Som na začiatku tehotenstva a hrozí mi anembryola
Ahojte.
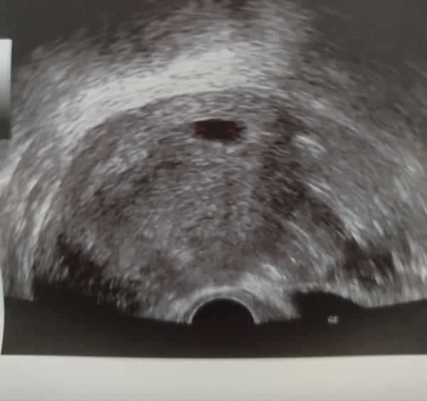
Včera som bola u dr. na potvrdenie srdiečka, žiaľ nevideli sme ani len plod. Dr. sa vyjadril, že mám prísť o 2 týždne, že som mala pravdepodobne posunutú ovuláciu. Podľa ms som v 7tt+2, ovulácia mohla byť posunutá maximálne o 2-3 dní, to viem naisto.
Podľa mňa je celkovo ten gestačny vak maličký - pred 10 dňami som bola na pohotovosti a zdal sa mi taký istý...
Čiže ja sa už psychicky pripravujem na anembryolu. Ak má niekto podobnú skúsenosť so šťastným koncom, bola by som rada, keby sa podelil.
Ďakujem.
Nemám šťastný koniec ani ja. Chvíľu som ešte čakala potom kyretaz, mrzí ma to.
Tiež som nemala šťastný koniec ale držím ti veľmi palce aby si ty mala 😌
Je mi ľúto... ale prečo máš pocit že Ta dr nepočúval? Bohužiaľ aj keby hneď zobral do úvahy že si nemáš posunutú ovulaciu tak nemá na vyber. Na diagnózu musíš mat prázdny gestacny váčok väčší ako 2-3cm a ultrazvuk musí byt s určitým časovým odstupom aby si boli absolútne istí. Bohužiaľ nedá sa nič robiť len čakať. Prešla som si tým viem že je to nekonečne
Ja by som išla k tomu istému...už len z toho dôvodu, že buď bude zmena, alebo nie.
Ahojte, mám nejaký technický problém s odpoveďami, takže reagujem priamo cez svoj nick.
@cookie29
chela som mu vysvetliť, že som bola pred 10 dňami na pohotovosti a už bolo vidno gestačny vak - takže asi veľmi nenarástol. A tiež mi zobral ster z krčka maternice, pričom niektorí lekári to neodporúčajú v tehotenstve, ani sa neopýtal, či súhlasím. A jasné, že doma som začala krvácať po vyšetrení, asi kvôli tomu steru. Celkovo mi venoval asi 5 minút svojho času a platila som 150 eur.
@mondolina ja nechcem vymýšľať samozrejme, ale viacero vecí mi vadilo na ňom - mal veľmi naponáhlo; urobil mi ster, ktorý som nechcela a mala som pár otázok, ale vôbec ho nezaujímali. A pritom recenzie mal dobré na nete. Tak neviem. Doteraz som sa s takýmto flegmatickym pristúpom nestretla.
Moj hlavný problém je to čakanie... Pred rokom som mala missed abort a dúfala som, že tentokrát to už vyjde...
Tiež som toto zažila - minulý rok v auguste, rástol len prázdny vačok, čakali sme do 11 tt a kyretáž robili až keď som začala masívne krvácať. Ja som si stále robila nádeje a o to to bolo potom ťažšie. Pochodili sme rôzne vyšetrenia a príčina sa nezistila. O rok som otehotnela znovu, nasadili mi preventívne lieky na riedenie krvi a utrogestan na podporu tehotenstva, t.č. som v 32 tt a zatiaľ všetko ok. Nezúfaj, ak to teraz nevyjde podarí sa nabudúce.
Ahoj,nechcem dávať falošné nádeje,no nikdy nevieš..ja som viackrát potratila,MA,biochemické,atď,atď,deti mám s veľkým vekovým odstupom.Posledne tehotenstvo ako tvoje-v 7+niečo nebolo vidno plod a vak,že stále rovnaký,nerastie.Ratala som s tym,že zas to dopadlo ako predtým.Ze začnem krvácať a nič z toho.Moja dr.je ale super a empatická.O týždeň v 8tt bol mini plodik a ďalší týždeň srdiečko.Ovulacia vraj o 10dni mimo aj keď mne sa tomu stále nechce verit-som už v 35tt.Drzim palce.Je to veľmi ťažké čakať ako to dopadne.
Neviem či môže mať anembryomola šťastný koniec, u mňa skončila kyretom.. mala som hrozné bolesti a išli zo mňa take ako kusy tkanív.. jediný šťastný koniec je, že sa nám hneď po druhom cykle podarilo zase otehotnieť a teraz som v 29tt.. takže hlavu hore, všetko bude tak ako má byť
@kubkovamama som rada, že to v tvojom prípade dobre dopadlo a že sa čoskoro dočkáš bábätká. Ja to ešte úplne nevzdávam, len sa "pripravujem" na obidve varianty... Držím palce, nech všetko dobre dopadne s pôrodom ☘️
@aylin80 to je komplikovane. Ešte raz bohužiaľ som prešla cez to iste. Najprv MA a potom anembryomola. Dokonca som potratila v ten istý deň s ročným odstupom.
Krvácať môžeš po stere ako aj po UZV ak ho robil endovaginalne. Ja viem že to čakanie je ubíjajúce. Ale nádej zomiera posledná. Želám veľa síl
Ahoj ako si dopadla ??
@andy57 Ahoj, žiaľ ešte neviem. V piatok som bola u iného Dr. - embryo sa ukázalo vo vaku - ale malo len 2mm a akcia srdiečka nebola. Čiže to tak vyzerá, že som cca 2 týždne pozadu... v piatok idem opäť na kontrolu, podľa dr.ešte existuje štipka nádeje, ak do piatku embryo podrastie a ak bude srdiečko.
Tak jedine, čo mi zostáva je opäť čakať a modliť sa 😊
Ale ten 2-tyzdnovy rozdiel je nejaká anomália, ktorú si neviem vysvetliť...
Ja som bola v januáry na kyretáži, bola som v 8tyzni a prázdny gestacny vak ☹️ teraz takmer po roku sa mi podarilo otehotnieť a znovu som v 8tyzni. V stredu idem ku gynekológovi, ale ten strach je hrozný. Želám Vám všetkým nech mate len štátne konce 🍀
@monnikka úplne ti rozumiem, som na tom rovnako. Pred rokom som mala zamlcany potrat v 8tt. A teraz v piatok sa uvidí, či má toto ďalšie tehotenstvo ešte šancu. Som z toho na prášky, ale snažím sa byť v kľude, aj tak osud nezmením 😔 držím ti palce, aby bolo všetko ok v stredu ☘️☘️☘️
Ahoj, nech Ti lekar predpise progesteron na podporu tehotenstva, fraxiparin a riedenie krvi a kyselinu listovu. Mne to po potrate v dalsom tehu pomohlo a tiez mi to napisal len pre istotu ako podporu a pomohlo.
@dominikak4 Ahoj, ďakujem za radu. Žiaľ, ja som v zahraničí a tu mi žiadne lieky na udržanie nedajú (už som to skúšala u 2 súkromných doktorov aj v nemocnici), všetko nechávajú na prírodu - dali mi len nejaké drahé vitamíny... V tomto vám závidím v dobrom, že na Slovensku sa aspoň snažia udržať tehotenstvo.
Ahojte, tak zázrak sa žial neudial. Po roku sa história opakuje - missed abort... Tie, ktoré ste to zažili si viete predstaviť ako mi momentálne je...
Ďakujem za podporu, jedno dieťa už máme doma - to ma drží nad vodou. Hádam sa jedného dňa dočká súrodenca ☘️


Skúsenosti mám, ale žial so zlým koncom, my sme cakali az do 11tt potom som začala už aj spiniť, plod tam nebol...nakoniec som musela ist na kyret. Ale verim, ze to nebude tvoj pripad, drzim palce a posielam ♥