Vidíte na tejto fotke jedno alebo dve bábätka?
Ahojte maminy a cakatelky, prosim vas pekne, zda sa to iba mne alebo vidite na obrazku z UZ viac ako jedno babatko? dve fotky vytvorene tesne po sebe a na prvej vidim vpravo v hornom rohu (akoby za ciernou dutinou) babatko spredu (hlavicka a lava rucicka) a hned na druhej zozadu akoby stavce, hlavicku a svetle "ciarky" - nozicky. Totiz cim viac to pozorujem, tym viac neviem na com som. Podla mna sa pocas "fotenia" otocilo lebo aj to prve sa velmi rychlo stale hybalo. Prosim vidi este niekto okrem mna viac ako jedno dietatko ci nie? dakujem za vase nazory, DAKUJEM velmi velmi!
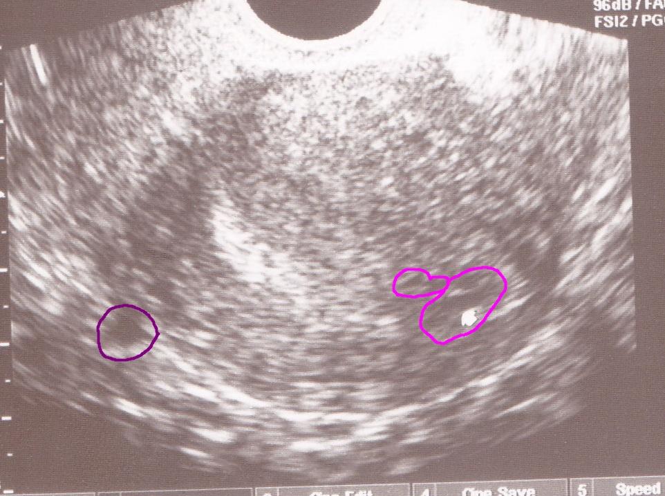
PS to dietatko ( aj ked vidno iba jeho cast) v strede v tej tmavociernej casti je iste a potvrdene doktorom... ;)


@stratenanajdena ak chceš mať istotu, jediná možnosť ísť na čo najlepšie sono čo máš poblízku. Aj 3D/4D zobrazenie. V tomto týždni by už jasne malo rozoznať dopplerom aj prietok krvi dvoma srdiečkami - ak tam sú 😉
@denduska prosim ta musi o tom vediet aj moja doktorka, alebo staci, ak zavolam niekam do sukromneho centra a "len tak" sa objednam na 3D / 4D? ako to funguje prosim? nemusi to byt na odporucanie doktorky alebo s jej vedomim?
@stratenanajdena mimo maternice ziadne dalsie dieta nie je a ani nemoze byt. Je to hra tienov. Nielen bez maternice - ale bez plodovej vody by sa tvoje dieta nemalo sancu vyvijat. Ta by bola tiez zobrazena ako cierny vak okolo a to tam nie je. Nestresuj sa zbytocne. Lekar take velke babo neprehliadne v dnesnej dobe ani nahodou. To, co tu pisu su xy rokov stare pripady, kedy neboli dnesne ultrazvuky a nemonitorovali srdiecko plodu.
@stratenanajdena to čo je v ramcekoch na tých fotkách dieťa urcite nie je 😉
@sidus "urcite" budeme moct vsetci povedat, az ked budem po dalsom UZ. Zatial je to akurat tak mozno1 alebo mozno2. To, ako to naozaj je, vie URCITE len Ten hore. Ale dakujem aj za tvoj nazor 🙂
@stratenanajdena ak by tam realne bolo nemyslis,ze by bolo viditelne tak ako to druhe??
@stratenanajdena nie, nemusis o tom tvojej dr hovorit-ak nechces. Ale nevidim dovod preco jej to nepovedat 🙂 Jednoducho sa objednas na najlepsi uzv aky v okoli mas, a pojdes tam. Urobia ti super fotky, budes mat pamiatku a aj budes vediet na com si. Ale svojej dr to normalne povedz, preco nie? Jednoducho jej uzv je na hovno, nech sa nehneva, ale ten pristroj ma bud z roku pana, alebo ho zdedila, alebo co, jednoducho fotky robi strasne nekvalitne, ani ona sa nemoze nahnevat preto, ze pacientka si zela mat krasne fotky svojho dietata/deti.
@trgypadl uz som vyssie spominala ze je zvlastne ze nema ten vak ako to prve. na druhej strane je zvlastne, ze ho tam vidim. tak sa aj tak asi budem musiet nechat prekvapit, nic ine mi neostava...
@zuzka_puska a staci ked jej to oznamim dodatocne ze som bola na 3D? akoze nemusim jej predtym volat, ze sa tam chcem objednat? tak som to myslela.
@stratenanajdena ten hore ti asi vela sudnosti nenadelil. Mne uz na tych fotkach chyba len papenka Maria sedembolestna.
A teraz bez sarakzmu. To, co tam vidis, je s najvacsou pravdepodobnostou tvoj mocovy mechur. Voda ako voda...
@mamulienka30 sice si tiez nemyslim ze v tomto pripade ide o druhe dieta, ale pre tvoju info, dieta sa moze vyvijat aj mimo maternice, boli registrovane pripady ked islo o mimomaternicove tehotenstvo v brusnej dutine. Plod rastol az do osmeho mesiaca a potom odumrel...takze nie je to nemozne, deje sa vselico a na UZV vsetko nevidno, poznam lekara ktory dvojicky na UVZ nezbadal az ked ich na sale odrodil...ale ten bol riadny magor aj vseobecne 😉
@stratenanajdena nuz a objednat sa mozes kam chces, ked si za vysetrenie zaplatis plnu uhradu. V opacnom pripade budes potrebovat na objednanie vymenny listok od tvojho lekara. Ten sa vsak dava len na morfologicky ultrazvuk okolo 20tt.
A inac este mi je divne ze uz viac dni po sebe citim pohyby, a su to urcite pohyby, lebo nejake deti uz mam 🙂 Tak mi to pride dost skoro ze od trinasteho tyzdna. Aj kvoli tomu rozmyslam, ci nemozem citit pohyby skor, ak by ich tam teoreticky bolo viac. Ale mozno je len jedno a ulozene niekde "blizko", kedze ho citim kazdy vecer pravidelne. Aj teraz tukalo 😉
@maslenka47 ten sarkazmus bol divny. ale mas nato plne pravo. Inac moj mechur vyzera podla mna inak. minimalne nie ako dietatko. Ale v pohode, fotky su naozaj nekvalitne.
Ps: skoda ze ma urazas a pises o tom, ze nemam vela sudnosti, toto naozaj nepotrebujem pocut, povzbudit sa da aj inak.
@marionmarion viem, ale zbytocne tu tym zivis paranoidne predstavy dievciny. Tych pripadov je zdokumentovanych skutocne len par a to je proste anomalia ako jackpot v športke a na ultrazvuku to aj inak vyzera, dieta ma minimalne plodovy vak ze ano..
Tu sa zas niekto dobre bavi mam pocit..
@mamulienka30 nikoho iluzie nezivim, keby si citala poriadne, tak by si registrovala ze som zacala vetou "sice si tiez nemyslim ze v tomto pripade ide o druhe dieta..." ano, dieta ma plodovy vak...ale ten nevypada na UZV tak ako ked je dieta v maternici, lebo zdaleka nema tolko miesta a polodovej vody ma tiez minimum...
@stratenanajdena inak, neda mi neopytat sa, trocha odbehnem od temy- kolko tu mas nickov, myslim ,inych mien?? 🙂 len tak ma to zaujalo 🙂
@marionmarion kedze je zakladatelka fake a fotka z netu je to asi aj tak jedno. Tym *nejake tie deti uz mam* to skutocne zabila, Ide sa spat, mladatko sa odpojilo od prsnika konecne 😀
@zuzka_puska
som tu za seba. nechcela som si davat meno a priezvisko do profilu, to je cele. co ti niekoho pripominam? 🙂
@stratenanajdena ano, jasne ze si tu za seba, v poriadku. Ale mas tu aj ine mena, zapajala si sa aj do inych diskusii, zakladala si aj ine temy - ale pod inymi menami 🙂 Teda, pod tymto nickom si tu len par mesiacov, ale na MK diskutujes dlhsie, preto ma zaujima kolko tych mien tu vlastne mas.
@zuzka_puska nezakladala som ine temy pod inymi menami. Len ine temy pod mojim menom. Na mk diskutujem odkedy som si zalozila tento profil. Donedavna som mk nepoznala. Dostala som sa sem po tom, co som dvakrat potratila... Nevedela som sa s tym vyrovnat. Vtedy som hladala na nete kazdu informaciu a tak som spoznala mk. Mozes si pozriet aj diskusiu "duch na teste" - tam som to spominala a dala aj test z tohto uspesneho otehotnenia. Tak dobru noc. A vdaka za odpovede.
@stratenanajdena mam dvojcata, a od 5 tyzdna bolo definitivne vidiet na kazdom utz ze su dve. Ja na fatkach vidim jedno. v tomto tyzdni sa deti meraju a fotia zvlast, takze keby niekde zo spodu, boku bolo dalsie a dr nevie spocitat kolko deti je v maternici tak by som ho menila okamzite. Keby si mala dvojicky tak mas aj zvyseny tehotesky hormon ovela viac ako s jednym, aj brucho by rasto viac ako pri jednom.
@stratenanajdena to vyzera na cystu!!! 😲
áá ako pozerám tie fotky označené, tak tam som ho vôbec nevidela 😀
@bocianka123 mozno ti baby napisu ze vajecnik alebo mocovy mechur. a ja absolutne netusim takze nemam odpoved. No tak to mna by zaujimalo, co je aj toto:
pretoze tam na lavom rohu dole na fotke (inac prava strana brucha) som mala niekolko tyzdnov velmi silne bolesti, zaco som musela aj do nemocnice na kontrolu, ci nie je mimomaternicove, lebo mali podozrenie. Neskutocne bolesti som mala. Bodave, nevydrzatelne tlaky. Dovnutra, do jedneho miesta, niekolko tyzdnov. To som nezazila nikdy predtym. Mne to vo fialovom kruzku pride tak, ze akoby mi to natahovalo tu jazvu po sekcii, ktoru mozno aj na tej mizernej fotke vidite, biele stehy, zastopkana od kraja po kraj :( mozno to mi sposobovalo tie bolesti nech uz to je cysta alebo cokolvek ine.
A len mi povedali, ze to nie je mimomaternicove a tu bolest neriesili, dostala som duphaston a horcik a to bolo tak vsetko. Okolo siedmeho tyzdna to zacalo ustupovat az to prestalo boliet uplne...
@bibianka ja som mala NT skrining minuly tyzden (12.) a povedali, ze mi prezreli dokladne maternicu a ze tam bolo iba jedno. a na fotke som nasla to, co tu riesim, lebo som z toho zufala... Budem to musiet dva tyzdne do najblizsieho UZ vydrzat.



@sidus tak keby bolo popri in uterus aj mimomaternicove, asi by som si tu tak v 13tyzdni nesedela a nepisala na mk 🙂))
bud je tam schovane tajomstvo - dalsie babätko, alebo to je veeeelmi pomaly pristroj, ktory cvakol dietatko v pohybe, takze ho vidno na fotke dvakrat - co sa mne osobne moc nezda, ale budiz, ine ma nenapada...
a nemyslim, ze je mimo maternice, akurat mimo toho vaku, kde je to prve babätko. Aspon podla tej super kvalitnej fotky...