@lessiie to na prvom obrazku - tu bublinku za zatylkom a chrbatikom - to si myslela ze je NT? ...ale to vibec nie je NT, to je proste len blana, v ktorej je babo obalene😊 To NT je aj na prvej foto uplne ok😊 Mna takto vystrasili tiez, presne takto isto som to mala aj ja, hned mi teda spravil kontrolne sono na kvalitnejsim ultrazvuku a skonstatoval, ze to je len blana, ale na menej kvslitnom uzv to moze vyzerat ako NT a potom vznikaju zbytocne stresy...😊
@xarona verim ze to bude v poriadku😊 ...popravde, z tvojho obrazku si netrufam povedat, ci to je len blana ci NT, matie ma to, ze je tam ten "kopcek", ale kludne to moze byt aj ta blana😊
Tu su 2 obrazky z netu - na oboch vidno aj tu blanu aj NT...niektori dr vsak mylne povazuju za NT prave tu blanu...verim ze to bude aj tvoj pripad😊
@lessiie joj to ma mrzi😕... ja som preto uz teraz pri piatom odmietla NT ultrazvuk, aj tripple testy, a mam o par stresov menej😊 Niekedy je toto prehnane sledovanie ozaj viac na skodu nez na osoh...
Ahoj dievčatá, potrebovala by som radu. v 13tt+6 nám namerali NT 3,7. lekárka nás upozornila, že to môže byť príznak DS. podstúpili sme teda TRISOMY test, ktorý ukázal že naše dieťatko netrpí DS, PS ani ES, navyše sme sa dozvedeli že čakáme dievčatko. Boli sme s manželom veľmi štastný a veľmi nás to upokojilo. Pri kontrolnom screeningu v 16 tt nám však lekárka povedala že naše dievčatko má disproporciu medzi pravou a ľavou predsieňou srdiečka a taktiež opuch na priehlavkoch na nožičkách. naozaj nevieme čo môže tento nález znamenať. Máte s takýmto niečím skúsenosť?







Ahoj holky,
rozhodla jsem se vam napsat svoji zkusenost, jako dalsi pripad, jak muze vse dopadnout. Vasi diskuzi jsem po nocich cekani na vysledky cetla porad dokola a doufala, ze budeme mezi temi, u kterych vysoke nt nic neznamenalo. Ale bohuzel. V prvotrimestralnim screeningu nam namerili nt+ 4,8. Krev byla v poradku, riziko na Downa ale 1:25. Hned nas odeslali na genetiku, tam jsme se dohodli, ze pujdu na CVS - odbery choriovych klku. Byla jsem ve 13tt. Cekala jsem 5 dni, meli plno, nervy desne. Odbery probehly ok, je to sice neprijemnych 5 minut, ale da se to prezit. Naslednych 24 hodin cekani na vysledky prisernych. Vysledky byly nakonec uplne v poradku, trisomie vyloucena. Strasne jsme se oddechli a rikali jsme si, ze se to sijove projasneni urcite vylepsi a miminko se bude vyvijet spravne. A v tom jsme se porad utvrzovali. Jenze za 3 tydny telefon z genetiky - prijdte s partnerem na odbery krve, potrebujeme k vasim finalnim vysledkum jeste vase karyotypy. A zaclo dalsi psycho. Na odberech nam rekli, ze v laborce zjistili, ze ma mimi na 6. chromosomu kus nalepeny navic. Coz by znamenalo, ze je vsechno spatne, byla by to nebalancovana vada, tudiz zrejme vrozena vyvojova vada neslucitelna se zivotem. Jen pokud bychom partner nebo ja meli stejny karyotyp, coz ale u podobne vady je temer vyloucene, protoze jsme oba zdravi, mohla by byt malinka nadeje. Za dva dny dalsi telefon z genetiky, ze prisly finalni vysledky z array, vse spatne, chybi kus 4. chromosomu a strasne velky kus je nalepeny na 6. chromosomu. Nebalancovana aberace. To byl patek, konzultace k dalsimu prubehu tehotenstvi az v utery. Cely vikend probreceny, s partnerem jsme samozrejme nastudovali, co vse podobna chromosomalni vada znamena. Hruza vsech hruz, nadeje na zdrave mimi nulova, nadeje vubec na preziti mimi mala. V utery na genetice jasne stanovisko uzasneho, velmi empatickeho a profesionalniho pana primare Kotlase, vada je opravdu tak zasadni, ze se nase uz tak malicke nadeje rozplynuly uplne. Vrozena vyvojova vada neslucitelna se zivotem. Tecka. Bylo s podivem, ze se mimi vubec udrzelo az tak dlouho, byla uz jsem 16+2tt, a ze jsem spontanne nepotratila uz v 1. trimestru. Hned nasledujici den nas vzali na umele preruseni, bohuzel v tomto stadiu uz musel byt vyvolan porod. Byl to nejhorsi zazitek v mym zivote, bohudik za uzasny personal u Apolinare a za to, ze mohl byt partner celou dobu se mnou. I kdyz nas vsichni ujistovali a nadale ujistuji, ze to bylo spravne rozhodnuti, jsem z toho strasne nestastna a boli to strasne. Mame ale nastesti doma 2 zdrave holcicky, ktere nam moc pomahaji vse prekonat. Holky, MOC vam vsem preju, aby vase zvysene hodnoty nt NIC neznamenaly, abyste se nemusely zbytecne nervovat a narodila se vam zdrava miminka. I pres nasi hruznou zkusenost stejne verim, ze je to mozne!!! Tak se drzte...