Máte skúsenosti s posunutou ovuláciou a nepravidelným cyklom?
@olivia20 tak ja som nikdy takto skoro nebola, len teraz, pred Vianocami, chcela som mat istotu, ze je v maternici, keby nieco a bola som tak 4+2 podla MS, videl len vysoku sliznicu a takuto bodku. Viac ani nemoze vidiet v tomto case, ved 4-ty tyzden je len 2 tyzdne po ovulacii.
@anonym_b0736b mne meska MS 13 dní preto som šla skoro lebo uz by som mala bit 6+3tt len teda ovu bola posunutá.
@anonym_b0736b mne meska MS 13 dní preto som šla skoro lebo uz by som mala bit 6+3tt len teda ovu bola posunutá.
@olivia20 tak potom ako povedala dr., ak bola ovu posunuta, tak to bude ok podla mna, casom sa uvidi., na zaciatok tehotenstva je to normalne podla mna.
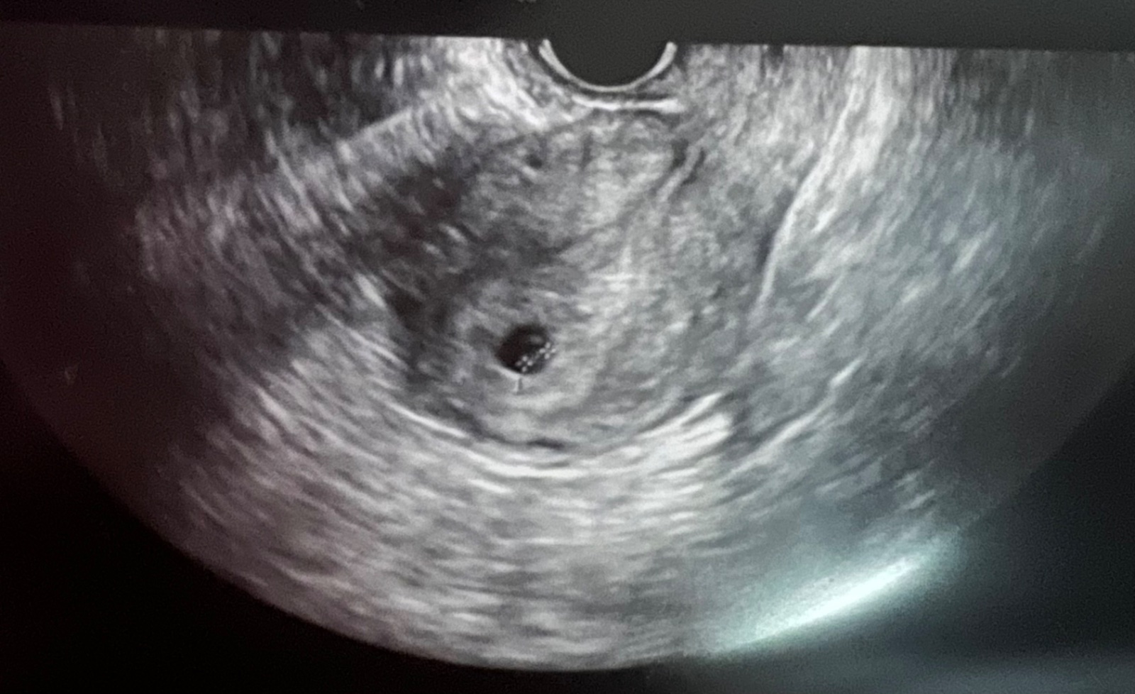
@olivia20 ahoj. Ja som na tom aktuálne takto nejak. Menštruáciu mám nepravidelnú. Posledne dve boli že 2.12. a 26.12.
6.1.Mi vyšiel pozitívny test.
7.1. Videl doktor toto
@anonym_afd62e mas to ako ja. A o týždeň si bola na kontrolu a ako bolo vidieť ?
@olivia20 videl už aj zltkovy vak a zárodok plodu zatiaľ bez akcie srdca




@olivia20 tak ja som nikdy takto skoro nebola, len teraz, pred Vianocami, chcela som mat istotu, ze je v maternici, keby nieco a bola som tak 4+2 podla MS, videl len vysoku sliznicu a takuto bodku. Viac ani nemoze vidiet v tomto case, ved 4-ty tyzden je len 2 tyzdne po ovulacii.