Maminy dvojičiek prosím radu. Sú to dvojičky?
Ahojte mamičky,
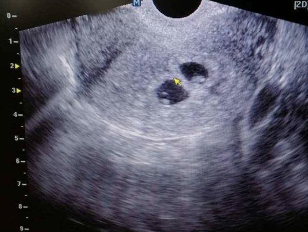
prosím Vás, dnes mi lekár potvrdil tehotenstvo (pridávam foto zo sona), som 7+5. Povedal mi, že tam je aj druhý vak, ktorý nevedel identifikovať a objednal ma znovu. Predpísal mi hormonálne tabl.
sú tri možnosti:
- je to nejaká zrazenina,
- je to druhý plod - živý, len ho ešte nevidno
- je to druhý plod - mŕtvy, ktorý môže stiahnuť ten živý, preto mi dal hormóny.
Chcem sa Vás popýtať, kto mal podobnú fotku zo sona v tomto rannom štádiu a boli to zdravé dvojičky? Kľudne mi píšte ak to aj nedopadlo dobre.
Doktor mi aj po naliehaní povedal, že nejde vyvodzovať žiadne rozhodnutia, že sa uvidí po ďalšej kontrole či to podrastie.
ďakujem krásne za rady
@ursula27 dám ti moju skúsenosť mne až v 12tt na 3D povedal dr že som čakala dvojičky.Moja dr to nevidela môj muž trdil že vidí dva vaky a mal pravdu.Jedno sa mi prestalo vivijat medzi 6-8tt to už nik nezistí kedy presne.A dnes mám zdravú 5mes dcérku.Komlikacie neboli žiadne.Bud ide o zaniknuté dvojča a druhé babo je zdravé alebo sa z toho vivinu dvojky zdravé.Kazdopadne držím palce pridávam môj obrázok z prvého sona
ja som mala na 1. sone 2 plodové vaky, ale akcia srdca bola len v jednom. bola som na konzultáciu u inej dr s lepším sonom asi 4 dni potom, nález rovnaký, síce dvojčatá ale iba 1 živý plod. moja dr ma objednala na kontrolu po 2 týždňoch, bol už iba 1 plod viditeľný. slečna mi už 4,5 roka píli uši
Je to tam velmi zle vidno, z tohto je to velmi tazko povedat, asi budes musiet pockat az na tu druhu kontrolu aby ste si boli isty :/ Ale drzim palce aby bolo vsetko ok
Ahoj u mna to bolo podobne. V 5tt moj lekar videl tiez dvojicky. Ale hned ma aj upozornil,ze to druhe nemusi byt iste. V 7tt uz bolo iba jedno.
Ahoj. Ja mam tiez podobnu skusenost. Akurat som tu aj pridala prispevok, nech mi poradia ci je to tym. Mne dr zistila dvojky z krvy. Potom ich bolo krasne vidiet aj na ultrzvuku ako biju srdiecka, ale o dva tyzdne uz bilo iba jedno :( to bolo pred tyzdnom a vcera ma chytili krce aa dnes uz tmave spinenie. Tak ma hned aj vypisala s max.kludovym rezimom. Ze asi sa nedokazalo, vstrebat to dvojcatko, tak musi vyjst takto von, ale ze je riziko aby nestiahlo aj to zdrave.. tak som z toho na nervy.. v utorok mam mat prvy 3d ultrazvuk..to bude dlhocizny vikend. Ja ale myslim podla toho ako vyzerali v 8.tt moje, ze to tvoje bude mat vedla seba len vacok. Drzim prsty.






Ten druhy vak ma byt napravo od toho co vidno dobre? Lebo ja tam vidim iba jedno babo (to kde vyznacil CRL)